• 文献检索
  • 文档翻译
  • 深度研究
  • 学术资讯
  • Suppr Zotero 插件Zotero 插件
  • 邀请有礼
  • 套餐&价格
  • 历史记录
应用&插件
Suppr Zotero 插件Zotero 插件浏览器插件Mac 客户端Windows 客户端微信小程序
定价
高级版会员购买积分包购买API积分包
服务
文献检索文档翻译深度研究API 文档MCP 服务
关于我们
关于 Suppr公司介绍联系我们用户协议隐私条款
关注我们

Suppr 超能文献

核心技术专利:CN118964589B侵权必究
粤ICP备2023148730 号-1Suppr @ 2026

文献检索

告别复杂PubMed语法,用中文像聊天一样搜索,搜遍4000万医学文献。AI智能推荐,让科研检索更轻松。

立即免费搜索

文件翻译

保留排版,准确专业,支持PDF/Word/PPT等文件格式,支持 12+语言互译。

免费翻译文档

深度研究

AI帮你快速写综述,25分钟生成高质量综述,智能提取关键信息,辅助科研写作。

立即免费体验

教学案例:食管癌

Educational Case: Esophageal Carcinoma.

作者信息

Kresak Jesse Lee, Kavesh Mark, Feely Michael

机构信息

Department of Pathology, Immunology and Laboratory Medicine, University of Florida College of Medicine, Gainesville, FL, USA.

出版信息

Acad Pathol. 2020 Jan 22;7:2374289519897383. doi: 10.1177/2374289519897383. eCollection 2020 Jan-Dec.

DOI:10.1177/2374289519897383
PMID:32030352
原文链接:https://pmc.ncbi.nlm.nih.gov/articles/PMC6977094/
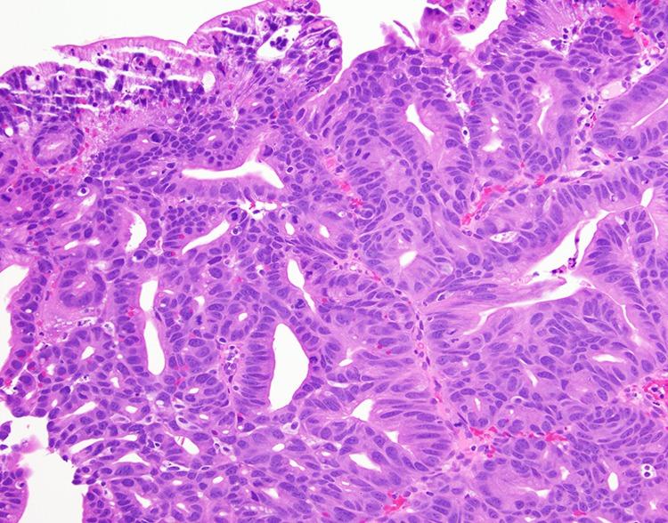
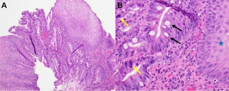
Abstract

..

摘要

..

https://cdn.ncbi.nlm.nih.gov/pmc/blobs/a9af/6977094/5e2328d2a674/10.1177_2374289519897383-fig4.jpg
https://cdn.ncbi.nlm.nih.gov/pmc/blobs/a9af/6977094/716442ab8d40/10.1177_2374289519897383-fig1.jpg
https://cdn.ncbi.nlm.nih.gov/pmc/blobs/a9af/6977094/cd5f8d1e49d0/10.1177_2374289519897383-fig2.jpg
https://cdn.ncbi.nlm.nih.gov/pmc/blobs/a9af/6977094/e2cb90ce2a63/10.1177_2374289519897383-fig3.jpg
https://cdn.ncbi.nlm.nih.gov/pmc/blobs/a9af/6977094/5e2328d2a674/10.1177_2374289519897383-fig4.jpg
https://cdn.ncbi.nlm.nih.gov/pmc/blobs/a9af/6977094/716442ab8d40/10.1177_2374289519897383-fig1.jpg
https://cdn.ncbi.nlm.nih.gov/pmc/blobs/a9af/6977094/cd5f8d1e49d0/10.1177_2374289519897383-fig2.jpg
https://cdn.ncbi.nlm.nih.gov/pmc/blobs/a9af/6977094/e2cb90ce2a63/10.1177_2374289519897383-fig3.jpg
https://cdn.ncbi.nlm.nih.gov/pmc/blobs/a9af/6977094/5e2328d2a674/10.1177_2374289519897383-fig4.jpg

相似文献

1
Educational Case: Esophageal Carcinoma.教学案例:食管癌
Acad Pathol. 2020 Jan 22;7:2374289519897383. doi: 10.1177/2374289519897383. eCollection 2020 Jan-Dec.
2
Educational Case: Barrett Esophagus.教育案例:巴雷特食管
Acad Pathol. 2019 May 30;6:2374289519848089. doi: 10.1177/2374289519848089. eCollection 2019 Jan-Dec.
3
Educational Case: Radiation-Induced Angiosarcoma of the Breast.教育案例:乳腺放射性血管肉瘤
Acad Pathol. 2021 Dec 14;8:23742895211060529. doi: 10.1177/23742895211060529. eCollection 2021 Jan-Dec.
4
Educational Case: Renal Cell and Urothelial Carcinoma.教学案例:肾细胞癌和尿路上皮癌
Acad Pathol. 2020 Sep 21;7:2374289520956363. doi: 10.1177/2374289520956363. eCollection 2020 Jan-Dec.
5
Educational Case: Cytology for Staging Neoplasia and Thyroid Neoplasms.教育案例:用于肿瘤分期和甲状腺肿瘤的细胞学检查
Acad Pathol. 2019 Jun 10;6:2374289519851218. doi: 10.1177/2374289519851218. eCollection 2019 Jan-Dec.
6
Educational Case: Bladder Carcinoma In Situ.教学病例:原位膀胱癌
Acad Pathol. 2018 Aug 14;5:2374289517719858. doi: 10.1177/2374289517719858. eCollection 2018 Jan-Dec.
7
Educational Case: Diagnostic Approach to Salivary Gland Neoplasms.教育案例:唾液腺肿瘤的诊断方法
Acad Pathol. 2021 May 25;8:23742895211015342. doi: 10.1177/23742895211015342. eCollection 2021 Jan-Dec.
8
Educational Case: Head and Neck Neoplasia: Salivary Gland Tumors.教学案例:头颈部肿瘤:唾液腺肿瘤
Acad Pathol. 2018 Jun 17;5:2374289518770655. doi: 10.1177/2374289518770655. eCollection 2018 Jan-Dec.
9
Educational Case: Acute Appendicitis.教育案例:急性阑尾炎
Acad Pathol. 2020 Jun 1;7:2374289520926640. doi: 10.1177/2374289520926640. eCollection 2020 Jan-Dec.
10
Educational Case: Malignant Melanoma.教学案例:恶性黑色素瘤
Acad Pathol. 2021 Jun 25;8:23742895211023954. doi: 10.1177/23742895211023954. eCollection 2021 Jan-Dec.

引用本文的文献

1
Esophageal Adenocarcinoma Causing Nonbacterial Thrombotic Endocarditis.食管腺癌导致非细菌性血栓性心内膜炎。
Cureus. 2023 Jun 1;15(6):e39827. doi: 10.7759/cureus.39827. eCollection 2023 Jun.
2
Risk factors of oesophageal cancer at health facilities in Addis Ababa, Ethiopia: Unmatched case control study.埃塞俄比亚亚的斯亚贝巴医疗机构中食管癌的危险因素:非匹配病例对照研究。
Front Oncol. 2022 Sep 20;12:997158. doi: 10.3389/fonc.2022.997158. eCollection 2022.

本文引用的文献

1
Pathology Competencies for Medical Education and Educational Cases.医学教育病理学能力与教育案例
Acad Pathol. 2017 Jul 24;4:2374289517715040. doi: 10.1177/2374289517715040. eCollection 2017 Jan-Dec.
2
Racial and Ethnic Disparities in the Incidence of Esophageal Cancer in the United States, 1992-2013.1992 - 2013年美国食管癌发病率的种族和民族差异
Am J Epidemiol. 2017 Dec 15;186(12):1341-1351. doi: 10.1093/aje/kwx221.
3
Human papillomavirus tumor infection in esophageal squamous cell carcinoma.人乳头瘤病毒肿瘤感染在食管鳞状细胞癌中的情况
J Gastrointest Oncol. 2015 Jun;6(3):287-95. doi: 10.3978/j.issn.2078-6891.2015.001.
4
Epidemiology of Barrett's Esophagus and Esophageal Adenocarcinoma.巴雷特食管与食管腺癌的流行病学
Gastroenterol Clin North Am. 2015 Jun;44(2):203-31. doi: 10.1016/j.gtc.2015.02.001. Epub 2015 Apr 9.
5
Epidemiology of esophageal cancer.食管癌的流行病学。
World J Gastroenterol. 2013 Sep 14;19(34):5598-606. doi: 10.3748/wjg.v19.i34.5598.