I3S-Instituto de Investigação e Inovação em Saúde, Universidade do Porto, 4200-135 Porto, Portugal.
IPATIMUP-Institute of Molecular Pathology and Immunology, University of Porto, 4200-135 Porto, Portugal.
Cells. 2020 Jan 21;9(2):264. doi: 10.3390/cells9020264.
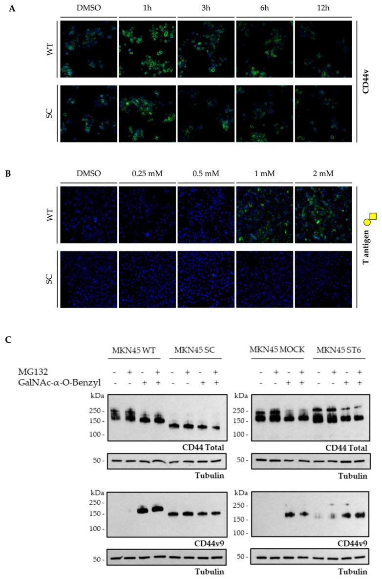
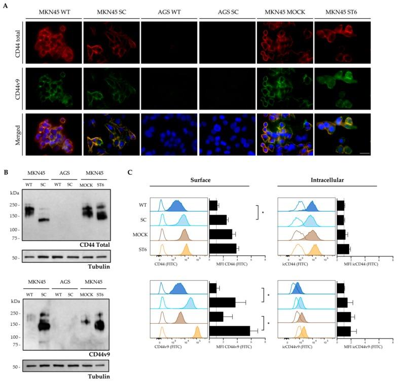
CD44 variant isoforms are often upregulated in cancer and associated with increased aggressive tumor phenotypes. The CD44v9 is one of the major protein splice variant isoforms expressed in human gastrointestinal cancer cells. Immunodetection of CD44 isoforms like CD44v9 in tumor tissue is almost exclusively performed by using specific monoclonal antibodies. However, the structural variability conferred by both the alternative splicing and CD44 protein glycosylation is disregarded. In the present work, we have evaluated the role of -glycosylation using glycoengineered gastric cancer models in the detection of CD44v9 by monoclonal antibodies. We demonstrated, using different technical approaches, that the presence of immature -glycan structures, such as Tn and STn, enhance CD44v9 protein detection. These findings can have significant implications in clinical applications mainly at the detection and targeting of this cancer-related CD44v9 isoform and highlight the utmost importance of considering glycan structures in cancer biomarker detection and in therapy targeting.
CD44 变体异构体在癌症中经常上调,并与增加的侵袭性肿瘤表型相关。CD44v9 是在人类胃肠道癌细胞中表达的主要蛋白剪接变体异构体之一。在肿瘤组织中对 CD44 异构体(如 CD44v9)的免疫检测几乎完全是通过使用特异性单克隆抗体来进行的。然而,由可变剪接和 CD44 蛋白糖基化赋予的结构变异性被忽视了。在本工作中,我们使用糖基工程化的胃癌模型评估了糖基化在单克隆抗体检测 CD44v9 中的作用。我们使用不同的技术方法证明了存在不成熟的-β-聚糖结构,如 Tn 和 STn,可增强 CD44v9 蛋白的检测。这些发现对临床应用具有重要意义,主要是在检测和靶向这种与癌症相关的 CD44v9 异构体方面,并强调了在癌症生物标志物检测和治疗靶向中考虑聚糖结构的极其重要性。