• 文献检索
  • 文档翻译
  • 深度研究
  • 学术资讯
  • Suppr Zotero 插件Zotero 插件
  • 邀请有礼
  • 套餐&价格
  • 历史记录
应用&插件
Suppr Zotero 插件Zotero 插件浏览器插件Mac 客户端Windows 客户端微信小程序
定价
高级版会员购买积分包购买API积分包
服务
文献检索文档翻译深度研究API 文档MCP 服务
关于我们
关于 Suppr公司介绍联系我们用户协议隐私条款
关注我们

Suppr 超能文献

核心技术专利:CN118964589B侵权必究
粤ICP备2023148730 号-1Suppr @ 2026

文献检索

告别复杂PubMed语法,用中文像聊天一样搜索,搜遍4000万医学文献。AI智能推荐,让科研检索更轻松。

立即免费搜索

文件翻译

保留排版,准确专业,支持PDF/Word/PPT等文件格式,支持 12+语言互译。

免费翻译文档

深度研究

AI帮你快速写综述,25分钟生成高质量综述,智能提取关键信息,辅助科研写作。

立即免费体验

戊型肝炎病毒诱导的脑损伤可能与线粒体凋亡有关。

Hepatitis E Virus Induces Brain Injury Probably Associated With Mitochondrial Apoptosis.

机构信息

Laboratory of Animal Pathology and Public Health, Key Laboratory of Zoonosis of Ministry of Agriculture, College of Veterinary Medicine, China Agricultural University, Beijing, China.

Institute of Animal Husbandry and Veterinary Medicine, Beijing Academy of Agriculture and Forestry Sciences, Beijing, China.

出版信息

Front Cell Infect Microbiol. 2019 Dec 20;9:433. doi: 10.3389/fcimb.2019.00433. eCollection 2019.

DOI:10.3389/fcimb.2019.00433
PMID:31921708
原文链接:https://pmc.ncbi.nlm.nih.gov/articles/PMC6932957/
Abstract

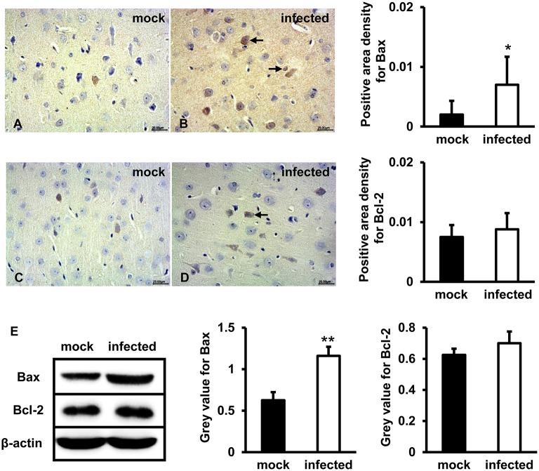
Hepatitis E virus (HEV) infection has been associated with extrahepatic manifestations, particularly neurological disorders. Although it has been reported that HEV infection induced hepatocyte apoptosis associated with mitochondria injury, activation of mitochondrial apoptotic pathway in the central nervous system during HEV infection was not clearly understood. In this study, the induction of mitochondrial apoptosis-associated proteins and pro-inflammatory cytokines were detected in HEV infected Mongolian gerbil model and primary human brain microvascular endothelial cells (HBMVECs). Mitochondrial exhibited fragments with loss of cristae and matrix in HEV infected brain tissue by transmission electron microscope (TEM). studies showed that expression of NADPH oxidase 4 (NOX4) was significantly increased in HEV infected HBMVECs ( < 0.05), while ATP5A1 was significantly decreased ( < 0.01). Expressions of pro-apoptotic proteins were further evaluated. Bax was significantly increased in both HEV infected brain tissues and HBMVECs ( < 0.01). studies showed that caspase-9 and caspase-3 were activated after HEV inoculation ( < 0.01), associated with PCNA overexpression as response to apoptosis. Cytokines were measured to evaluate tissue inflammatory levels. Results showed that the release of TNFα and IL-1β were significantly increased after HEV infection ( < 0.01), which might be attributed to microglia activation characterized by high level of IBA1 expression ( < 0.01). Taken together, these data support that HEV infection induces high levels of pro-inflammatory cytokines, associated with mitochondria-mediated apoptosis. The results provide new insight into mechanisms of extra-hepatic injury of HEV infection, especially in the central nervous system.

摘要

戊型肝炎病毒 (HEV) 感染与肝外表现有关,特别是神经紊乱。虽然有报道称 HEV 感染诱导与线粒体损伤相关的肝细胞凋亡,但在 HEV 感染期间中枢神经系统中线粒体凋亡途径的激活尚不清楚。在本研究中,我们检测了 HEV 感染蒙古沙鼠模型和原代人脑微血管内皮细胞 (HBMVEC) 中线粒体凋亡相关蛋白和促炎细胞因子的诱导。透射电镜 (TEM) 显示 HEV 感染脑组织中线粒体出现片段,嵴和基质丢失。研究表明,HEV 感染的 HBMVECs 中 NADPH 氧化酶 4 (NOX4) 的表达显著增加 ( < 0.05),而 ATP5A1 则显著降低 ( < 0.01)。进一步评估促凋亡蛋白的表达。Bax 在 HEV 感染的脑组织和 HBMVECs 中均显著增加 ( < 0.01)。研究表明,HEV 接种后 caspase-9 和 caspase-3 被激活 ( < 0.01),与 PCNA 过表达有关,以响应凋亡。测量细胞因子以评估组织炎症水平。结果表明,HEV 感染后 TNFα 和 IL-1β 的释放显著增加 ( < 0.01),这可能归因于小胶质细胞的激活,其特征是 IBA1 表达水平升高 ( < 0.01)。综上所述,这些数据支持 HEV 感染诱导高水平的促炎细胞因子,与线粒体介导的凋亡有关。这些结果为 HEV 感染的肝外损伤机制提供了新的见解,特别是在中枢神经系统。

https://cdn.ncbi.nlm.nih.gov/pmc/blobs/d9e9/6932957/b4d104a12ca7/fcimb-09-00433-g0007.jpg
https://cdn.ncbi.nlm.nih.gov/pmc/blobs/d9e9/6932957/48c66792b4d2/fcimb-09-00433-g0001.jpg
https://cdn.ncbi.nlm.nih.gov/pmc/blobs/d9e9/6932957/b32cfcea6a4a/fcimb-09-00433-g0002.jpg
https://cdn.ncbi.nlm.nih.gov/pmc/blobs/d9e9/6932957/7a99bf88d140/fcimb-09-00433-g0003.jpg
https://cdn.ncbi.nlm.nih.gov/pmc/blobs/d9e9/6932957/8237f4c7adc7/fcimb-09-00433-g0004.jpg
https://cdn.ncbi.nlm.nih.gov/pmc/blobs/d9e9/6932957/70627c17b7c5/fcimb-09-00433-g0005.jpg
https://cdn.ncbi.nlm.nih.gov/pmc/blobs/d9e9/6932957/baf55213c9db/fcimb-09-00433-g0006.jpg
https://cdn.ncbi.nlm.nih.gov/pmc/blobs/d9e9/6932957/b4d104a12ca7/fcimb-09-00433-g0007.jpg
https://cdn.ncbi.nlm.nih.gov/pmc/blobs/d9e9/6932957/48c66792b4d2/fcimb-09-00433-g0001.jpg
https://cdn.ncbi.nlm.nih.gov/pmc/blobs/d9e9/6932957/b32cfcea6a4a/fcimb-09-00433-g0002.jpg
https://cdn.ncbi.nlm.nih.gov/pmc/blobs/d9e9/6932957/7a99bf88d140/fcimb-09-00433-g0003.jpg
https://cdn.ncbi.nlm.nih.gov/pmc/blobs/d9e9/6932957/8237f4c7adc7/fcimb-09-00433-g0004.jpg
https://cdn.ncbi.nlm.nih.gov/pmc/blobs/d9e9/6932957/70627c17b7c5/fcimb-09-00433-g0005.jpg
https://cdn.ncbi.nlm.nih.gov/pmc/blobs/d9e9/6932957/baf55213c9db/fcimb-09-00433-g0006.jpg
https://cdn.ncbi.nlm.nih.gov/pmc/blobs/d9e9/6932957/b4d104a12ca7/fcimb-09-00433-g0007.jpg

相似文献

1
Hepatitis E Virus Induces Brain Injury Probably Associated With Mitochondrial Apoptosis.戊型肝炎病毒诱导的脑损伤可能与线粒体凋亡有关。
Front Cell Infect Microbiol. 2019 Dec 20;9:433. doi: 10.3389/fcimb.2019.00433. eCollection 2019.
2
Antigen detection and apoptosis in Mongolian gerbil's kidney experimentally intraperitoneally infected by swine hepatitis E virus.蒙古沙鼠肾组织经猪戊型肝炎病毒腹腔感染后的抗原检测与细胞凋亡。
Virus Res. 2016 Feb 2;213:343-352. doi: 10.1016/j.virusres.2015.12.012. Epub 2015 Dec 24.
3
Brain Infection by Hepatitis E Virus Probably via Damage of the Blood-Brain Barrier Due to Alterations of Tight Junction Proteins.乙型肝炎病毒可能通过血脑屏障损伤导致紧密连接蛋白改变而引发脑部感染。
Front Cell Infect Microbiol. 2019 Mar 19;9:52. doi: 10.3389/fcimb.2019.00052. eCollection 2019.
4
Molecular and structural changes related to hepatitis E virus antigen and its expression in testis inducing apoptosis in Mongolian gerbil model.与戊型肝炎病毒抗原相关的分子和结构变化及其在蒙古沙鼠模型睾丸中的表达诱导细胞凋亡
J Viral Hepat. 2017 Aug;24(8):696-707. doi: 10.1111/jvh.12690. Epub 2017 Apr 18.
5
Hepatitis E Virus Induces Hepatocyte Apoptosis via Mitochondrial Pathway in Mongolian Gerbils.戊型肝炎病毒通过线粒体途径诱导长爪沙鼠肝细胞凋亡。
Front Microbiol. 2018 Mar 16;9:460. doi: 10.3389/fmicb.2018.00460. eCollection 2018.
6
Effect of swine hepatitis E virus on the livers of experimentally infected Mongolian gerbils by swine hepatitis E virus.实验感染蒙古沙土鼠的猪戊型肝炎病毒对肝脏的影响。
Virus Res. 2015 Oct 2;208:171-9. doi: 10.1016/j.virusres.2015.06.007. Epub 2015 Jun 17.
7
Mitochondrial dysfunction and mitophagy pathway activation in hepatitis E virus-infected livers of Mongolian gerbils.蒙古沙鼠戊型肝炎病毒感染肝脏中的线粒体功能障碍和线粒体自噬途径激活
Virus Res. 2021 Sep;302:198369. doi: 10.1016/j.virusres.2021.198369. Epub 2021 Mar 5.
8
Hepatitis E Virus Infects Neurons and Brains.戊型肝炎病毒感染神经元和大脑。
J Infect Dis. 2017 Apr 15;215(8):1197-1206. doi: 10.1093/infdis/jix079.
9
Experimental infection of Z:ZCLA Mongolian gerbils with human hepatitis E virus.用人戊型肝炎病毒对Z:ZCLA蒙古沙鼠进行实验性感染。
World J Gastroenterol. 2015 Jan 21;21(3):862-7. doi: 10.3748/wjg.v21.i3.862.
10
Hepatitis E virus infects brain microvascular endothelial cells, crosses the blood-brain barrier, and invades the central nervous system.戊型肝炎病毒感染脑微血管内皮细胞,穿过血脑屏障,侵犯中枢神经系统。
Proc Natl Acad Sci U S A. 2022 Jun 14;119(24):e2201862119. doi: 10.1073/pnas.2201862119. Epub 2022 Jun 7.

引用本文的文献

1
A patient with acute hepatitis E and intractable vomiting: a case report.一名患有急性戊型肝炎和顽固性呕吐的患者:病例报告。
Front Med (Lausanne). 2025 Jul 21;12:1614921. doi: 10.3389/fmed.2025.1614921. eCollection 2025.
2
Evaluation and Characterization of Acute respiratory distress syndrome in tree shrews through TMT proteomic method.通过TMT蛋白质组学方法对树鼩急性呼吸窘迫综合征的评估与表征
PLoS One. 2025 Apr 16;20(4):e0319752. doi: 10.1371/journal.pone.0319752. eCollection 2025.
3
Realm of hepatitis E: Challenges and opportunities.

本文引用的文献

1
Brain Infection by Hepatitis E Virus Probably via Damage of the Blood-Brain Barrier Due to Alterations of Tight Junction Proteins.乙型肝炎病毒可能通过血脑屏障损伤导致紧密连接蛋白改变而引发脑部感染。
Front Cell Infect Microbiol. 2019 Mar 19;9:52. doi: 10.3389/fcimb.2019.00052. eCollection 2019.
2
Transmission of a Novel Genotype of Hepatitis E Virus from Bactrian Camels to Cynomolgus Macaques.从双峰驼到食蟹猕猴传播新型戊型肝炎病毒。
J Virol. 2019 Mar 21;93(7). doi: 10.1128/JVI.02014-18. Print 2019 Apr 1.
3
Mitochondrial-Directed Antioxidant Reduces Microglial-Induced Inflammation in Murine In Vitro Model of TC-83 Infection.
戊型肝炎领域:挑战与机遇
World J Exp Med. 2024 Jun 20;14(2):90481. doi: 10.5493/wjem.v14.i2.90481.
4
Mitochondrial Oxidative Phosphorylation in Viral Infections.病毒感染中的线粒体氧化磷酸化。
Viruses. 2023 Dec 4;15(12):2380. doi: 10.3390/v15122380.
5
Tilapia lake virus causes mitochondrial damage: a proposed mechanism that leads to extensive death in fish cells.罗非鱼湖病毒导致线粒体损伤:一种导致鱼类细胞广泛死亡的拟议机制。
PeerJ. 2023 Oct 5;11:e16190. doi: 10.7717/peerj.16190. eCollection 2023.
6
Distinct disease features of acute and persistent genotype 3 hepatitis E virus infection in immunocompetent and immunosuppressed Mongolian gerbils.免疫功能正常和免疫抑制蒙古沙鼠中急性和持续性基因型 3 戊型肝炎病毒感染的不同疾病特征。
PLoS Pathog. 2023 Sep 13;19(9):e1011664. doi: 10.1371/journal.ppat.1011664. eCollection 2023 Sep.
7
Immunobiology and Host Response to HEV.戊型肝炎病毒的免疫生物学与宿主反应
Adv Exp Med Biol. 2023;1417:93-118. doi: 10.1007/978-981-99-1304-6_7.
8
Mongolia Gerbils Are Broadly Susceptible to Hepatitis E Virus.蒙古沙鼠对戊型肝炎病毒普遍易感。
Viruses. 2022 May 24;14(6):1125. doi: 10.3390/v14061125.
9
Beyond the Usual Suspects: Hepatitis E Virus and Its Implications in Hepatocellular Carcinoma.超乎常见病因:戊型肝炎病毒及其在肝细胞癌中的意义
Cancers (Basel). 2021 Nov 22;13(22):5867. doi: 10.3390/cancers13225867.
10
Interplay between Hepatitis E Virus and Host Cell Pattern Recognition Receptors.戊型肝炎病毒与宿主细胞模式识别受体的相互作用。
Int J Mol Sci. 2021 Aug 26;22(17):9259. doi: 10.3390/ijms22179259.
线粒体靶向抗氧化剂可减少 TC-83 感染的体外小鼠模型中小胶质细胞诱导的炎症。
Viruses. 2018 Nov 2;10(11):606. doi: 10.3390/v10110606.
4
Hepatitis E Virus: Animal Models and Zoonosis.戊型肝炎病毒:动物模型与人畜共患病。
Annu Rev Anim Biosci. 2019 Feb 15;7:427-448. doi: 10.1146/annurev-animal-020518-115117. Epub 2018 Oct 4.
5
Hepatitis E Virus Induces Hepatocyte Apoptosis via Mitochondrial Pathway in Mongolian Gerbils.戊型肝炎病毒通过线粒体途径诱导长爪沙鼠肝细胞凋亡。
Front Microbiol. 2018 Mar 16;9:460. doi: 10.3389/fmicb.2018.00460. eCollection 2018.
6
BAK/BAX macropores facilitate mitochondrial herniation and mtDNA efflux during apoptosis.BAK/BAX 大孔促进线粒体突出和 mtDNA 外排凋亡过程中。
Science. 2018 Feb 23;359(6378). doi: 10.1126/science.aao6047.
7
Mitochondria, Bioenergetics and Apoptosis in Cancer.癌症中的线粒体、生物能量学与细胞凋亡
Trends Cancer. 2017 Dec;3(12):857-870. doi: 10.1016/j.trecan.2017.10.006. Epub 2017 Nov 22.
8
Berberine protects acute liver failure in mice through inhibiting inflammation and mitochondria-dependent apoptosis.小檗碱通过抑制炎症和线粒体依赖性细胞凋亡保护小鼠急性肝衰竭。
Eur J Pharmacol. 2018 Jan 15;819:161-168. doi: 10.1016/j.ejphar.2017.11.013. Epub 2017 Nov 27.
9
Hepatitis E virus infection.戊型肝炎病毒感染。
Nat Rev Dis Primers. 2017 Nov 16;3:17086. doi: 10.1038/nrdp.2017.86.
10
Hepatitis E Virus Lifecycle and Identification of 3 Forms of the ORF2 Capsid Protein.戊型肝炎病毒生命周期和 ORF2 衣壳蛋白 3 种形式的鉴定。
Gastroenterology. 2018 Jan;154(1):211-223.e8. doi: 10.1053/j.gastro.2017.09.020. Epub 2017 Sep 25.