• 文献检索
  • 文档翻译
  • 深度研究
  • 学术资讯
  • Suppr Zotero 插件Zotero 插件
  • 邀请有礼
  • 套餐&价格
  • 历史记录
应用&插件
Suppr Zotero 插件Zotero 插件浏览器插件Mac 客户端Windows 客户端微信小程序
定价
高级版会员购买积分包购买API积分包
服务
文献检索文档翻译深度研究API 文档MCP 服务
关于我们
关于 Suppr公司介绍联系我们用户协议隐私条款
关注我们

Suppr 超能文献

核心技术专利:CN118964589B侵权必究
粤ICP备2023148730 号-1Suppr @ 2026

文献检索

告别复杂PubMed语法,用中文像聊天一样搜索,搜遍4000万医学文献。AI智能推荐,让科研检索更轻松。

立即免费搜索

文件翻译

保留排版,准确专业,支持PDF/Word/PPT等文件格式,支持 12+语言互译。

免费翻译文档

深度研究

AI帮你快速写综述,25分钟生成高质量综述,智能提取关键信息,辅助科研写作。

立即免费体验

基于其增强的比活性,基质金属蛋白酶-14在人膀胱癌中对基质金属蛋白酶-15的主导作用。

Dominative role of MMP-14 over MMP-15 in human urinary bladder carcinoma on the basis of its enhanced specific activity.

作者信息

Kudelski Jacek, Młynarczyk Grzegorz, Darewicz Barbara, Bruczko-Goralewska Marta, Romanowicz Lech

机构信息

Department of Urology, Medical University of Białystok, Poland.

Department of Medical Biochemistry.

出版信息

Medicine (Baltimore). 2020 Feb;99(7):e19224. doi: 10.1097/MD.0000000000019224.

DOI:10.1097/MD.0000000000019224
PMID:32049862
原文链接:https://pmc.ncbi.nlm.nih.gov/articles/PMC7035044/
Abstract

BACKGROUND

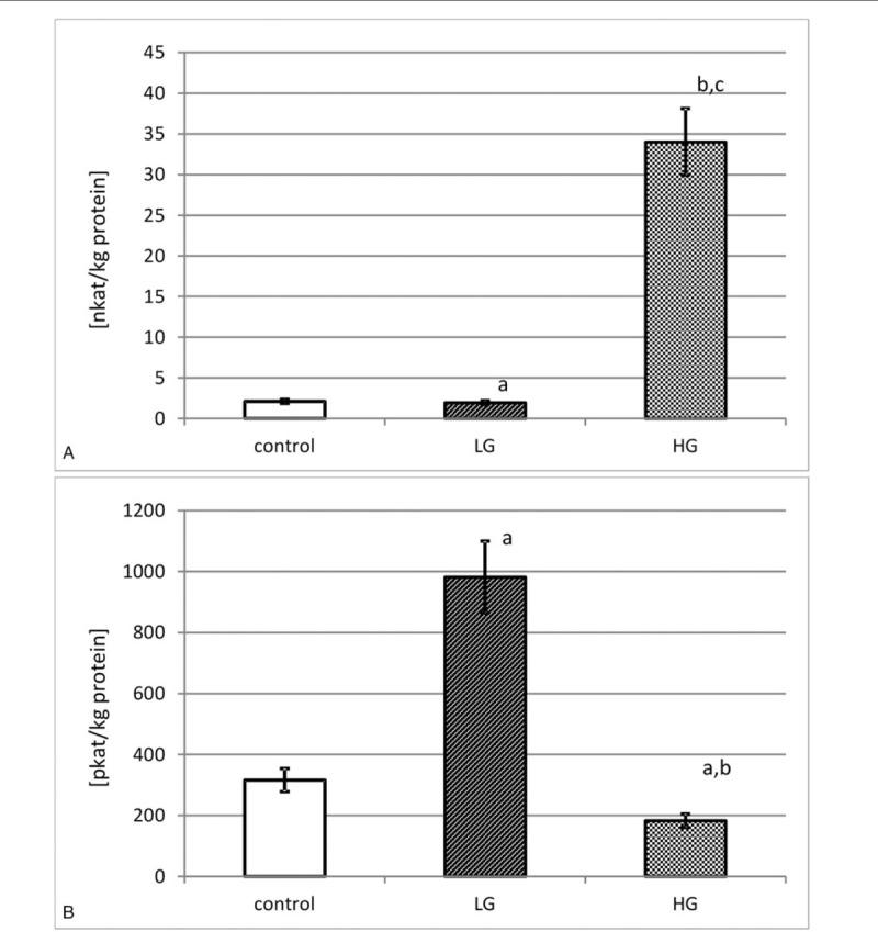
Human urinary bladder cancer is one of the most common cancers worldwide with the mortality rate of approximately 165,000 people annually. The modulation of extracellular matrix is a crucial event in the metastatic spread, among others in angiogenesis. It is initiated and prolonged by the cascade of matrix metalloproteinases. MMP-14 and MMP-15 are associated with a high degree of malignancy, aggressiveness, and survival prognosis by the activation of other matrix metalloproteinases (MMPs). This study was aimed at evaluating the expression and the activity of selected transmembrane metalloproteinases at different stages of human urinary bladder cancer.

METHODS

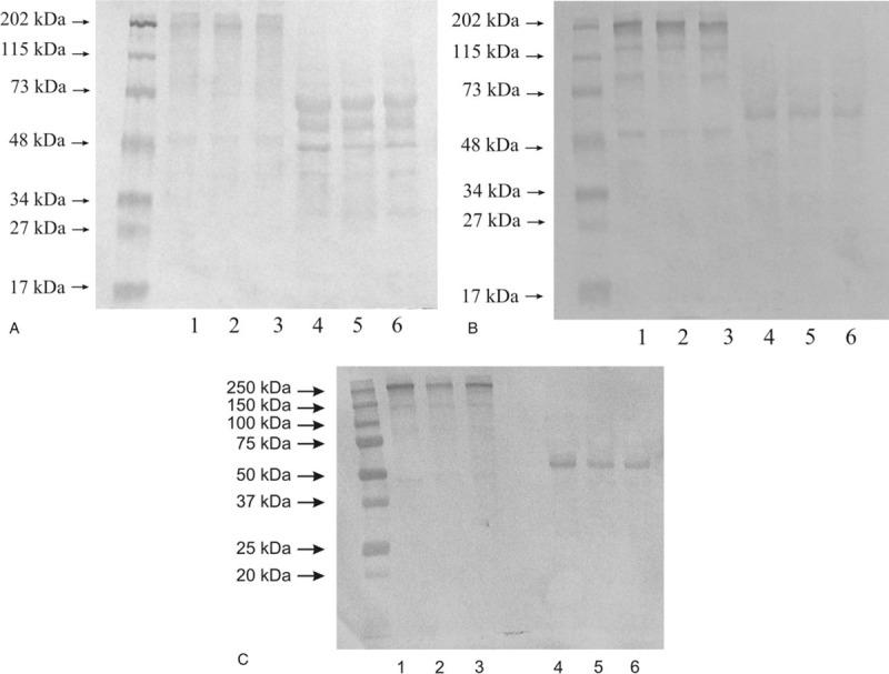
Western blot and enzyme linked immunosorbent assay (ELISA) method were used to evaluate the expression and content of MMPs and TIMP-1. The activity of studied enzymes was determined with fluorometric method.

RESULTS

Both transmembrane metalloproteinases are found in healthy or cancerous tissue in high molecular complexes of human urinary bladder. MMP-14 dominates over MMP-15, particularly in high-grade urinary bladder cancer. Their contents significantly change with the grade of bladder tumor. The amount of MMP-14 increases with increasing grade of tumor. MMP-15 content decreases in high-grade bladder cancer. With increasing grade of urinary bladder cancer their actual activity (per kg of total protein content) is varying in different ways. In all examined tissues, the specific activity of MMP-15 (per kg of the enzyme content) is much higher in comparison to MMP-14. Human urinary bladder cancer contains higher TIMP-1 amounts than control tissue but with the decrease with an increase in tumor grade.

CONCLUSION

Comparison of investigated enzymes' activity and the inhibitor content suggests it opposite effects, higher suppression of MMP-14 than MMP-15 activity in low-grade bladder cancer and reverse TIMP-1 action in high-grade cancer. The MMP-14 activity determination in urinary bladder cancer tissue may be used as a predictor of a risk of metastasis.

摘要

背景

人类膀胱癌是全球最常见的癌症之一,每年死亡率约为16.5万人。细胞外基质的调节是转移扩散中的关键事件,尤其是在血管生成方面。它由基质金属蛋白酶级联反应启动并持续。MMP - 14和MMP - 15通过激活其他基质金属蛋白酶(MMPs)与高度恶性、侵袭性和生存预后相关。本研究旨在评估人类膀胱癌不同阶段所选跨膜金属蛋白酶的表达和活性。

方法

采用蛋白质免疫印迹法和酶联免疫吸附测定(ELISA)法评估MMPs和TIMP - 1的表达及含量。用荧光法测定所研究酶的活性。

结果

在人类膀胱的健康或癌组织中,两种跨膜金属蛋白酶均以高分子复合物形式存在。MMP - 14在MMP - 15中占主导地位,尤其是在高级别膀胱癌中。它们的含量随膀胱肿瘤分级显著变化。MMP - 14的量随肿瘤分级增加而增加。高级别膀胱癌中MMP - 15含量降低。随着膀胱癌分级增加,它们的实际活性(每千克总蛋白含量)以不同方式变化。在所有检测组织中,MMP - 15的比活性(每千克酶含量)相比MMP - 14要高得多。人类膀胱癌组织中TIMP - 1含量高于对照组织,但随肿瘤分级增加而降低。

结论

所研究酶活性与抑制剂含量的比较表明其作用相反,在低级别膀胱癌中对MMP - 14活性的抑制高于MMP - 15,而在高级别癌症中TIMP - 1作用相反。膀胱癌组织中MMP - 14活性测定可作为转移风险的预测指标。

https://cdn.ncbi.nlm.nih.gov/pmc/blobs/d888/7035044/e9b7645731fe/medi-99-e19224-g003.jpg
https://cdn.ncbi.nlm.nih.gov/pmc/blobs/d888/7035044/49dd65dd45d5/medi-99-e19224-g002.jpg
https://cdn.ncbi.nlm.nih.gov/pmc/blobs/d888/7035044/e9b7645731fe/medi-99-e19224-g003.jpg
https://cdn.ncbi.nlm.nih.gov/pmc/blobs/d888/7035044/49dd65dd45d5/medi-99-e19224-g002.jpg
https://cdn.ncbi.nlm.nih.gov/pmc/blobs/d888/7035044/e9b7645731fe/medi-99-e19224-g003.jpg

相似文献

1
Dominative role of MMP-14 over MMP-15 in human urinary bladder carcinoma on the basis of its enhanced specific activity.基于其增强的比活性,基质金属蛋白酶-14在人膀胱癌中对基质金属蛋白酶-15的主导作用。
Medicine (Baltimore). 2020 Feb;99(7):e19224. doi: 10.1097/MD.0000000000019224.
2
Enhanced Expression but Decreased Specific Activity of Matrix Metalloproteinase 10 (MMP-10) in Comparison with Matrix Metalloproteinase 3 (MMP-3) in Human Urinary Bladder Carcinoma.与基质金属蛋白酶3(MMP-3)相比,基质金属蛋白酶10(MMP-10)在人膀胱癌中的表达增强但比活性降低。
J Clin Med. 2021 Aug 19;10(16):3683. doi: 10.3390/jcm10163683.
3
MMP-14 Exhibits Greater Expression, Content and Activity Compared to MMP-15 in Human Renal Carcinoma.MMP-14 在人类肾细胞癌中的表达、含量和活性均高于 MMP-15。
Int J Mol Sci. 2024 Jul 25;25(15):8107. doi: 10.3390/ijms25158107.
4
Prognostic value of membrane type 1 and 2 matrix metalloproteinase expression and gelatinase A activity in bladder cancer.膀胱癌中膜型 1 和 2 基质金属蛋白酶表达和明胶酶 A 活性的预后价值。
Int J Biol Markers. 2010 Apr-Jun;25(2):69-74. doi: 10.1177/172460081002500202.
5
The Significance of Matrix Metalloproteinase 9 (MMP-9) and Metalloproteinase 2 (MMP-2) in Urinary Bladder Cancer.基质金属蛋白酶9(MMP - 9)和金属蛋白酶2(MMP - 2)在膀胱癌中的意义
Biomedicines. 2023 Mar 20;11(3):956. doi: 10.3390/biomedicines11030956.
6
Prognostic significance of matrix metalloproteinase-1 and tissue inhibitor of metalloproteinase-1 in voided urine samples from patients with transitional cell carcinoma of the bladder.基质金属蛋白酶-1和金属蛋白酶组织抑制剂-1在膀胱移行细胞癌患者尿液样本中的预后意义
Clin Cancer Res. 2001 Nov;7(11):3450-6.
7
Significance of matrix metalloproteinases and tissue inhibitors of metalloproteinase expression in the recurrence of superficial transitional cell carcinoma of the bladder.基质金属蛋白酶及金属蛋白酶组织抑制剂表达在膀胱浅表性移行细胞癌复发中的意义
J Urol. 2001 May;165(5):1769-72.
8
Imbalance between matrix metalloproteinase-1 (MMP-1) and tissue inhibitor of metalloproteinase-1 (TIMP-1) contributes to bladder compliance changes in rabbits with partial bladder outlet obstruction (PBOO).基质金属蛋白酶-1(MMP-1)与基质金属蛋白酶组织抑制剂-1(TIMP-1)之间的失衡导致部分膀胱出口梗阻(PBOO)兔膀胱顺应性改变。
BJU Int. 2013 Aug;112(4):E391-7. doi: 10.1111/j.1464-410X.2012.11740.x. Epub 2013 Jan 10.
9
Noninvasive diagnosis of bladder cancer by detection of matrix metalloproteinases (MMP-2 and MMP-9) and their inhibitor (TIMP-2) in urine.通过检测尿液中的基质金属蛋白酶(MMP - 2和MMP - 9)及其抑制剂(TIMP - 2)对膀胱癌进行无创诊断。
Eur Urol. 2007 Nov;52(5):1388-96. doi: 10.1016/j.eururo.2007.04.006. Epub 2007 Apr 10.
10
[Activity of matrix metalloproteinases -2 and -9 (MMP-2 and MMP-9) and content of their tissue inhibitors in endometrial cancer--a preliminary study].基质金属蛋白酶-2和-9(MMP-2和MMP-9)活性及其组织抑制剂在子宫内膜癌中的含量——一项初步研究
Ginekol Pol. 2007 May;78(5):366-72.

引用本文的文献

1
Matrix Metalloproteinases: Pathophysiologic Implications and Potential Therapeutic Targets in Cardiovascular Disease.基质金属蛋白酶:心血管疾病中的病理生理意义及潜在治疗靶点
Biomolecules. 2025 Apr 17;15(4):598. doi: 10.3390/biom15040598.
2
Multi-omics analysis of the biological function of the VEGF family in colon adenocarcinoma.血管内皮生长因子家族在结直肠腺癌中生物学功能的多组学分析。
Funct Integr Genomics. 2024 Nov 11;24(6):210. doi: 10.1007/s10142-024-01493-x.
3
Novel Insights into the Catalytic Mechanism of Collagenolysis by Zn(II)-Dependent Matrix Metalloproteinase-1.

本文引用的文献

1
Membrane-type matrix metalloproteases as diverse effectors of cancer progression.膜型基质金属蛋白酶作为癌症进展的多种效应因子。
Biochim Biophys Acta Mol Cell Res. 2017 Nov;1864(11 Pt A):1974-1988. doi: 10.1016/j.bbamcr.2017.04.002. Epub 2017 Apr 5.
2
Cellular and Molecular Mechanisms of MT1-MMP-Dependent Cancer Cell Invasion.MT1-MMP 依赖性癌细胞侵袭的细胞和分子机制。
Annu Rev Cell Dev Biol. 2016 Oct 6;32:555-576. doi: 10.1146/annurev-cellbio-111315-125227. Epub 2016 Aug 8.
3
Membrane-type matrix metalloproteinases: Their functions and regulations.
锌离子依赖型基质金属蛋白酶-1 介导的胶原降解的催化机制的新见解。
Biochemistry. 2024 Aug 6;63(15):1925-1940. doi: 10.1021/acs.biochem.4c00076. Epub 2024 Jul 4.
4
Upregulation of matrix metalloproteinase 14 (MMP14) is associated with poor prognosis in renal clear cell carcinoma-a bioinformatics analysis.基质金属蛋白酶14(MMP14)上调与肾透明细胞癌预后不良相关——一项生物信息学分析
Transl Androl Urol. 2022 Nov;11(11):1523-1534. doi: 10.21037/tau-22-619.
5
Detecting the PEX Like Domain of Matrix Metalloproteinase-14 (MMP-14) with Therapeutic Conjugated CNTs.检测基质金属蛋白酶-14(MMP-14)的 PEX 样结构域与治疗性 CNT 偶联物。
Biosensors (Basel). 2022 Oct 17;12(10):884. doi: 10.3390/bios12100884.
6
Higher Content but Not Activity of Stromelysin-2 (MMP-10) in Comparison to Stromelysin-1 (MMP-3) in Human Renal Carcinoma.基质金属蛋白酶-2(MMP-10)含量高于基质金属蛋白酶-1(MMP-3),但活性无差异,与人类肾细胞癌相关。
Int J Environ Res Public Health. 2022 Oct 2;19(19):12613. doi: 10.3390/ijerph191912613.
7
Relationship between VEGF Family Members, Their Receptors and Cell Death in the Neoplastic Transformation of Colorectal Cancer.血管内皮生长因子家族成员、其受体与结直肠癌细胞癌变过程中细胞死亡的关系。
Int J Mol Sci. 2022 Mar 21;23(6):3375. doi: 10.3390/ijms23063375.
8
Immune Infiltration of MMP14 in Pan Cancer and Its Prognostic Effect on Tumors.基质金属蛋白酶14在泛癌中的免疫浸润及其对肿瘤的预后影响
Front Oncol. 2021 Sep 17;11:717606. doi: 10.3389/fonc.2021.717606. eCollection 2021.
9
MMP1 and MMP9 are potential prognostic biomarkers and targets for uveal melanoma.MMP1 和 MMP9 是葡萄膜黑色素瘤有潜力的预后生物标志物和治疗靶点。
BMC Cancer. 2021 Sep 29;21(1):1068. doi: 10.1186/s12885-021-08788-3.
10
Enhanced Expression but Decreased Specific Activity of Matrix Metalloproteinase 10 (MMP-10) in Comparison with Matrix Metalloproteinase 3 (MMP-3) in Human Urinary Bladder Carcinoma.与基质金属蛋白酶3(MMP-3)相比,基质金属蛋白酶10(MMP-10)在人膀胱癌中的表达增强但比活性降低。
J Clin Med. 2021 Aug 19;10(16):3683. doi: 10.3390/jcm10163683.
膜型基质金属蛋白酶:功能与调控。
Matrix Biol. 2015 May-Jul;44-46:207-23. doi: 10.1016/j.matbio.2015.03.004. Epub 2015 Mar 17.
4
MT-LOOP-dependent localization of membrane type I matrix metalloproteinase (MT1-MMP) to the cell adhesion complexes promotes cancer cell invasion.MT1-基质金属蛋白酶(MT1-MMP)依赖于 MT-LOOP 的定位到细胞黏附复合物促进癌细胞侵袭。
J Biol Chem. 2013 Dec 6;288(49):35126-37. doi: 10.1074/jbc.M113.496067. Epub 2013 Oct 28.
5
Prognostic value of membrane type 1 and 2 matrix metalloproteinase expression and gelatinase A activity in bladder cancer.膀胱癌中膜型 1 和 2 基质金属蛋白酶表达和明胶酶 A 活性的预后价值。
Int J Biol Markers. 2010 Apr-Jun;25(2):69-74. doi: 10.1177/172460081002500202.
6
Induction of a MT1-MMP and MT2-MMP-dependent basement membrane transmigration program in cancer cells by Snail1.Snail1 诱导癌细胞中依赖 MT1-MMP 和 MT2-MMP 的基底膜迁移程序。
Proc Natl Acad Sci U S A. 2009 Dec 1;106(48):20318-23. doi: 10.1073/pnas.0910962106. Epub 2009 Nov 13.
7
The bladder extracellular matrix. Part I: architecture, development and disease.膀胱细胞外基质。第一部分:结构、发育和疾病。
Nat Rev Urol. 2009 Nov;6(11):596-611. doi: 10.1038/nrurol.2009.201.
8
The role of structural extracellular matrix proteins in urothelial bladder cancer (review).结构细胞外基质蛋白在膀胱尿路上皮癌中的作用(综述)
Biomark Insights. 2007 Nov 5;2:418-27. doi: 10.4137/bmi.s294.
9
Development of an optimized activatable MMP-14 targeted SPECT imaging probe.一种优化的可激活基质金属蛋白酶-14靶向单光子发射计算机断层扫描成像探针的研发。
Bioorg Med Chem. 2009 Jan 15;17(2):653-9. doi: 10.1016/j.bmc.2008.11.078. Epub 2008 Dec 6.
10
MT1-MMP regulates urothelial cell invasion via transcriptional regulation of Dickkopf-3.基质金属蛋白酶1-膜型1通过对Dickkopf-3的转录调控来调节尿路上皮细胞的侵袭。
Br J Cancer. 2008 Aug 19;99(4):663-9. doi: 10.1038/sj.bjc.6604513. Epub 2008 Jul 29.