• 文献检索
  • 文档翻译
  • 深度研究
  • 学术资讯
  • Suppr Zotero 插件Zotero 插件
  • 邀请有礼
  • 套餐&价格
  • 历史记录
应用&插件
Suppr Zotero 插件Zotero 插件浏览器插件Mac 客户端Windows 客户端微信小程序
定价
高级版会员购买积分包购买API积分包
服务
文献检索文档翻译深度研究API 文档MCP 服务
关于我们
关于 Suppr公司介绍联系我们用户协议隐私条款
关注我们

Suppr 超能文献

核心技术专利:CN118964589B侵权必究
粤ICP备2023148730 号-1Suppr @ 2026

文献检索

告别复杂PubMed语法,用中文像聊天一样搜索,搜遍4000万医学文献。AI智能推荐,让科研检索更轻松。

立即免费搜索

文件翻译

保留排版,准确专业,支持PDF/Word/PPT等文件格式,支持 12+语言互译。

免费翻译文档

深度研究

AI帮你快速写综述,25分钟生成高质量综述,智能提取关键信息,辅助科研写作。

立即免费体验

环孢素 A 通过抑制 2 型糖尿病大鼠的高迁移率族蛋白 B1 的形成来减轻视网膜炎症。

Cyclosporine-a attenuates retinal inflammation by inhibiting HMGB-1 formation in rats with type 2 diabetes mellitus.

机构信息

Department of Ophthalmology, Chongqing Key Laboratory of Ophthalmology, Chongqing Eye Institute, the First Affiliated Hospital of Chongqing Medical University, No.1 You Yi Road, Yu Zhong District, Chongqing, 400016, China.

出版信息

BMC Pharmacol Toxicol. 2020 Feb 4;21(1):9. doi: 10.1186/s40360-020-0387-6.

DOI:10.1186/s40360-020-0387-6
PMID:32019593
原文链接:https://pmc.ncbi.nlm.nih.gov/articles/PMC7001216/
Abstract

BACKGROUND

Cyclosporine-A has been regarded as an immunoregulatory and anti-inflammatory drug for the treatment of various immune inflammatory diseases. However, the effect of Cyclosporine-A on the retina of type 2 diabetic rats and the underlying mechanism remains to be elucidated. The objective of the present study was to investigate the effect and mechanism of Cyclosporine-A on diabetic retinopathy.

METHODS

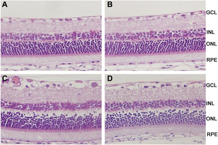
Male Sprague-Dawley rats were established to type 2 diabetic model. After 6 weeks, diabetic rats and normal controls were intravitreally injected with. Cs-A (42 ng/2 μL) to the left eye, and 2 μL DMSO to the right eye for the control.. Another group of normal wild-type rats was subjected to intravitreal injections into. The left eyes with 5 μL PBS or HMGB-1 (5 ng/5 μL) or HMGB-1(5 ng/5 μL) plus. Cs-A (42 ng/2 μL), respectively. Retinal morphological changes were observed with. Hematoxylin-eosin staining. Expressions of HMGB-1, IL-1β and TNF-α were. Detected by immunohistochemistry, ELISA or Western blot or RT-PCR.

RESULTS

Retinal expression levels of IL-1β and TNF-α were upregulated in type 2. diabetic rats and in normal rats with intravitreal injection of HMGB-1, which were. Attenuated by intravitreal Cs-A. Moreover, Cs-A decreased HMGB-1 expression in. diabetic retina and relieved the retinopathy in type 2 diabetic rats.

CONCLUSIONS

Intravitreal administration of Cs-A showed a protective effect on retina. of diabetic rats, possibly by downregulating retinal expressions of IL-1β and TNF-α. via the suppression of HMGB-1.

摘要

背景

环孢素 A 已被视为治疗各种免疫炎症性疾病的免疫调节剂和抗炎药物。然而,环孢素 A 对 2 型糖尿病大鼠视网膜的影响及其潜在机制仍有待阐明。本研究旨在探讨环孢素 A 对糖尿病视网膜病变的作用及机制。

方法

雄性 Sprague-Dawley 大鼠建立 2 型糖尿病模型。6 周后,糖尿病大鼠和正常对照组分别向左眼玻璃体内注射环孢素 A(42ng/2μL),右眼注射 2μL DMSO 作为对照。另一组正常野生型大鼠左眼分别玻璃体注射 5μL PBS 或 HMGB-1(5ng/5μL)或 HMGB-1(5ng/5μL)加环孢素 A(42ng/2μL)。用苏木精-伊红染色观察视网膜形态变化。免疫组织化学、ELISA 或 Western blot 或 RT-PCR 检测 HMGB-1、IL-1β和 TNF-α的表达。

结果

2 型糖尿病大鼠和玻璃体内注射 HMGB-1 的正常大鼠视网膜中 IL-1β和 TNF-α的表达上调,玻璃体内注射环孢素 A 可减弱其表达。此外,环孢素 A 降低了糖尿病大鼠视网膜中 HMGB-1 的表达,缓解了 2 型糖尿病大鼠的视网膜病变。

结论

玻璃体内给予环孢素 A 对糖尿病大鼠的视网膜具有保护作用,可能通过抑制 HMGB-1 来下调 IL-1β和 TNF-α在视网膜中的表达。

https://cdn.ncbi.nlm.nih.gov/pmc/blobs/b604/7001216/d8261783fc15/40360_2020_387_Fig4_HTML.jpg
https://cdn.ncbi.nlm.nih.gov/pmc/blobs/b604/7001216/483786b50631/40360_2020_387_Fig1_HTML.jpg
https://cdn.ncbi.nlm.nih.gov/pmc/blobs/b604/7001216/af09f37f4161/40360_2020_387_Fig2_HTML.jpg
https://cdn.ncbi.nlm.nih.gov/pmc/blobs/b604/7001216/43a681441554/40360_2020_387_Fig3_HTML.jpg
https://cdn.ncbi.nlm.nih.gov/pmc/blobs/b604/7001216/d8261783fc15/40360_2020_387_Fig4_HTML.jpg
https://cdn.ncbi.nlm.nih.gov/pmc/blobs/b604/7001216/483786b50631/40360_2020_387_Fig1_HTML.jpg
https://cdn.ncbi.nlm.nih.gov/pmc/blobs/b604/7001216/af09f37f4161/40360_2020_387_Fig2_HTML.jpg
https://cdn.ncbi.nlm.nih.gov/pmc/blobs/b604/7001216/43a681441554/40360_2020_387_Fig3_HTML.jpg
https://cdn.ncbi.nlm.nih.gov/pmc/blobs/b604/7001216/d8261783fc15/40360_2020_387_Fig4_HTML.jpg

相似文献

1
Cyclosporine-a attenuates retinal inflammation by inhibiting HMGB-1 formation in rats with type 2 diabetes mellitus.环孢素 A 通过抑制 2 型糖尿病大鼠的高迁移率族蛋白 B1 的形成来减轻视网膜炎症。
BMC Pharmacol Toxicol. 2020 Feb 4;21(1):9. doi: 10.1186/s40360-020-0387-6.
2
High-mobility group box-1 protein activates inflammatory signaling pathway components and disrupts retinal vascular-barrier in the diabetic retina.高迁移率族蛋白 B1 激活炎症信号通路组分并破坏糖尿病视网膜中的血管屏障。
Exp Eye Res. 2013 Feb;107:101-9. doi: 10.1016/j.exer.2012.12.009. Epub 2012 Dec 21.
3
HMGB1 siRNA can reduce damage to retinal cells induced by high glucose in vitro and in vivo.高迁移率族蛋白B1(HMGB1)小干扰RNA(siRNA)在体内外均可减轻高糖对视网膜细胞造成的损伤。
Drug Des Devel Ther. 2017 Mar 15;11:783-795. doi: 10.2147/DDDT.S129913. eCollection 2017.
4
High-Mobility Group Box-1 Modulates the Expression of Inflammatory and Angiogenic Signaling Pathways in Diabetic Retina.高迁移率族蛋白盒1调节糖尿病视网膜中炎症和血管生成信号通路的表达。
Curr Eye Res. 2015;40(11):1141-52. doi: 10.3109/02713683.2014.982829. Epub 2014 Dec 11.
5
The role of high mobility group box 1 (HMGB-1) in the diabetic retinopathy inflammation and apoptosis.高迁移率族蛋白B1(HMGB-1)在糖尿病视网膜病变炎症和细胞凋亡中的作用。
Int J Clin Exp Pathol. 2015 Jun 1;8(6):6807-13. eCollection 2015.
6
Hesperetin rescues retinal oxidative stress, neuroinflammation and apoptosis in diabetic rats.橙皮苷可挽救糖尿病大鼠视网膜氧化应激、神经炎症和细胞凋亡。
Microvasc Res. 2013 May;87:65-74. doi: 10.1016/j.mvr.2013.01.002. Epub 2013 Jan 31.
7
The effects of Bushen Yiqi Huoxue prescription and its disassembled prescriptions on a diabetic retinopathy model in Sprague Dawley rats.补肾益气活血方及其拆方对糖尿病大鼠视网膜病变模型的影响。
Biomed Pharmacother. 2021 Jan;133:110920. doi: 10.1016/j.biopha.2020.110920. Epub 2020 Nov 21.
8
Retinal neuroprotective effects of quercetin in streptozotocin-induced diabetic rats.槲皮素对链脲佐菌素诱导的糖尿病大鼠视网膜神经保护作用。
Exp Eye Res. 2014 Aug;125:193-202. doi: 10.1016/j.exer.2014.06.009. Epub 2014 Jun 18.
9
Extract of Polygonum cuspidatum Attenuates Diabetic Retinopathy by Inhibiting the High-Mobility Group Box-1 (HMGB1) Signaling Pathway in Streptozotocin-Induced Diabetic Rats.虎杖提取物通过抑制链脲佐菌素诱导的糖尿病大鼠高迁移率族蛋白B1(HMGB1)信号通路减轻糖尿病视网膜病变
Nutrients. 2016 Mar 3;8(3):140. doi: 10.3390/nu8030140.
10
Baicalein reduces inflammatory process in a rodent model of diabetic retinopathy.黄芩素可减轻糖尿病性视网膜病变啮齿动物模型中的炎症过程。
Invest Ophthalmol Vis Sci. 2009 May;50(5):2319-27. doi: 10.1167/iovs.08-2642. Epub 2008 Nov 14.

引用本文的文献

1
Proteomic Analysis of Retinas in a Rat Model of High-Fat Diet-Induced Type 2 Diabetes: Implications of Interventional Targets for Nonproliferative Diabetic Retinopathy.高脂饮食诱导的2型糖尿病大鼠模型视网膜的蛋白质组学分析:对非增殖性糖尿病视网膜病变干预靶点的启示
Drug Des Devel Ther. 2025 Apr 17;19:2979-2999. doi: 10.2147/DDDT.S501318. eCollection 2025.
2
Bioinformatical analysis and experimental validation of endoplasmic reticulum stress-related biomarker genes in type 2 diabetes mellitus.2型糖尿病中内质网应激相关生物标志物基因的生物信息学分析及实验验证
Front Genet. 2024 Nov 1;15:1445033. doi: 10.3389/fgene.2024.1445033. eCollection 2024.
3

本文引用的文献

1
High-mobility group box-1 protein activates inflammatory signaling pathway components and disrupts retinal vascular-barrier in the diabetic retina.高迁移率族蛋白 B1 激活炎症信号通路组分并破坏糖尿病视网膜中的血管屏障。
Exp Eye Res. 2013 Feb;107:101-9. doi: 10.1016/j.exer.2012.12.009. Epub 2012 Dec 21.
2
Behçet's syndrome: a critical digest of the recent literature.白塞综合征:近期文献的批判性综述。
Clin Exp Rheumatol. 2012 May-Jun;30(3 Suppl 72):S80-9. Epub 2012 Sep 25.
3
Topical cyclosporine for atopic keratoconjunctivitis.局部用环孢素治疗特应性角结膜炎。
A comprehensive review of intravitreal immunosuppressants and biologicals used in ophthalmology.
眼科玻璃体内使用的免疫抑制剂和生物制剂的综合综述。
Ther Adv Ophthalmol. 2022 May 18;14:25158414221097418. doi: 10.1177/25158414221097418. eCollection 2022 Jan-Dec.
4
The Effect of S-15176 Difumarate Salt on Ultrastructure and Functions of Liver Mitochondria of C57BL/6 Mice with Streptozotocin/High-Fat Diet-Induced Type 2 Diabetes.富马酸S-15176盐对链脲佐菌素/高脂饮食诱导的2型糖尿病C57BL/6小鼠肝脏线粒体超微结构及功能的影响
Biology (Basel). 2020 Sep 24;9(10):309. doi: 10.3390/biology9100309.
5
The Complex Relationship between Diabetic Retinopathy and High-Mobility Group Box: A Review of Molecular Pathways and Therapeutic Strategies.糖尿病视网膜病变与高迁移率族蛋白盒之间的复杂关系:分子途径与治疗策略综述
Antioxidants (Basel). 2020 Jul 26;9(8):666. doi: 10.3390/antiox9080666.
Cochrane Database Syst Rev. 2012 Sep 12;2012(9):CD009078. doi: 10.1002/14651858.CD009078.pub2.
4
[The protective effects on the function and structure of retinae in diabetic rats by intravitreal injection of cyclosporin A].玻璃体内注射环孢素A对糖尿病大鼠视网膜功能和结构的保护作用
Zhonghua Yan Ke Za Zhi. 2012 Jul;48(7):591-7.
5
High-mobility group box-1 and biomarkers of inflammation in the vitreous from patients with proliferative diabetic retinopathy.高迁移率族蛋白盒1与增殖性糖尿病视网膜病变患者玻璃体内的炎症生物标志物
Mol Vis. 2011;17:1829-38. Epub 2011 Jul 6.
6
Inflammation in diabetic retinopathy.糖尿病性视网膜病变中的炎症。
Prog Retin Eye Res. 2011 Sep;30(5):343-58. doi: 10.1016/j.preteyeres.2011.05.002. Epub 2011 May 25.
7
Immunosuppressant cytoprotection correlates with HMGB1 suppression in primary astrocyte cultures exposed to combined oxygen-glucose deprivation.在原代星形胶质细胞培养物中,免疫抑制剂细胞保护与高迁移率族蛋白 B1 的抑制呈正相关,该培养物暴露于联合氧葡萄糖剥夺中。
Pharmacol Rep. 2011;63(2):392-402. doi: 10.1016/s1734-1140(11)70505-9.
8
[The effects of cyclosporine A on immunoglobulins deposition in retina of streptozotocin-induced diabetic rats].[环孢素A对链脲佐菌素诱导的糖尿病大鼠视网膜中免疫球蛋白沉积的影响]
Zhonghua Nei Ke Za Zhi. 2008 Feb;47(2):125-8.
9
Diabetes-enhanced tumor necrosis factor-alpha production promotes apoptosis and the loss of retinal microvascular cells in type 1 and type 2 models of diabetic retinopathy.糖尿病增强的肿瘤坏死因子-α产生促进1型和2型糖尿病视网膜病变模型中视网膜微血管细胞的凋亡和丢失。
Am J Pathol. 2008 May;172(5):1411-8. doi: 10.2353/ajpath.2008.071070. Epub 2008 Apr 10.
10
HMGB1: a signal of necrosis.高迁移率族蛋白B1:一种坏死信号
Autoimmunity. 2007 Jun;40(4):285-9. doi: 10.1080/08916930701356978.