Suppr超能文献

希腊免疫功能正常宿主中的感染

infection in an immunocompetent host in Greece.

作者信息

Andreou Marina, Cogliati Massimo, Kolonitsiou Fevronia, Stroumpos Charalampos, Stamouli Vasiliki, Ravazoula Panagiota, Siagris Dimitrios, Papadogeorgaki Helen, Christofidou Myrto, Lekkou Alexandra

机构信息

Department of Internal Medicine, University Hospital of Patras, Patras, Greece.

Department of Biomedical Sciences for Health, Università degli Studi di Milano, Milano, Italy.

出版信息

Med Mycol Case Rep. 2019 Dec 3;27:1-3. doi: 10.1016/j.mmcr.2019.12.002. eCollection 2020 Mar.

Abstract

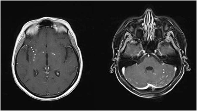
We report a case of a 31-year-old otherwise healthy female with pulmonary cryptococcoma along with cryptococcal meningitis due to molecular type VGI, in Greece. Combined antifungal treatment and surgical excision of pulmonary cryptococcoma yielded a good response.

摘要

我们报告了一例31岁的健康女性病例,该患者在希腊患有一种由VGI分子型引起的肺隐球菌瘤合并隐球菌性脑膜炎。联合抗真菌治疗和肺隐球菌瘤手术切除取得了良好疗效。

https://cdn.ncbi.nlm.nih.gov/pmc/blobs/243a/6906646/165a289ac0d7/gr1.jpg

文献AI研究员

20分钟写一篇综述,助力文献阅读效率提升50倍。

立即体验

用中文搜PubMed

大模型驱动的PubMed中文搜索引擎

马上搜索

文档翻译

学术文献翻译模型,支持多种主流文档格式。

立即体验