Suppr超能文献

一名两岁女童的椎旁脓肿

Paraspinal Abscess in a Two-year-old Female.

作者信息

O'Donnell Rachel, Sayani Sean, Aguìñiga-Navarrete Phillip, Quesada Daniel, Barkataki Kieron, Garrett Madison Brooke

机构信息

Kern Medical Center, Department of Emergency Medicine, Bakersfield, California.

LAC + USC Medical Center, Department of Emergency Medicine, Los Angeles, California.

出版信息

Clin Pract Cases Emerg Med. 2019 Dec 17;4(1):59-61. doi: 10.5811/cpcem.2019.10.44857. eCollection 2020 Feb.

Abstract

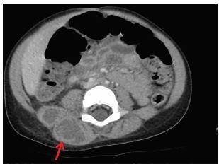
A paraspinal abscess is an uncommon condition frequently diagnosed late due to equivocal symptoms, which can lead to increased morbidity and mortality. Commonly associated risk factors include prior invasive spinal procedures, diabetes mellitus, trauma, chronic steroid use, malnutrition, intravenous drug use and an immunocompromised state. Pediatric paraspinal abscesses are not well documented in the literature. We report a case of a two-year-old female presenting with fevers, lower back pain, and decreased oral intake ultimately diagnosed with isolated lumbar paraspinal abscess. The patient underwent an ultrasound-guided percutaneous drainage of the abscess, subsequently improving, and was discharged within 48 hours of presentation.

摘要

椎旁脓肿是一种不常见的疾病,由于症状不明确,常常在晚期才得以诊断,这可能导致发病率和死亡率升高。常见的相关危险因素包括既往脊柱侵入性操作、糖尿病、创伤、长期使用类固醇、营养不良、静脉吸毒和免疫功能低下状态。小儿椎旁脓肿在文献中记载较少。我们报告一例两岁女性患儿,出现发热、下背部疼痛及经口摄入量减少,最终被诊断为孤立性腰椎椎旁脓肿。该患者接受了超声引导下脓肿经皮引流,随后病情改善,并在就诊后48小时内出院。

https://cdn.ncbi.nlm.nih.gov/pmc/blobs/d239/7012547/a2f4e2e3c61b/cpcem-04-59-g001.jpg

文献AI研究员

20分钟写一篇综述,助力文献阅读效率提升50倍。

立即体验

用中文搜PubMed

大模型驱动的PubMed中文搜索引擎

马上搜索

文档翻译

学术文献翻译模型,支持多种主流文档格式。

立即体验