Suppr超能文献

Parkinsonism caused by Intracranial ependymoma: A rare case report and literature review.

作者信息

Lou Yue, Wang Yanwen, Zhuang Liying, Cai Miao, Liu Xiaoli

机构信息

Department of Neurology Zhejiang Hospital Hangzhou China.

出版信息

Aging Med (Milton). 2019 Dec 27;2(4):223-226. doi: 10.1002/agm2.12093. eCollection 2019 Dec.

Abstract

BACKGROUND

Ependymomas, especially intracranial ependymomas, are rare neoplasms of the CNS. The clinical courses of patients with intracranial ependymomas can be quite variable. At present, data on parkinsonism caused by ependymomas are scarce.

CASE PRESENTATION

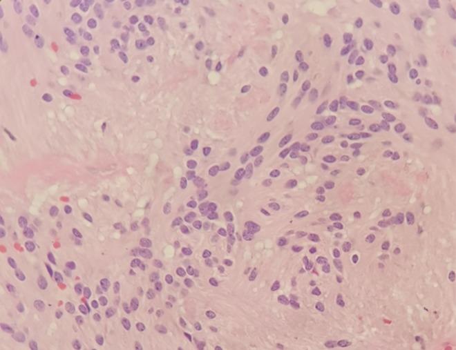
A 13-year-old girl presented with parkinsonism symptoms of clumsiness in her left leg and hand. Her mother was diagnosed with Parkinson's disease at age 30, nine years previously. Magnetic resonance imaging showed a lesion in the temporal lobe with long-T1 signal, mixed-T2 signal. The patient was taken in for a right tumorectomy and was diagnosed as having an ependymoma postoperatively. The patient's symptoms fully resolved in the postoperative phase.

CONCLUSION

The case describes the mechanism of intracranial ependymoma involving parkinsonism symptoms. Our findings suggest that in some patients presenting with atypical PD symptoms the underlying cause should not be overlooked; MRI examination is necessary.

摘要
https://cdn.ncbi.nlm.nih.gov/pmc/blobs/ed40/7003710/3da1082e884f/AGM2-2-223-g001.jpg

相似文献

1
Parkinsonism caused by Intracranial ependymoma: A rare case report and literature review.
Aging Med (Milton). 2019 Dec 27;2(4):223-226. doi: 10.1002/agm2.12093. eCollection 2019 Dec.
2
Intracranial ependymomas: The role of advanced neuroimaging in diagnosis and management.
Neuroradiol J. 2021 Apr;34(2):80-92. doi: 10.1177/1971400921990770. Epub 2021 Feb 1.
3
Adult cerebellopontine angle ependymoma presenting as an isolated cisternal mass: A case report.
J Med Imaging Radiat Sci. 2020 Dec;51(4):689-693. doi: 10.1016/j.jmir.2020.08.007. Epub 2020 Sep 2.
4
Long-term survival following gross total resection of pediatric supratentorial ependymomas without adjuvant therapy.
Pediatr Neurosurg. 2012;48(6):379-84. doi: 10.1159/000353685. Epub 2013 Aug 16.
5
Extra-axial ependymoma of the cerebral convexity: A very rare intracranial adult tumor.
Neuroradiol J. 2017 Jun;30(3):281-285. doi: 10.1177/1971400916687584. Epub 2017 Jan 6.
6
Familial intracranial ependymomas. Report of three cases in a family and review of the literature.
Neurosurg Focus. 2006 Jan 15;20(1):E8. doi: 10.3171/foc.2006.20.1.9.
7
The clinical features and surgical outcomes of intracranial tanycytic ependymomas: a single-institutional experience.
J Neurooncol. 2017 Sep;134(2):339-347. doi: 10.1007/s11060-017-2531-8. Epub 2017 Jun 26.
8
Intraparenchymal myxopapillary ependymoma: case report.
Neurosurgery. 2004 Oct;55(4):981. doi: 10.1227/01.neu.0000137278.84588.06.
9
Letter to the Editor: Depression As The First Symptom Of Frontal Lobe Grade 2 Malignant Glioma.
Turk Psikiyatri Derg. 2022 Summer;33(2):143-145. doi: 10.5080/u25957.

本文引用的文献

1
Unusual features of ependymoma in a patient with Parkinson's disease.
J Clin Neurosci. 2019 Jan;59:310-312. doi: 10.1016/j.jocn.2018.10.124. Epub 2018 Nov 6.
2
Ependymoma.
Semin Neurol. 2018 Feb;38(1):104-111. doi: 10.1055/s-0038-1636503. Epub 2018 Mar 16.
3
The current consensus on the clinical management of intracranial ependymoma and its distinct molecular variants.
Acta Neuropathol. 2017 Jan;133(1):5-12. doi: 10.1007/s00401-016-1643-0. Epub 2016 Nov 17.
4
Clinical course and progression-free survival of adult intracranial and spinal ependymoma patients.
Neuro Oncol. 2015 Mar;17(3):440-7. doi: 10.1093/neuonc/nou162. Epub 2014 Aug 13.
5
Descriptive epidemiology of ependymal tumours in the United States.
Br J Cancer. 2013 Jun 11;108(11):2367-71. doi: 10.1038/bjc.2013.221. Epub 2013 May 9.
6
A systematic review of treatment outcomes in pediatric patients with intracranial ependymomas.
J Neurosurg Pediatr. 2013 Jun;11(6):673-81. doi: 10.3171/2013.2.PEDS12345. Epub 2013 Mar 29.
7
Pediatric ependymoma: biological perspectives.
Mol Cancer Res. 2009 Jun;7(6):765-86. doi: 10.1158/1541-7786.MCR-08-0584. Epub 2009 Jun 16.
8
Imaging of ependymomas: MRI and CT.
Childs Nerv Syst. 2009 Oct;25(10):1203-13. doi: 10.1007/s00381-009-0878-7. Epub 2009 Apr 10.
9
Conformal radiotherapy after surgery for paediatric ependymoma: a prospective study.
Lancet Oncol. 2009 Mar;10(3):258-66. doi: 10.1016/s1470-2045(08)70342-5.
10
Parkinsonism caused by cavernoma located in basal ganglion.
Parkinsonism Relat Disord. 2005 Dec;11(8):517-9. doi: 10.1016/j.parkreldis.2005.07.003.

文献AI研究员

20分钟写一篇综述,助力文献阅读效率提升50倍。

立即体验

用中文搜PubMed

大模型驱动的PubMed中文搜索引擎

马上搜索

文档翻译

学术文献翻译模型,支持多种主流文档格式。

立即体验