Memida Takumi, Matsuda Shinji, Kajiya Mikihito, Mizuno Noriyoshi, Ouhara Kazuhisa, Fujita Tsuyoshi, Hirata Shintaro, Yoshida Yusuke, Sugimoto Tomohiro, Nishi Hiromi, Kawaguchi Hiroyuki, Sugiyama Eiji, Kurihara Hidemi
Department of Periodontal Medicine, Graduate School of Biomedical & Health Sciences, Hiroshima University, 1-2-3, Kasumi, Minami-ku, Hiroshima, 734-8553, Japan.
Department of Clinical Immunology and Rheumatology, Hiroshima University Hospital, Hiroshima 734-8553, Japan.
J Clin Med. 2019 Oct 4;8(10):1628. doi: 10.3390/jcm8101628.
Multiple external root resorption (MERR) has been reported in systemic sclerosis (SSc) patients in Japan and Spain. To establish whether MERR is a new manifestation, we investigated the prevalence of MERR and systemic and oral manifestations to be associated with MERR in patients with SSc.
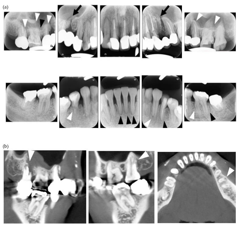
Root resorption was detected by dental X-rays, panoramagraphy or cone beam computed tomography (CBCT). The prevalence of systemic and oral manifestations was examined by rheumatologists and dentists, respectively. Autoantibodies were investigated using laboratory tests.
MERR was detected in four out of the 41 patients (9.8%) who participated in the present study. The prevalence of digital ulcers was significantly higher in patients with MERR (MERR vs non-MERR, 75% vs 16.2%, p < 0.05), whereas that of other systemic manifestations was not. The prevalence of face skin sclerosis (100% vs 10.8%, p < 0.01), calcinosis at the facial region (75% vs 0%, p < 0.01), limited mouth opening (75% vs 18.9% p < 0.05), temporomandibular disorder symptoms (50% vs 2.7%, p < 0.05), and tongue rigidity (75% vs 2.7%, p < 0.05) was significantly higher in patients with MERR.
SSc patients with MERR had highly homogenous maxillofacial manifestations. Further clinical and basic studies are needed to elucidate the mechanisms underlying MERR in SSc patients.
在日本和西班牙的系统性硬化症(SSc)患者中曾有多重外部牙根吸收(MERR)的报道。为确定MERR是否为一种新的表现形式,我们调查了SSc患者中MERR的患病率以及与MERR相关的全身和口腔表现。
通过牙科X线片、全景片或锥形束计算机断层扫描(CBCT)检测牙根吸收情况。分别由风湿病学家和牙医检查全身和口腔表现的患病率。通过实验室检测研究自身抗体。
在参与本研究的41例患者中,有4例(9.8%)检测到MERR。MERR患者中手指溃疡的患病率显著更高(MERR组与非MERR组,75%对16.2%,p<0.05),而其他全身表现的患病率则无显著差异。MERR患者面部皮肤硬化(100%对10.8%,p<0.01)、面部钙化(75%对0%,p<0.01)、张口受限(75%对18.9%,p<0.05)、颞下颌关节紊乱症状(50%对2.7%,p<0.05)和舌僵硬(75%对2.7%,p<0.05)的患病率显著更高。
患有MERR的SSc患者具有高度一致的颌面表现。需要进一步的临床和基础研究来阐明SSc患者中MERR的潜在机制。