Suppr超能文献

初次治疗失败所致胫骨平台骨折畸形愈合的翻修策略

Revision strategy for malunited tibial plateau fracture caused by failure of initial treatment.

作者信息

Liangjun Jiang, Qiang Zheng, Zhijun Pan, Li Hang

机构信息

The Orthopedics Department of 2nd Affiliated Hospital of Medical College of Zhejiang University, Hangzhou, Zhejiang, China.

出版信息

Acta Orthop Traumatol Turc. 2019 Nov;53(6):432-441. doi: 10.1016/j.aott.2019.08.018. Epub 2019 Sep 19.

Abstract

OBJECTIVE

The aim of this study was to evaluate our treatment algorithm and results in revision surgery of malunited tibial plateau fracture after failure of initial treatment.

METHODS

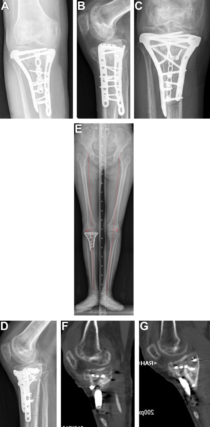
Our revision strategy was as follows: First, we determined the presence of any infection. Second, we determined whether the patient required total knee arthroplasty (TKA). Third, based on the characteristics of the tibial plateau fracture malunion, patients underwent one of the following surgical methods to achieve reduction: original fracture line osteotomy, tibial tubercle + original fracture line osteotomy, fibula head + original fracture line osteotomy, and metaphyseal open window reduction rod technique. The results was assessed with healing time, Rasmussen score, knee range of motion and complication rates.

RESULTS

A total of 25 patients 16 men and 9 women; Mean age: 47.4 years (range: 35-63 years) underwent tibial plateau fracture revision operation. The time interval between the two surgeries was 2-24 months. The follow-up time was 12-30 months, and the operation time was 120-300 min. All patients received bone union at the last follow-up. The healing time was 3-6 months. The postoperative Rasmussen score was 19-29 (mean 23.8) compared with 14.4 points before the operation (p < 0.05). The postoperative knee joint activity was 60-110° (mean 95.0°), compared with 57.8° before the operation (p < 0.05). Six patients still had a 2-mm collapse on the articular surface, and 4 patients still had slight valgus (<5°). Except for 2 TKA cases, fracture reduction was excellent in 15 cases and good in 8 cases, with a good rate of 100%. Superficial wound infections occurred in 3 patients.

CONCLUSION

Because revision of tibial plateau fracture malunion caused by failure of initial treatment is difficult, it is necessary to create a detailed surgical plan before the operation. Satisfactory clinical effects can be obtained if the correct revision strategy is used. The key to success is adopting a proper revision strategy according to the unique characteristics of the patient's tibial plateau fracture malunion.

LEVEL OF EVIDENCE

Level IV, Therapeutic Study.

摘要

目的

本研究旨在评估我们在初次治疗失败后对胫骨平台骨折畸形愈合进行翻修手术的治疗方案及结果。

方法

我们的翻修策略如下:首先,确定是否存在感染。其次,确定患者是否需要全膝关节置换术(TKA)。第三,根据胫骨平台骨折畸形愈合的特点,患者接受以下手术方法之一以实现复位:原骨折线截骨术、胫骨结节 + 原骨折线截骨术、腓骨头 + 原骨折线截骨术以及干骺端开窗复位棒技术。通过愈合时间、Rasmussen评分、膝关节活动范围和并发症发生率对结果进行评估。

结果

共有25例患者(16例男性,9例女性;平均年龄:47.4岁,范围:35 - 63岁)接受了胫骨平台骨折翻修手术。两次手术之间的时间间隔为2 - 24个月。随访时间为12 - 30个月,手术时间为120 - 300分钟。所有患者在最后一次随访时均实现了骨愈合。愈合时间为3 - 6个月。术后Rasmussen评分为19 - 29分(平均23.8分),术前为14.4分(p < 0.05)。术后膝关节活动度为60 - 110°(平均95.0°),术前为57.8°(p < 0.05)。6例患者关节面仍有2毫米塌陷,4例患者仍有轻度外翻(<5°)。除2例TKA病例外,15例骨折复位优秀,8例良好,优良率为100%。3例患者发生浅表伤口感染。

结论

由于初次治疗失败导致的胫骨平台骨折畸形愈合的翻修手术难度较大,因此术前有必要制定详细的手术计划。如果采用正确的翻修策略,可获得满意的临床效果。成功的关键是根据患者胫骨平台骨折畸形愈合的独特特点采用适当的翻修策略。

证据水平

四级,治疗性研究。

https://cdn.ncbi.nlm.nih.gov/pmc/blobs/ada3/6938994/c4978f7b8ce9/gr1.jpg

文献AI研究员

20分钟写一篇综述,助力文献阅读效率提升50倍。

立即体验

用中文搜PubMed

大模型驱动的PubMed中文搜索引擎

马上搜索

文档翻译

学术文献翻译模型,支持多种主流文档格式。

立即体验