• 文献检索
  • 文档翻译
  • 深度研究
  • 学术资讯
  • Suppr Zotero 插件Zotero 插件
  • 邀请有礼
  • 套餐&价格
  • 历史记录
应用&插件
Suppr Zotero 插件Zotero 插件浏览器插件Mac 客户端Windows 客户端微信小程序
定价
高级版会员购买积分包购买API积分包
服务
文献检索文档翻译深度研究API 文档MCP 服务
关于我们
关于 Suppr公司介绍联系我们用户协议隐私条款
关注我们

Suppr 超能文献

核心技术专利:CN118964589B侵权必究
粤ICP备2023148730 号-1Suppr @ 2026

文献检索

告别复杂PubMed语法,用中文像聊天一样搜索,搜遍4000万医学文献。AI智能推荐,让科研检索更轻松。

立即免费搜索

文件翻译

保留排版,准确专业,支持PDF/Word/PPT等文件格式,支持 12+语言互译。

免费翻译文档

深度研究

AI帮你快速写综述,25分钟生成高质量综述,智能提取关键信息,辅助科研写作。

立即免费体验

用于检测的多重交叉置换扩增结合基于纳米颗粒的生物传感器的开发与临床验证:初步结果

Development and Clinical Validation of Multiple Cross Displacement Amplification Combined With Nanoparticles-Based Biosensor for Detection of : Preliminary Results.

作者信息

Jiao Wei-Wei, Wang Yi, Wang Gui-Rong, Wang Ya-Cui, Xiao Jing, Sun Lin, Li Jie-Qiong, Wen Shu-An, Zhang Ting-Ting, Ma Qi, Huang Hai-Rong, Shen A-Dong

机构信息

Key Laboratory of Major Diseases in Children, Ministry of Education, National Key Discipline of Pediatrics (Capital Medical University), National Clinical Research Center for Respiratory Diseases, Beijing Key Laboratory of Pediatric Respiratory Infection Disease, Beijing Pediatric Research Institute, Beijing Children's Hospital, Capital Medical University, National Center for Children's Health, Beijing, China.

National Tuberculosis Clinical Laboratory, Beijing Key Laboratory for Drug Resistance Tuberculosis Research, Beijing Tuberculosis and Thoracic Tumor Research Institute, Beijing Chest Hospital, Capital Medical University, Beijing, China.

出版信息

Front Microbiol. 2019 Sep 13;10:2135. doi: 10.3389/fmicb.2019.02135. eCollection 2019.

DOI:10.3389/fmicb.2019.02135
PMID:31572340
原文链接:https://pmc.ncbi.nlm.nih.gov/articles/PMC6753184/
Abstract

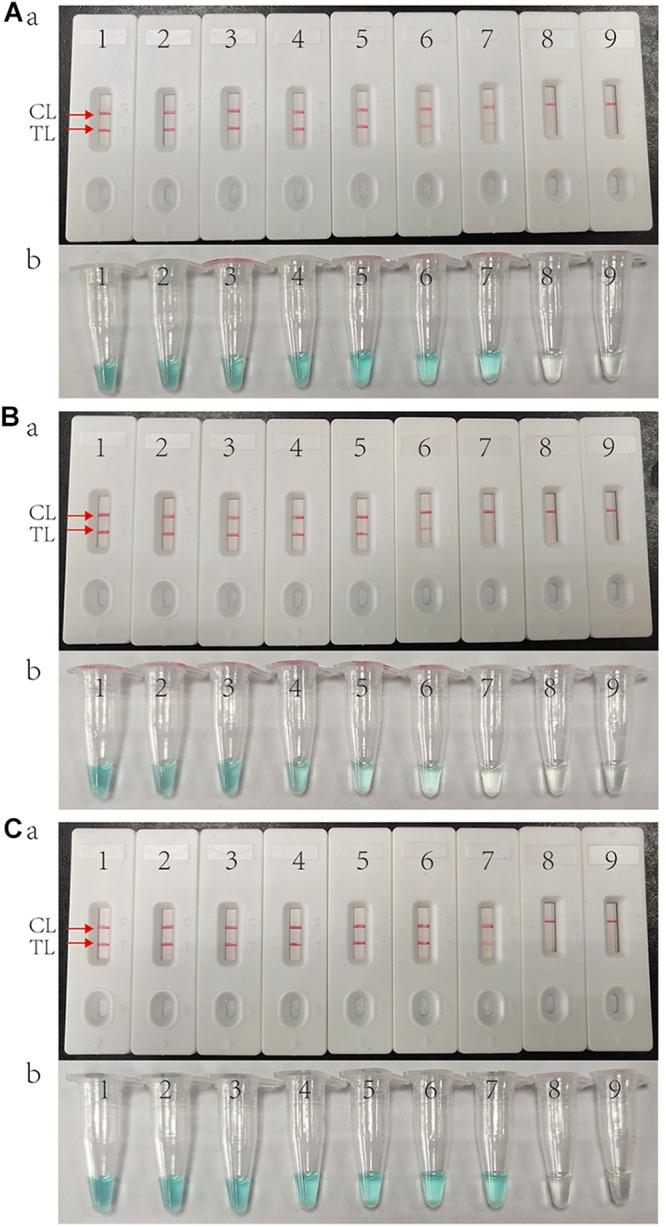
Tuberculosis is still a major threat to global public health. Here, a novel diagnosis assay, termed as multiple cross displacement amplification combined with nanoparticle-based lateral flow biosensor (MCDA-LFB), was developed to simultaneously detect IS and IS of (MTB) in DNA extracted from reference strain H37Rv and clinical samples. The amplification can be finished within 30 min at a fixed temperature (67°C), thus the whole procedure, including rapid template preparation (15 min), isothermal reaction (30 min) and result reporting (2 min), can be completed within 50 min. The limit of detection of multiplex MCDA assay was 10 fg per reaction. By using the multiplex MCDA protocol, cross-reaction with non-mycobacteria and non-tuberculous mycobacteria (NTM) strains was not observed. Among clinically diagnosed TB patients, the sensitivity of liquid culture, Xpert MTB/RIF and multiplex MCDA assay was 42.0% (50/119), 49.6% (59/119), and 88.2% (105/119), respectively. Among culture positive samples, the sensitivity of Xpert MTB/RIF and multiplex MCDA assay was 86.0% (43/50) and 98.0% (49/50), respectively. Among culture negative samples, the sensitivity of Xpert MTB/RIF and multiplex MCDA assay was 23.2% (16/69) and 81.2% (56/69), respectively. The specificity was 100% (60/60) for Xpert MTB/RIF and 98.3% (59/60) for multiplex MCDA. Therefore, the multiplex MCDA assay for MTB detection is rapid, sensitive and easy to use and may be a promising test for early diagnosis of TB.

摘要

结核病仍然是全球公共卫生的重大威胁。在此,开发了一种新型诊断检测方法,称为多重交叉置换扩增结合基于纳米颗粒的侧向流动生物传感器(MCDA-LFB),用于同时检测从参考菌株H37Rv和临床样本中提取的DNA中的结核分枝杆菌(MTB)的IS和IS。扩增可在固定温度(67°C)下30分钟内完成,因此整个过程,包括快速模板制备(15分钟)、等温反应(30分钟)和结果报告(2分钟),可在50分钟内完成。多重MCDA检测的检测限为每个反应10 fg。通过使用多重MCDA方案,未观察到与非结核分枝杆菌和非结核分枝杆菌(NTM)菌株的交叉反应。在临床诊断的结核病患者中,液体培养、Xpert MTB/RIF和多重MCDA检测的敏感性分别为42.0%(50/119)、49.6%(59/119)和88.2%(105/119)。在培养阳性样本中,Xpert MTB/RIF和多重MCDA检测的敏感性分别为86.0%(43/50)和98.0%(49/50)。在培养阴性样本中,Xpert MTB/RIF和多重MCDA检测的敏感性分别为23.2%(16/69)和81.2%(56/69)。Xpert MTB/RIF的特异性为100%(60/60),多重MCDA的特异性为98.3%(59/60)。因此,用于MTB检测的多重MCDA检测快速、灵敏且易于使用,可能是结核病早期诊断的一种有前途的检测方法。

https://cdn.ncbi.nlm.nih.gov/pmc/blobs/3564/6753184/2353e78e83e5/fmicb-10-02135-g005.jpg
https://cdn.ncbi.nlm.nih.gov/pmc/blobs/3564/6753184/0d05b936a605/fmicb-10-02135-g001.jpg
https://cdn.ncbi.nlm.nih.gov/pmc/blobs/3564/6753184/7557806a3165/fmicb-10-02135-g002.jpg
https://cdn.ncbi.nlm.nih.gov/pmc/blobs/3564/6753184/62135473b9df/fmicb-10-02135-g003.jpg
https://cdn.ncbi.nlm.nih.gov/pmc/blobs/3564/6753184/d76e08f08b7a/fmicb-10-02135-g004.jpg
https://cdn.ncbi.nlm.nih.gov/pmc/blobs/3564/6753184/2353e78e83e5/fmicb-10-02135-g005.jpg
https://cdn.ncbi.nlm.nih.gov/pmc/blobs/3564/6753184/0d05b936a605/fmicb-10-02135-g001.jpg
https://cdn.ncbi.nlm.nih.gov/pmc/blobs/3564/6753184/7557806a3165/fmicb-10-02135-g002.jpg
https://cdn.ncbi.nlm.nih.gov/pmc/blobs/3564/6753184/62135473b9df/fmicb-10-02135-g003.jpg
https://cdn.ncbi.nlm.nih.gov/pmc/blobs/3564/6753184/d76e08f08b7a/fmicb-10-02135-g004.jpg
https://cdn.ncbi.nlm.nih.gov/pmc/blobs/3564/6753184/2353e78e83e5/fmicb-10-02135-g005.jpg

相似文献

1
Development and Clinical Validation of Multiple Cross Displacement Amplification Combined With Nanoparticles-Based Biosensor for Detection of : Preliminary Results.用于检测的多重交叉置换扩增结合基于纳米颗粒的生物传感器的开发与临床验证:初步结果
Front Microbiol. 2019 Sep 13;10:2135. doi: 10.3389/fmicb.2019.02135. eCollection 2019.
2
Two target genes based multiple cross displacement amplification combined with a lateral flow biosensor for the detection of Mycobacterium tuberculosis complex.基于两个靶基因的多重交叉置换扩增与侧向流生物传感器联合检测结核分枝杆菌复合群。
BMC Microbiol. 2021 Oct 4;21(1):267. doi: 10.1186/s12866-021-02328-6.
3
A diagnostic test that uses isothermal amplification and lateral flow detection sdaA can detect tuberculosis in 60 min.一种使用等温扩增和侧向流检测 sdaA 的诊断检测方法可以在 60 分钟内检测出结核病。
J Appl Microbiol. 2021 Jun;130(6):2102-2110. doi: 10.1111/jam.14902. Epub 2020 Nov 12.
4
Development and Preliminary Application of Multiplex Loop-Mediated Isothermal Amplification Coupled With Lateral Flow Biosensor for Detection of .用于检测的多重环介导等温扩增结合侧向流动生物传感器的开发及初步应用
Front Cell Infect Microbiol. 2021 Apr 27;11:666492. doi: 10.3389/fcimb.2021.666492. eCollection 2021.
5
Establishment and Application of a Multiple Cross Displacement Amplification Coupled With Nanoparticle-Based Lateral Flow Biosensor Assay for Detection of .建立和应用多重交叉置换扩增与基于纳米粒子的侧向流动生物传感器检测方法检测.
Front Cell Infect Microbiol. 2019 Sep 23;9:325. doi: 10.3389/fcimb.2019.00325. eCollection 2019.
6
Establishment and Application of Multiple Cross Displacement Amplification Coupled With Lateral Flow Biosensor (MCDA-LFB) for Visual and Rapid Detection of in Clinical Samples.建立并应用多重交叉置换扩增与侧向流生物传感器(MCDA-LFB),实现临床样本中 的可视化和快速检测。
Front Cell Infect Microbiol. 2019 Apr 16;9:102. doi: 10.3389/fcimb.2019.00102. eCollection 2019.
7
Rapid Detection of spp. and Elimination of Carryover Using Multiple Cross Displacement Amplification Coupled With Nanoparticles-Based Lateral Flow Biosensor.利用多重交叉置换扩增结合基于纳米颗粒的侧向流生物传感器快速检测 spp. 并消除携带污染。
Front Cell Infect Microbiol. 2019 Mar 28;9:78. doi: 10.3389/fcimb.2019.00078. eCollection 2019.
8
Development and clinical evaluation of a real-time multiple cross displacement amplification assay for rapid and sensitive detection of .用于快速灵敏检测的实时多重交叉置换扩增检测法的开发与临床评估
Heliyon. 2024 May 24;10(11):e31901. doi: 10.1016/j.heliyon.2024.e31901. eCollection 2024 Jun 15.
9
Establishment and application of a multiple cross displacement amplification combined with nanoparticles-based biosensor method for the detection of Bordetella pertussis.建立和应用多重交叉置换扩增联合纳米粒子基生物传感器方法检测百日咳博德特氏菌。
BMC Microbiol. 2020 Aug 24;20(1):263. doi: 10.1186/s12866-020-01945-x.
10
Highly Sensitive and Rapid Identification of Based on Multiple Cross Displacement Amplification Coupled With Lateral Flow Biosensor Assay.基于多重交叉置换扩增与侧向流动生物传感器检测的高灵敏度快速鉴定
Front Microbiol. 2020 Aug 28;11:1926. doi: 10.3389/fmicb.2020.01926. eCollection 2020.

引用本文的文献

1
Development and clinical evaluation of a real-time multiple cross displacement amplification assay for rapid and sensitive detection of .用于快速灵敏检测的实时多重交叉置换扩增检测法的开发与临床评估
Heliyon. 2024 May 24;10(11):e31901. doi: 10.1016/j.heliyon.2024.e31901. eCollection 2024 Jun 15.
2
Multiple cross displacement amplification combined with nanoparticle-based lateral flow biosensor for rapid and sensitive detection of Epstein-Barr virus.多重交叉置换扩增联合纳米颗粒侧向流生物传感器快速灵敏检测 Epstein-Barr 病毒。
Front Cell Infect Microbiol. 2024 Jan 8;13:1321394. doi: 10.3389/fcimb.2023.1321394. eCollection 2023.
3

本文引用的文献

1
Xpert MTB/RIF and Xpert MTB/RIF Ultra for pulmonary tuberculosis and rifampicin resistance in adults.用于成人肺结核和利福平耐药性检测的Xpert MTB/RIF及Xpert MTB/RIF Ultra检测法
Cochrane Database Syst Rev. 2019 Jun 7;6(6):CD009593. doi: 10.1002/14651858.CD009593.pub4.
2
Multiple Cross Displacement Amplification Coupled With Nanoparticles-Based Lateral Flow Biosensor for Detection of and Identification of Methicillin-Resistant .多重交叉置换扩增结合基于纳米颗粒的侧向流动生物传感器用于耐甲氧西林金黄色葡萄球菌的检测与鉴定
Front Microbiol. 2018 May 9;9:907. doi: 10.3389/fmicb.2018.00907. eCollection 2018.
3
A CRISPR-Cas12a-based platform for ultrasensitive rapid highly specific detection of in clinical application.
基于 CRISPR-Cas12a 的平台用于临床应用中对 的超灵敏快速高特异性检测。
Front Cell Infect Microbiol. 2023 May 23;13:1192134. doi: 10.3389/fcimb.2023.1192134. eCollection 2023.
4
Point-of-Care Diagnosis of Malaria Using a Simple, Purification-Free DNA Extraction Method Coupled with Loop-Mediated Isothermal Amplification-Lateral Flow.使用简单、无需纯化的DNA提取方法结合环介导等温扩增-侧向流动技术进行疟疾的即时诊断。
Trop Med Infect Dis. 2023 Mar 29;8(4):199. doi: 10.3390/tropicalmed8040199.
5
Highly sensitive and rapid identification of coxsackievirus A16 based on reverse transcription multiple cross displacement amplification combined with nanoparticle-based lateral flow biosensor assay.基于逆转录多重交叉置换扩增结合纳米颗粒侧向流动生物传感器检测法的柯萨奇病毒A16高灵敏快速鉴定
Front Microbiol. 2023 Mar 8;14:1121930. doi: 10.3389/fmicb.2023.1121930. eCollection 2023.
6
A Novel Cross-Priming Amplification-Based Assay for Tuberculosis Diagnosis in Children Using Gastric Aspirate.一种基于交叉引物扩增的新型检测方法用于利用儿童胃液诊断结核病
Front Microbiol. 2022 Mar 24;13:819654. doi: 10.3389/fmicb.2022.819654. eCollection 2022.
7
Multiple Cross Displacement Amplification Combined With Real-Time Polymerase Chain Reaction Platform: A Rapid, Sensitive Method to Detect .多重交叉置换扩增联合实时聚合酶链反应平台:一种快速、灵敏的检测方法
Front Microbiol. 2021 Dec 23;12:812690. doi: 10.3389/fmicb.2021.812690. eCollection 2021.
8
Multiple Cross Displacement Amplification Coupled with Lateral Flow Biosensor (MCDA-LFB) for rapid detection of Legionella pneumophila.多重交叉置换扩增联合侧流生物传感器(MCDA-LFB)快速检测嗜肺军团菌。
BMC Microbiol. 2022 Jan 8;22(1):20. doi: 10.1186/s12866-021-02363-3.
9
A CRISPR-Cas12b-Based Platform for Ultrasensitive, Rapid, and Highly Specific Detection of Hepatitis B Virus Genotypes B and C in Clinical Application.一种基于CRISPR-Cas12b的平台,用于临床应用中对乙型和丙型肝炎病毒基因型进行超灵敏、快速且高度特异性的检测。
Front Bioeng Biotechnol. 2021 Oct 7;9:743322. doi: 10.3389/fbioe.2021.743322. eCollection 2021.
10
Rapid and Visual Detection of SARS-CoV-2 Using Multiplex Reverse Transcription Loop-Mediated Isothermal Amplification Linked With Gold Nanoparticle-Based Lateral Flow Biosensor.基于金纳米粒子侧向流生物传感器的多重逆转录环介导等温扩增快速可视化检测 SARS-CoV-2。
Front Cell Infect Microbiol. 2021 Jul 14;11:581239. doi: 10.3389/fcimb.2021.581239. eCollection 2021.
Xpert MTB/RIF Ultra for detection of Mycobacterium tuberculosis and rifampicin resistance: a prospective multicentre diagnostic accuracy study.
Xpert MTB/RIF Ultra 检测结核分枝杆菌和利福平耐药:一项前瞻性多中心诊断准确性研究。
Lancet Infect Dis. 2018 Jan;18(1):76-84. doi: 10.1016/S1473-3099(17)30691-6. Epub 2017 Nov 30.
4
The New Xpert MTB/RIF Ultra: Improving Detection of and Resistance to Rifampin in an Assay Suitable for Point-of-Care Testing.新型Xpert MTB/RIF Ultra:在适用于即时检测的检测方法中提高对结核分枝杆菌的检测及利福平耐药性检测
mBio. 2017 Aug 29;8(4):e00812-17. doi: 10.1128/mBio.00812-17.
5
Comparison of TB-LAMP, GeneXpert MTB/RIF and culture for diagnosis of pulmonary tuberculosis in The Gambia.比较结核分枝杆菌环介导等温扩增技术、GeneXpert MTB/RIF 和培养在冈比亚诊断肺结核的效果。
J Infect. 2016 Mar;72(3):332-7. doi: 10.1016/j.jinf.2015.11.011. Epub 2015 Dec 24.
6
Rapid and Sensitive Isothermal Detection of Nucleic-acid Sequence by Multiple Cross Displacement Amplification.基于多重交叉置换扩增的核酸序列快速灵敏等温检测
Sci Rep. 2015 Jul 8;5:11902. doi: 10.1038/srep11902.
7
Diagnostic accuracy of the PURE-LAMP test for pulmonary tuberculosis at the county-level laboratory in China.中国县级实验室中PURE-LAMP检测法对肺结核的诊断准确性。
PLoS One. 2014 May 1;9(5):e94544. doi: 10.1371/journal.pone.0094544. eCollection 2014.
8
Rapid molecular detection of tuberculosis and rifampin resistance.快速分子检测结核分枝杆菌及利福平耐药性。
N Engl J Med. 2010 Sep 9;363(11):1005-15. doi: 10.1056/NEJMoa0907847. Epub 2010 Sep 1.
9
Epidemiologic usefulness of spoligotyping for secondary typing of Mycobacterium tuberculosis isolates with low copy numbers of IS6110.间隔寡核苷酸分型法对IS6110拷贝数低的结核分枝杆菌分离株进行二次分型的流行病学实用性
J Clin Microbiol. 2001 Oct;39(10):3709-11. doi: 10.1128/JCM.39.10.3709-3711.2001.
10
Characterization of Mycobacterium tuberculosis strains from Vietnamese patients by Southern blot hybridization.通过Southern印迹杂交对越南患者的结核分枝杆菌菌株进行鉴定
J Clin Microbiol. 1993 Jun;31(6):1615-8. doi: 10.1128/jcm.31.6.1615-1618.1993.