Suppr超能文献

转化为球状体形式对确定抗菌物质活性的研究构成挑战。

Transformation of into Coccoid Forms as a Challenge for Research Determining Activity of Antimicrobial Substances.

作者信息

Krzyżek Paweł, Grande Rossella

机构信息

Department of Microbiology, Faculty of Medicine, Wroclaw Medical University, 50-368 Wroclaw, Poland.

Center for Aging Science and Translational Medicine (CeSI-MeT), Via Luigi Polacchi, 11, 66100 Chieti, Italy.

出版信息

Pathogens. 2020 Mar 4;9(3):184. doi: 10.3390/pathogens9030184.

Abstract

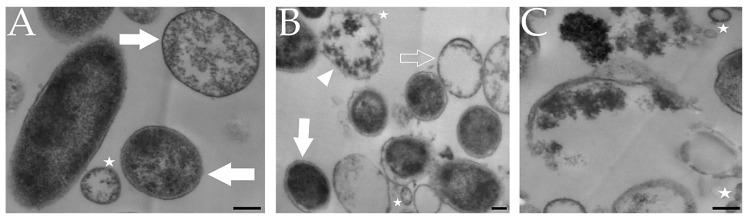
Morphological variability is one of the phenotypic features related to adaptation of microorganisms to stressful environmental conditions and increased tolerance to antimicrobial substances. , a gastric mucosal pathogen, is characterized by a high heterogeneity and an ability to transform from a spiral to a coccoid form. The presence of the coccoid form is associated with the capacity to avoid immune system detection and to promote therapeutic failures. For this reason, it seems that the investigation for new, alternative methods combating should include research of coccoid forms of this pathogen. The current review aimed at collecting information about the activity of antibacterial substances against in the context of the morphological variability of this bacterium. The collected data was discussed in terms of the type of substances used, applied research techniques, and interpretation of results. The review was extended by a polemic on the limitations in determining the viability of coccoid forms. Finally, recommendations which can help in future research aiming to find new compounds with a potential to eradicate have been formulated.

摘要

形态学变异性是与微生物适应应激环境条件以及增强对抗菌物质耐受性相关的表型特征之一。幽门螺杆菌作为一种胃黏膜病原体,具有高度异质性以及从螺旋形转变为球形的能力。球形形态的存在与避免免疫系统检测及导致治疗失败的能力相关。因此,似乎对抗幽门螺杆菌新的替代方法的研究应包括对该病原体球形形态的研究。当前综述旨在收集关于抗菌物质针对幽门螺杆菌形态学变异性情况下的活性信息。所收集的数据依据所使用物质的类型、应用的研究技术以及结果解读进行了讨论。该综述还就确定球形幽门螺杆菌形态生存能力的局限性展开了争论。最后,制定了有助于未来研究寻找具有根除幽门螺杆菌潜力新化合物的建议。

https://cdn.ncbi.nlm.nih.gov/pmc/blobs/598e/7157236/97faa2cf333f/pathogens-09-00184-g001.jpg

文献检索

告别复杂PubMed语法,用中文像聊天一样搜索,搜遍4000万医学文献。AI智能推荐,让科研检索更轻松。

立即免费搜索

文件翻译

保留排版,准确专业,支持PDF/Word/PPT等文件格式,支持 12+语言互译。

免费翻译文档

深度研究

AI帮你快速写综述,25分钟生成高质量综述,智能提取关键信息,辅助科研写作。

立即免费体验