Suppr超能文献

提取物在大鼠肝脏和肾脏中的抗氧化酶免疫反应性比抗坏血酸更强。

Stronger antioxidant enzyme immunoreactivity of extract than ascorbic acid in rat liver and kidney.

作者信息

Lee Choong-Hyun, Park Joon Ha, Ahn Ji Hyeon, Kim Jong Dai, Cho Jun Hwi, Lee Tae-Kyeong, Won Moo-Ho

机构信息

Department of Pharmacy, College of Pharmacy, Dankook University, Cheonan, Chungnam 31116, Republic of Korea.

Department of Biomedical Science and Research Institute for Bioscience and Biotechnology, Hallym University, Chuncheon, Gangwon 24252, Republic of Korea.

出版信息

Iran J Basic Med Sci. 2019 Aug;22(8):963-967. doi: 10.22038/ijbms.2019.34926.8296.

Abstract

OBJECTIVES

species have various pharmacological properties, including antioxidant activity. In this study, the effects of extract (PTE) on histopathology and antioxidant enzymes in the rat liver and kidney were examined.

MATERIALS AND METHODS

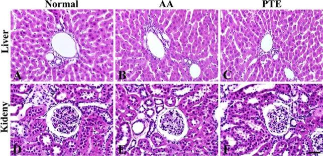
Sprague-Dawley rats were assigned to three groups; (1) normal diet fed group, (2) ascorbic acid-containing diet-fed group as a positive control, (3) PTE-containing diet-fed group. The histopathology in the rat liver and kidney was examined by hematoxylin and eosin staining. The effect of PTE was examined in the rat liver and kidney by immunohistochemistry for antioxidant enzymes, such as superoxide dismutases (SOD1 and SOD2), catalase (CAT), and glutathione peroxidase (GPx).

RESULTS

No marked histopathological alterations were observed in the liver and kidney of the PTE-containing diet-fed group. In the liver, the mean numbers of SOD1, SOD2, CAT, and GPx immunoreactive cells were significantly increased in the PTE-containing diet-fed rats, compared with those in the normal- and ascorbic acid-containing diet-fed rats. In the kidney, all SOD1, SOD2, CAT, and GPx immunoreactive structures were significantly increased in the PTE-containing diet-fed group, compared with those in the normal- and ascorbic acid-containing diet-fed groups.

CONCLUSION

Results showed that PTE treatment significantly increased antioxidant enzymes in the rat liver and kidney, and we suggest that PTE might have hepato- and nephro-protective potentials against oxidative stress.

摘要

目的

物种具有多种药理特性,包括抗氧化活性。在本研究中,检测了提取物(PTE)对大鼠肝脏和肾脏组织病理学及抗氧化酶的影响。

材料与方法

将Sprague-Dawley大鼠分为三组;(1)正常饮食喂养组,(2)含抗坏血酸饮食喂养组作为阳性对照,(3)含PTE饮食喂养组。通过苏木精和伊红染色检查大鼠肝脏和肾脏的组织病理学。通过免疫组织化学检测PTE对大鼠肝脏和肾脏中抗氧化酶的影响,如超氧化物歧化酶(SOD1和SOD2)、过氧化氢酶(CAT)和谷胱甘肽过氧化物酶(GPx)。

结果

在含PTE饮食喂养组的肝脏和肾脏中未观察到明显的组织病理学改变。在肝脏中,与正常饮食和含抗坏血酸饮食喂养的大鼠相比,含PTE饮食喂养的大鼠中SOD1、SOD2、CAT和GPx免疫反应性细胞的平均数量显著增加。在肾脏中,与正常饮食和含抗坏血酸饮食喂养组相比,含PTE饮食喂养组中所有SOD1、SOD2、CAT和GPx免疫反应性结构均显著增加。

结论

结果表明,PTE处理显著增加了大鼠肝脏和肾脏中的抗氧化酶,我们认为PTE可能具有对抗氧化应激的肝保护和肾保护潜力。

https://cdn.ncbi.nlm.nih.gov/pmc/blobs/59d4/6760487/ed9cc8d94d25/IJBMS-22-963-g001.jpg

相似文献

1
Stronger antioxidant enzyme immunoreactivity of extract than ascorbic acid in rat liver and kidney.
Iran J Basic Med Sci. 2019 Aug;22(8):963-967. doi: 10.22038/ijbms.2019.34926.8296.
2
Effect of Oenanthe Javanica Extract on Antioxidant Enzyme in the Rat Liver.
Chin Med J (Engl). 2015 Jun 20;128(12):1649-54. doi: 10.4103/0366-6999.158363.
10
Influence of ferulic acid consumption in ameliorating the cadmium-induced liver and renal oxidative damage in rats.
Environ Sci Pollut Res Int. 2019 Jul;26(20):20631-20653. doi: 10.1007/s11356-019-05420-7. Epub 2019 May 18.

本文引用的文献

1
Effect of Ocimum basilicum leaves extract on acetaminophen-induced nephrotoxicity in BALB/c mice.
J Complement Integr Med. 2018 Oct 12;16(2):/j/jcim.2019.16.issue-2/jcim-2018-0111/jcim-2018-0111.xml. doi: 10.1515/jcim-2018-0111.
5
Effect of Oenanthe Javanica Extract on Antioxidant Enzyme in the Rat Liver.
Chin Med J (Engl). 2015 Jun 20;128(12):1649-54. doi: 10.4103/0366-6999.158363.
8
Oxidative stress as a crucial factor in liver diseases.
World J Gastroenterol. 2014 Jul 7;20(25):8082-91. doi: 10.3748/wjg.v20.i25.8082.
9
Role of reactive oxygen species in pathogenesis of radiocontrast-induced nephropathy.
Biomed Res Int. 2013;2013:868321. doi: 10.1155/2013/868321. Epub 2013 Dec 29.

文献AI研究员

20分钟写一篇综述,助力文献阅读效率提升50倍。

立即体验

用中文搜PubMed

大模型驱动的PubMed中文搜索引擎

马上搜索

文档翻译

学术文献翻译模型,支持多种主流文档格式。

立即体验