Doumbia Amadou, Koné Youssouf, Koné Abdoulaye, Maïga Oumou, Dembélé Adama
Service de Radiologie du Centre de Santé de Référence de la Commune VI, Bamako, Mali.
Service de Radiologie du Centre Hospitalier Universitaire Régional de Brest, Brest, France.
Pan Afr Med J. 2019 Aug 21;33:316. doi: 10.11604/pamj.2019.33.316.16919. eCollection 2019.
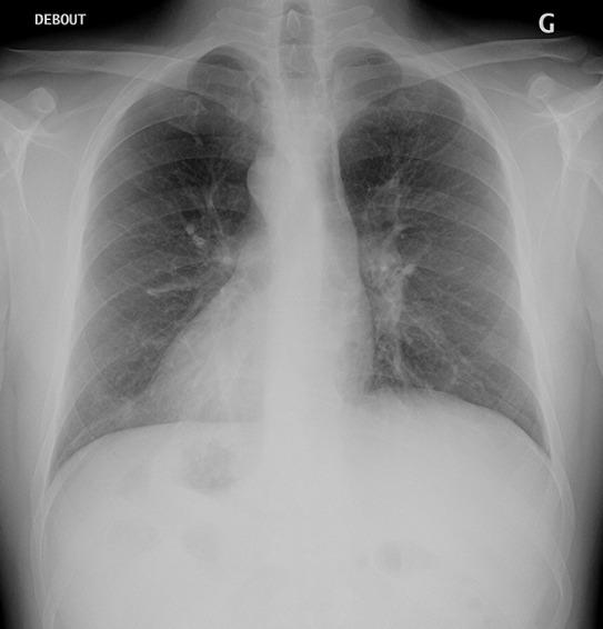
Kartagener's syndrome is a rare primitive ciliary dyskinesia (DCP) characterized by a clinical triad: sinusitis, bronchiectasis and complete or incomplete situs inversus. It is a rare congenital autosomal recessive disease. We report a case of Kartagener syndrome in an infertile couple with akinospermia detected using spermogram.
卡塔格内综合征是一种罕见的原发性纤毛运动障碍,其特征为三联征:鼻窦炎、支气管扩张以及完全或不完全性内脏转位。它是一种罕见的常染色体隐性先天性疾病。我们报告了一对不育夫妇的卡塔格内综合征病例,该病例通过精液分析检测出精子缺乏症。