• 文献检索
  • 文档翻译
  • 深度研究
  • 学术资讯
  • Suppr Zotero 插件Zotero 插件
  • 邀请有礼
  • 套餐&价格
  • 历史记录
应用&插件
Suppr Zotero 插件Zotero 插件浏览器插件Mac 客户端Windows 客户端微信小程序
定价
高级版会员购买积分包购买API积分包
服务
文献检索文档翻译深度研究API 文档MCP 服务
关于我们
关于 Suppr公司介绍联系我们用户协议隐私条款
关注我们

Suppr 超能文献

核心技术专利:CN118964589B侵权必究
粤ICP备2023148730 号-1Suppr @ 2026

文献检索

告别复杂PubMed语法,用中文像聊天一样搜索,搜遍4000万医学文献。AI智能推荐,让科研检索更轻松。

立即免费搜索

文件翻译

保留排版,准确专业,支持PDF/Word/PPT等文件格式,支持 12+语言互译。

免费翻译文档

深度研究

AI帮你快速写综述,25分钟生成高质量综述,智能提取关键信息,辅助科研写作。

立即免费体验

一只在康复中的搁浅里氏海豚身上的捕获性肌病和应激性心肌病

Capture Myopathy and Stress Cardiomyopathy in a Live-Stranded Risso's Dolphin () in Rehabilitation.

作者信息

Câmara Nakita, Sierra Eva, Fernández Antonio, Arbelo Manuel, Bernaldo de Quirós Yara, Arregui Marina, Consoli Francesco, Herráez Pedro

机构信息

Veterinary Histology and Pathology, Institute of Animal Health and Food Safety (IUSA), Veterinary School, University of Las Palmas de Gran Canaria, Arucas, 35416 Las Palmas de Gran Canaria, Spain.

Department of Neuroscience, Imaging and Clinical Sciences, University G. D'Annunzio, 66100 Chieti, Italy.

出版信息

Animals (Basel). 2020 Jan 29;10(2):220. doi: 10.3390/ani10020220.

DOI:10.3390/ani10020220
PMID:32013196
原文链接:https://pmc.ncbi.nlm.nih.gov/articles/PMC7070958/
Abstract

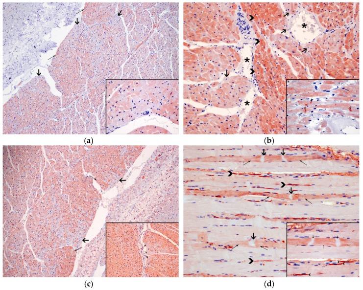
Capture myopathy (CM) is described in wild animals as a metabolic syndrome resulting from the extreme stress suffered during and after capture, handling, restraint, and transport. Although CM has been characterized in many species of cetaceans, descriptions of cardiac injury-an important component of this syndrome, and, according to previous authors, comparable to the existing human pathology so-called stress cardiomyopathy (SCMP)-are still rare. Therefore, the main aim of this report is to illustrate, for the first time, the biochemical analysis, and gross, histopathological, histochemical and immunohistochemical features of CM, and more specifically of the SCMP involved in this syndrome, caused by the live-stranding and consequent rehabilitation attempt, for a certain period of time, in a juvenile male Risso's dolphin (). The animal presented elevated values of creatine kinase, cardiac troponin I and blood urea nitrogen, with some variations during the rehabilitation period. Histologically, we detected vascular changes and acute degenerative lesions analogous to the ones observed in humans with SCMP. We consider this study to be an important contribution to the study of cetaceans since it could help in decision-making and treatment procedures during live-strandings and improve conservation efforts by reducing the mortality of these animals.

摘要

捕获性肌病(CM)在野生动物中被描述为一种代谢综合征,它是由捕获、处理、限制和运输过程中及之后所遭受的极端应激导致的。尽管CM已在许多鲸类物种中得到描述,但关于心脏损伤(该综合征的一个重要组成部分,且根据先前作者的说法,与现有的人类病理学中所谓的应激性心肌病(SCMP)相当)的描述仍然很少。因此,本报告的主要目的是首次阐述一只幼年雄性里氏海豚因搁浅及随后一段时间的康复尝试导致的CM,更具体地说是该综合征中涉及的SCMP的生化分析、大体、组织病理学、组织化学和免疫组织化学特征。该动物的肌酸激酶、心肌肌钙蛋白I和血尿素氮值升高,在康复期间有一些变化。组织学上,我们检测到血管变化和急性退行性病变,类似于在患有SCMP的人类中观察到的病变。我们认为这项研究对鲸类研究具有重要贡献,因为它有助于在动物搁浅期间的决策和治疗程序,并通过降低这些动物的死亡率来改进保护工作。

https://cdn.ncbi.nlm.nih.gov/pmc/blobs/8757/7070958/0d5e65bc8a74/animals-10-00220-g004.jpg
https://cdn.ncbi.nlm.nih.gov/pmc/blobs/8757/7070958/f9a8b3466279/animals-10-00220-g001a.jpg
https://cdn.ncbi.nlm.nih.gov/pmc/blobs/8757/7070958/87687cf00a4c/animals-10-00220-g002a.jpg
https://cdn.ncbi.nlm.nih.gov/pmc/blobs/8757/7070958/8f89c225642f/animals-10-00220-g003.jpg
https://cdn.ncbi.nlm.nih.gov/pmc/blobs/8757/7070958/0d5e65bc8a74/animals-10-00220-g004.jpg
https://cdn.ncbi.nlm.nih.gov/pmc/blobs/8757/7070958/f9a8b3466279/animals-10-00220-g001a.jpg
https://cdn.ncbi.nlm.nih.gov/pmc/blobs/8757/7070958/87687cf00a4c/animals-10-00220-g002a.jpg
https://cdn.ncbi.nlm.nih.gov/pmc/blobs/8757/7070958/8f89c225642f/animals-10-00220-g003.jpg
https://cdn.ncbi.nlm.nih.gov/pmc/blobs/8757/7070958/0d5e65bc8a74/animals-10-00220-g004.jpg

相似文献

1
Capture Myopathy and Stress Cardiomyopathy in a Live-Stranded Risso's Dolphin () in Rehabilitation.一只在康复中的搁浅里氏海豚身上的捕获性肌病和应激性心肌病
Animals (Basel). 2020 Jan 29;10(2):220. doi: 10.3390/ani10020220.
2
Evidence suggests vocal production learning in a cross-fostered Risso's dolphin (Grampus griseus).有证据表明,一只被交叉寄养的里氏海豚(灰海豚)存在发声学习行为。
Anim Cogn. 2016 Jul;19(4):847-53. doi: 10.1007/s10071-016-0961-x. Epub 2016 Feb 13.
3
Increased Plasma Cardiac Troponin I in Live-Stranded Cetaceans: Correlation with Pathological Findings of Acute Cardiac Injury.活体搁浅鲸目动物的血浆心肌肌钙蛋白 I 升高:与急性心肌损伤的病理发现相关。
Sci Rep. 2020 Jan 31;10(1):1555. doi: 10.1038/s41598-020-58497-3.
4
Stress cardiomyopathy in stranded cetaceans: a histological, histochemical and immunohistochemical study.搁浅鲸目动物的应激性心肌病:组织学、组织化学和免疫组织化学研究。
Vet Rec. 2019 Dec 7;185(22):694. doi: 10.1136/vr.105562. Epub 2019 Sep 25.
5
Preliminary assessment of persistent organic pollutants (POPs) in tissues of Risso's dolphin (Grampus griseus) specimens stranded along the Italian coasts.对沿意大利海岸搁浅的灰海豚(Grampus griseus)组织中持久性有机污染物(POPs)的初步评估。
Mar Pollut Bull. 2023 Jan;186:114470. doi: 10.1016/j.marpolbul.2022.114470. Epub 2022 Dec 15.
6
Comparative Study of the Gastric Mucosa of Risso's Dolphin () and Bottlenose Dolphin (): A Key to Manage the Diet in Captive Conditions.纹背海豚(Risso's Dolphin)与宽吻海豚(Bottlenose Dolphin)胃黏膜的比较研究:圈养条件下饮食管理的关键
Vet Sci. 2022 Oct 16;9(10):571. doi: 10.3390/vetsci9100571.
7
First record of Risso's dolphin (Cuvier, 1812) in Icelandic waters.里氏海豚(居维叶,1812年)在冰岛海域的首次记录。
Ecol Evol. 2023 Aug 31;13(9):e10477. doi: 10.1002/ece3.10477. eCollection 2023 Sep.
8
Morbillivirus infection in Risso's dolphin Grampus griseus: a phylogenetic and pathological study of cases from the Canary Islands.里氏海豚(Grampus griseus)中的麻疹病毒感染:加那利群岛病例的系统发育和病理学研究
Dis Aquat Organ. 2018 Aug 14;129(3):165-174. doi: 10.3354/dao03248.
9
Characterization of the temporomandibular joint of the harbour porpoise (Phocoena phocoena) and Risso's dolphin (Grampus griseus).港湾鼠海豚(Phocoena phocoena)和里氏海豚(Grampus griseus)颞下颌关节的特征描述。
Arch Oral Biol. 2015 Apr;60(4):582-92. doi: 10.1016/j.archoralbio.2015.01.005. Epub 2015 Jan 9.
10
First confirmed reports of the isolation of Brucella ceti from a Risso's dolphin Grampus griseus and a killer whale Orcinus orca.首次从灰海豚 Grampus griseus 和虎鲸 Orcinus orca 中分离出鲸种布鲁氏菌的确诊报告。
Dis Aquat Organ. 2021 Jul 15;145:191-195. doi: 10.3354/dao03612.

引用本文的文献

1
Two Point-of-Care Cardiac Troponin I Immunoassays Have Acceptable Analytical Performance for the Detection of Measurands of Cardiac Troponin I Cardiac Muscle Homogenates From Southern-Central Black Rhinoceros (Diceros bicornis minor) and Southern White Rhinoceros (Ceratotherium simum simum).两种即时检测心肌肌钙蛋白I免疫测定法在检测中南黑犀牛(Diceros bicornis minor)和南白犀牛(Ceratotherium simum simum)心肌匀浆中的心肌肌钙蛋白I被测量物方面具有可接受的分析性能。
Vet Clin Pathol. 2025 Jun;54(2):142-153. doi: 10.1111/vcp.70016. Epub 2025 Jun 4.
2
Capture myopathy in a wild Clymene dolphin () stranded alive on the coast of Ceará State, Brazil.在巴西塞阿拉州海岸搁浅存活的一头野生 Clymene 海豚()身上发现捕获性肌病。
Braz J Vet Med. 2025 May 8;47:e000625. doi: 10.29374/2527-2179.bjvm00625. eCollection 2025.
3

本文引用的文献

1
Stress cardiomyopathy in stranded cetaceans: a histological, histochemical and immunohistochemical study.搁浅鲸目动物的应激性心肌病:组织学、组织化学和免疫组织化学研究。
Vet Rec. 2019 Dec 7;185(22):694. doi: 10.1136/vr.105562. Epub 2019 Sep 25.
2
Pathologic findings and causes of death of stranded cetaceans in the Canary Islands (2006-2012).搁浅的加那利群岛鲸目动物的病理发现和死亡原因(2006-2012 年)。
PLoS One. 2018 Oct 5;13(10):e0204444. doi: 10.1371/journal.pone.0204444. eCollection 2018.
3
Clinico-pathological findings in a striped dolphin (Stenella coeruleoalba) affected by rhabdomyolysis and myoglobinuric nephrosis (capture myopathy).
Evaluation of ballistics euthanasia applied to stranded cetaceans using ethological and post-mortem computed tomography assessment.应用行为学和死后计算机断层扫描评估搁浅鲸目动物的弹道安乐死。
Vet Res Commun. 2024 Dec;48(6):3989-4006. doi: 10.1007/s11259-024-10537-3. Epub 2024 Sep 17.
4
Cetacean Intracytoplasmic Eosinophilic Globules: A Cytomorphological, Histological, Histochemical, Immunohistochemical, and Proteomic Characterization.鲸类动物胞浆内嗜酸性小球:细胞形态学、组织学、组织化学、免疫组织化学及蛋白质组学特征分析
Animals (Basel). 2023 Jun 27;13(13):2130. doi: 10.3390/ani13132130.
5
Identification of potential welfare and survival indicators for stranded cetaceans through international, interdisciplinary expert opinion.通过国际跨学科专家意见确定搁浅鲸类动物潜在的福利和生存指标。
R Soc Open Sci. 2022 Oct 12;9(10):220646. doi: 10.1098/rsos.220646. eCollection 2022 Oct.
6
Evaluating Potential Cetacean Welfare Indicators from Video of Live Stranded Long-Finned Pilot Whales ().从搁浅活体长鳍领航鲸的视频评估潜在的鲸类福利指标( )。 (括号内内容原文缺失,所以译文也只能保留原样)
Animals (Basel). 2022 Jul 21;12(14):1861. doi: 10.3390/ani12141861.
7
Circulating concentrations of thyroid hormones and cortisol in wild and semi-natural Yangtze finless porpoise ().野生和半自然环境下长江江豚体内甲状腺激素和皮质醇的循环浓度。
Conserv Physiol. 2021 May 11;9(1):coab034. doi: 10.1093/conphys/coab034. eCollection 2021.
8
Standardization of Dolphin Cardiac Auscultation and Characterization of Heart Murmurs in Managed and Free-Ranging Bottlenose Dolphins ().宽吻海豚心脏听诊的标准化以及圈养和野生宽吻海豚心脏杂音的特征描述()。 (注:括号内原文内容缺失)
Front Vet Sci. 2020 Oct 28;7:570055. doi: 10.3389/fvets.2020.570055. eCollection 2020.
9
Retrospective Study of Fishery Interactions in Stranded Cetaceans, Canary Islands.加那利群岛搁浅鲸类渔业相互作用的回顾性研究
Front Vet Sci. 2020 Oct 21;7:567258. doi: 10.3389/fvets.2020.567258. eCollection 2020.
一只受横纹肌溶解症和肌红蛋白尿性肾病(捕获性肌病)影响的条纹原海豚(Stenella coeruleoalba)的临床病理特征
J Vet Med Sci. 2017 Jun 10;79(6):1013-1018. doi: 10.1292/jvms.17-0023. Epub 2017 Apr 21.
4
The Histological Features of a Myocardial Biopsy Specimen in a Patient in the Acute Phase of Reversible Catecholamine-induced Cardiomyopathy due to Pheochromocytoma.嗜铬细胞瘤所致可逆性儿茶酚胺诱导性心肌病急性期患者心肌活检标本的组织学特征
Intern Med. 2017;56(6):665-671. doi: 10.2169/internalmedicine.56.7454. Epub 2017 Mar 17.
5
Current state of knowledge on Takotsubo syndrome: a Position Statement from the Taskforce on Takotsubo Syndrome of the Heart Failure Association of the European Society of Cardiology.Takotsubo 综合征的现有知识状况:欧洲心脏病学会心力衰竭协会 Takotsubo 综合征工作组的立场声明。
Eur J Heart Fail. 2016 Jan;18(1):8-27. doi: 10.1002/ejhf.424. Epub 2015 Nov 9.
6
Pathology and causes of death of stranded cetaceans in the Canary Islands (1999-2005).加那利群岛搁浅鲸类动物的病理学及死因(1999 - 2005年)
Dis Aquat Organ. 2013 Mar 26;103(2):87-99. doi: 10.3354/dao02558.
7
Capture myopathy in live-stranded cetaceans.搁浅鲸目动物的捕获性肌肉病。
Vet J. 2013 May;196(2):181-8. doi: 10.1016/j.tvjl.2012.09.021. Epub 2012 Nov 10.
8
Insight into stress-induced cardiomyopathy and sudden cardiac death due to stress. A forensic cardio-pathologist point of view.应激性心肌病和应激导致的心脏性猝死的认识。法医心脏病学家的观点。
Forensic Sci Int. 2010 Jan 30;194(1-3):1-8. doi: 10.1016/j.forsciint.2009.10.025. Epub 2009 Nov 24.
9
Histopathology of the alarm reaction in small odontocetes.小齿鲸类动物警戒反应的组织病理学
J Comp Pathol. 2008 Jul;139(1):24-33. doi: 10.1016/j.jcpa.2007.11.009. Epub 2008 Jun 13.
10
Apical ballooning syndrome (Tako-Tsubo or stress cardiomyopathy): a mimic of acute myocardial infarction.心尖气球样变综合征(Tako-Tsubo综合征或应激性心肌病):急性心肌梗死的一种模仿疾病。
Am Heart J. 2008 Mar;155(3):408-17. doi: 10.1016/j.ahj.2007.11.008. Epub 2008 Jan 31.