• 文献检索
  • 文档翻译
  • 深度研究
  • 学术资讯
  • Suppr Zotero 插件Zotero 插件
  • 邀请有礼
  • 套餐&价格
  • 历史记录
应用&插件
Suppr Zotero 插件Zotero 插件浏览器插件Mac 客户端Windows 客户端微信小程序
定价
高级版会员购买积分包购买API积分包
服务
文献检索文档翻译深度研究API 文档MCP 服务
关于我们
关于 Suppr公司介绍联系我们用户协议隐私条款
关注我们

Suppr 超能文献

核心技术专利:CN118964589B侵权必究
粤ICP备2023148730 号-1Suppr @ 2026

文献检索

告别复杂PubMed语法,用中文像聊天一样搜索,搜遍4000万医学文献。AI智能推荐,让科研检索更轻松。

立即免费搜索

文件翻译

保留排版,准确专业,支持PDF/Word/PPT等文件格式,支持 12+语言互译。

免费翻译文档

深度研究

AI帮你快速写综述,25分钟生成高质量综述,智能提取关键信息,辅助科研写作。

立即免费体验

从 的未成熟睾丸中提取、鉴定、修饰组蛋白及抗菌活性研究。

Extraction, Identification, Modification, and Antibacterial Activity of Histone from Immature Testis of .

机构信息

College of Food Science and Engineering, Ocean University of China, Qingdao, Shandong 266003, China.

出版信息

Mar Drugs. 2020 Feb 26;18(3):133. doi: 10.3390/md18030133.

DOI:10.3390/md18030133
PMID:32111010
原文链接:https://pmc.ncbi.nlm.nih.gov/articles/PMC7142871/
Abstract

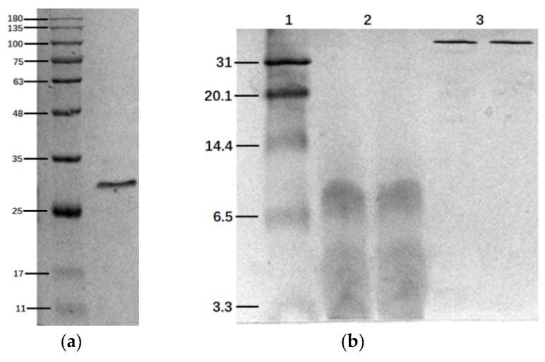
In the present study, histone from immature testis of Atlantic salmon was extracted and identified, and its antibacterial activity after enzymolysis was investigated. Histone extracted from Atlantic salmon () testis using the acid extraction method was successfully identified by LC-MS/MS, and revealed significant inhibitory activity on both the Gram-negative and Gram-positive bacteria. With a low concentration of 10 mg/mL, the observed inhibitory zone diameter (IZD) could significantly reach up to 15.23 mm. After modification of enzymatic hydrolysis by pepsin, histone could be digested to three fragments, while the antibacterial activity increased up to 57.7%. All the results suggested the leftovers from commercial fishing could be utilized for the extraction of antimicrobial peptides.

摘要

在本研究中,提取并鉴定了大西洋鲑鱼未成熟睾丸中的组蛋白,并研究了其酶解后的抗菌活性。采用酸提取法从大西洋鲑鱼()睾丸中提取的组蛋白,经 LC-MS/MS 成功鉴定,并对革兰氏阴性菌和革兰氏阳性菌均表现出显著的抑制活性。在浓度低至 10mg/mL 时,观察到的抑菌圈直径(IZD)可显著达到 15.23mm。经过胃蛋白酶酶解修饰后,组蛋白可被消化为三个片段,同时抗菌活性提高了 57.7%。所有结果表明,商业捕捞的剩余物可用于提取抗菌肽。

https://cdn.ncbi.nlm.nih.gov/pmc/blobs/aa84/7142871/076930b7e019/marinedrugs-18-00133-g008.jpg
https://cdn.ncbi.nlm.nih.gov/pmc/blobs/aa84/7142871/ff50c632e1ac/marinedrugs-18-00133-g001.jpg
https://cdn.ncbi.nlm.nih.gov/pmc/blobs/aa84/7142871/81dda08dc3b9/marinedrugs-18-00133-g002.jpg
https://cdn.ncbi.nlm.nih.gov/pmc/blobs/aa84/7142871/59109791eb08/marinedrugs-18-00133-g003.jpg
https://cdn.ncbi.nlm.nih.gov/pmc/blobs/aa84/7142871/70f9e88f59db/marinedrugs-18-00133-g004.jpg
https://cdn.ncbi.nlm.nih.gov/pmc/blobs/aa84/7142871/6200460d3154/marinedrugs-18-00133-g005.jpg
https://cdn.ncbi.nlm.nih.gov/pmc/blobs/aa84/7142871/ce8121c8dc0c/marinedrugs-18-00133-g006.jpg
https://cdn.ncbi.nlm.nih.gov/pmc/blobs/aa84/7142871/42e76ea2c0a7/marinedrugs-18-00133-g007.jpg
https://cdn.ncbi.nlm.nih.gov/pmc/blobs/aa84/7142871/076930b7e019/marinedrugs-18-00133-g008.jpg
https://cdn.ncbi.nlm.nih.gov/pmc/blobs/aa84/7142871/ff50c632e1ac/marinedrugs-18-00133-g001.jpg
https://cdn.ncbi.nlm.nih.gov/pmc/blobs/aa84/7142871/81dda08dc3b9/marinedrugs-18-00133-g002.jpg
https://cdn.ncbi.nlm.nih.gov/pmc/blobs/aa84/7142871/59109791eb08/marinedrugs-18-00133-g003.jpg
https://cdn.ncbi.nlm.nih.gov/pmc/blobs/aa84/7142871/70f9e88f59db/marinedrugs-18-00133-g004.jpg
https://cdn.ncbi.nlm.nih.gov/pmc/blobs/aa84/7142871/6200460d3154/marinedrugs-18-00133-g005.jpg
https://cdn.ncbi.nlm.nih.gov/pmc/blobs/aa84/7142871/ce8121c8dc0c/marinedrugs-18-00133-g006.jpg
https://cdn.ncbi.nlm.nih.gov/pmc/blobs/aa84/7142871/42e76ea2c0a7/marinedrugs-18-00133-g007.jpg
https://cdn.ncbi.nlm.nih.gov/pmc/blobs/aa84/7142871/076930b7e019/marinedrugs-18-00133-g008.jpg

相似文献

1
Extraction, Identification, Modification, and Antibacterial Activity of Histone from Immature Testis of .从 的未成熟睾丸中提取、鉴定、修饰组蛋白及抗菌活性研究。
Mar Drugs. 2020 Feb 26;18(3):133. doi: 10.3390/md18030133.
2
Histone H1: an antimicrobial protein of Atlantic salmon (Salmo salar).组蛋白H1:大西洋鲑(Salmo salar)的一种抗菌蛋白。
Biochem Biophys Res Commun. 2001 Jun 15;284(3):549-55. doi: 10.1006/bbrc.2001.5020.
3
Proline conformation-dependent antimicrobial activity of a proline-rich histone h1 N-terminal Peptide fragment isolated from the skin mucus of Atlantic salmon.从大西洋鲑鱼皮肤黏液中分离出的富含脯氨酸的组蛋白H1 N端肽片段的脯氨酸构象依赖性抗菌活性
Antimicrob Agents Chemother. 2005 Jun;49(6):2399-406. doi: 10.1128/AAC.49.6.2399-2406.2005.
4
Stimulation of type I IFN activity in Atlantic salmon (Salmo salar L.) leukocytes: synergistic effects of cationic proteins and CpG ODN.大西洋鲑(Salmo salar L.)白细胞中I型干扰素活性的刺激:阳离子蛋白和CpG寡脱氧核苷酸的协同作用
Fish Shellfish Immunol. 2006 Apr;20(4):503-18. doi: 10.1016/j.fsi.2005.06.009. Epub 2005 Aug 22.
5
Visible/near-infrared spectroscopy detects autolytic changes during storage of Atlantic salmon (Salmo salar L.).可见/近红外光谱技术检测大西洋鲑(Salmo salar L.)在储存过程中的自溶变化。
J Food Sci. 2011 Apr;76(3):S203-9. doi: 10.1111/j.1750-3841.2011.02062.x. Epub 2011 Mar 16.
6
Timing of Atlantic salmon Salmo salar smolt migration predicts successful passage through a reservoir.大西洋鲑鱼幼鲑洄游的时间预测其能否成功通过水库。
J Fish Biol. 2018 May;92(5):1651-1656. doi: 10.1111/jfb.13606. Epub 2018 Apr 6.
7
The genetic relationship between extirpated and contemporary Atlantic salmon Salmo salar L. lines from the southern Baltic Sea.来自波罗的海南部的已灭绝和当代大西洋鲑(Salmo salar L.)品系之间的遗传关系。
Genet Sel Evol. 2016 Apr 1;48:29. doi: 10.1186/s12711-016-0208-y.
8
Integrative testis transcriptome analysis reveals differentially expressed miRNAs and their mRNA targets during early puberty in Atlantic salmon.综合睾丸转录组分析揭示了大西洋鲑鱼青春期早期差异表达的 miRNAs 及其 mRNA 靶标。
BMC Genomics. 2017 Oct 18;18(1):801. doi: 10.1186/s12864-017-4205-5.
9
Comparative analysis of innate immune responses to Streptococcus phocae strains in Atlantic salmon (Salmo salar) and rainbow trout (Oncorhynchus mykiss).大西洋鲑(Salmo salar)和虹鳟(Oncorhynchus mykiss)对海豹链球菌菌株先天免疫反应的比较分析。
Fish Shellfish Immunol. 2016 Apr;51:97-103. doi: 10.1016/j.fsi.2016.02.005. Epub 2016 Feb 10.
10
Transcriptomic analysis of dead end knockout testis reveals germ cell and gonadal somatic factors in Atlantic salmon.大西洋鲑鱼末端缺失敲除睾丸的转录组分析揭示了生殖细胞和性腺体细胞因子。
BMC Genomics. 2020 Jan 30;21(1):99. doi: 10.1186/s12864-020-6513-4.

引用本文的文献

1
In Silico Identification of Antimicrobial Sequences of Rainbow Trout Brain Proteins in the Context of Aquaculture Waste Recycling.在水产养殖废弃物回收背景下虹鳟鱼脑蛋白抗菌序列的计算机模拟鉴定
Dokl Biol Sci. 2025 Feb;520(1):38-43. doi: 10.1134/S001249662460057X. Epub 2025 Jan 31.
2
Identification, Screening and Antibacterial Mechanism Analysis of Novel Antimicrobial Peptides from Sturgeon () Spermary.鲟鱼精巢中新型抗菌肽的鉴定、筛选及抗菌机制分析。
Mar Drugs. 2023 Jun 29;21(7):386. doi: 10.3390/md21070386.
3
Antibacterial Activity and Mechanisms of TroHepc2-22, a Derived Peptide of Hepcidin2 from Golden Pompano ().

本文引用的文献

1
A connection between antimicrobial properties of venom peptides and microbial ATP synthase.毒液肽的抗菌特性与微生物 ATP 合酶之间的联系。
Int J Biol Macromol. 2018 Nov;119:23-31. doi: 10.1016/j.ijbiomac.2018.07.146. Epub 2018 Jul 24.
2
Protamine-oligonucleotide-nanoparticles: Recent advances in drug delivery and drug targeting.鱼精蛋白-寡核苷酸-纳米颗粒:药物递送与药物靶向的最新进展
Eur J Pharm Sci. 2015 Jul 30;75:54-9. doi: 10.1016/j.ejps.2015.04.009. Epub 2015 Apr 17.
3
Facile and sensitive detection of protamine by enhanced room-temperature phosphorescence of Mn-doped ZnS quantum dots.
抗菌活性和机制的 TroHepc2-22,从金黄鰤鱼衍生的抗菌肽()。
Int J Mol Sci. 2023 May 25;24(11):9251. doi: 10.3390/ijms24119251.
4
Histones: The critical players in innate immunity.组蛋白:先天免疫中的关键角色。
Front Immunol. 2022 Nov 21;13:1030610. doi: 10.3389/fimmu.2022.1030610. eCollection 2022.
通过锰掺杂硫化锌量子点的增强室温磷光实现对鱼精蛋白的简便灵敏检测。
Anal Biochem. 2015 Jun 1;478:90-5. doi: 10.1016/j.ab.2015.03.010. Epub 2015 Mar 14.
4
Low molecular weight protamine (LMWP): a nontoxic protamine substitute and an effective cell-penetrating peptide.低分子量鱼精蛋白(LMWP):一种无毒的鱼精蛋白替代品和有效的细胞穿透肽。
J Control Release. 2014 Nov 10;193:63-73. doi: 10.1016/j.jconrel.2014.05.056. Epub 2014 Jun 3.
5
A role for SIRT2-dependent histone H3K18 deacetylation in bacterial infection.SIRT2 依赖性组蛋白 H3K18 去乙酰化在细菌感染中的作用。
Science. 2013 Aug 2;341(6145):1238858. doi: 10.1126/science.1238858.
6
Purification and characterization of an antimicrobial histone H1-like protein and its gene from the testes of olive flounder, Paralichthys olivaceus.从橄榄石斑鱼(Paralichthys olivaceus)睾丸中纯化和鉴定一种抗菌组蛋白 H1 样蛋白及其基因。
Fish Shellfish Immunol. 2012 Jul;33(1):92-8. doi: 10.1016/j.fsi.2012.04.006. Epub 2012 Apr 19.
7
Defensin from disk abalone Haliotis discus discus: molecular cloning, sequence characterization and immune response against bacterial infection.盘鲍防御素的分子克隆、序列特征及对细菌感染的免疫应答。
Fish Shellfish Immunol. 2010 Feb;28(2):261-6. doi: 10.1016/j.fsi.2009.11.005. Epub 2009 Nov 14.
8
Abhisin: a potential antimicrobial peptide derived from histone H2A of disk abalone (Haliotis discus discus).阿比辛:一种源自盘鲍(皱纹盘鲍)组蛋白H2A的潜在抗菌肽。
Fish Shellfish Immunol. 2009 Nov;27(5):639-46. doi: 10.1016/j.fsi.2009.08.007. Epub 2009 Aug 23.
9
ANTIBACTERIAL PROPERTIES OF PROTAMINE AND HISTONE.鱼精蛋白和组蛋白的抗菌特性
Science. 1942 Nov 6;96(2497):428-30. doi: 10.1126/science.96.2497.428.
10
Unifying themes in host defence effector polypeptides.宿主防御效应多肽中的统一主题。
Nat Rev Microbiol. 2007 Sep;5(9):727-40. doi: 10.1038/nrmicro1744.