Suppr超能文献

巨大气腹被报道为十二指肠溃疡穿孔的并发症并伴有有趣的影像表现。

Huge hydro pneumoperitoneum reported as complication of perforated duodenal ulcer with interesting images.

作者信息

Elrobaa Islam Hussam, Khan Abdulhadi Hayder, Ahmad Muayad Kassim, Elamatha Abraham John, Elserhy Mohamed Darwish, Eltahir Elfatih, Saifeldeen Khalid Abdulnour

机构信息

Al Wakra Hospital, Hamad Medical Corporation, Al Wakra, Qatar.

出版信息

Pan Afr Med J. 2019 Dec 30;34:217. doi: 10.11604/pamj.2019.34.217.20829. eCollection 2019.

Abstract

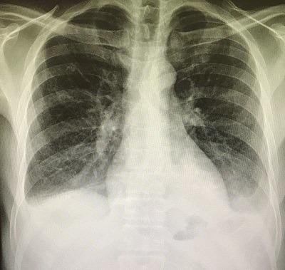
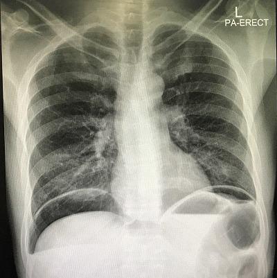
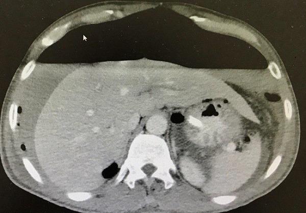
This case has interesting images of huge hydro pneumoperitoneum. It is a rare view in the medical practice and a good point to learn one of the complications of perforated duodenal ulcer and failure of omental patch operation. We reported a case of acute abdominal pain with hydro pneumoperitoneum that appeared as an air fluid line in X-ray. The patient had an omental patch surgery. Two days after the operation he got severe abdominal pain. The X-ray images showed significant huge hydro pneumoperitoneum. He underwent urgent surgical intervention for exploration that detected a large amount of gases, a biliary free fluid and a leak from duodenal ulcer. Omental buttressing was then performed.

摘要

该病例有巨大气腹积气的有趣影像。这在医学实践中是一种罕见的情况,也是了解十二指肠溃疡穿孔和网膜修补手术失败的并发症之一的好机会。我们报告了一例急性腹痛伴气腹积气的病例,X线显示为气液平面。该患者接受了网膜修补手术。术后两天,他出现剧烈腹痛。X线影像显示有明显的巨大气腹积气。他接受了紧急手术探查,发现大量气体、无胆汁的液体以及十二指肠溃疡渗漏。随后进行了网膜支撑术。

https://cdn.ncbi.nlm.nih.gov/pmc/blobs/6cbd/7060911/6f1d7c40a84a/PAMJ-34-217-g001.jpg

文献检索

告别复杂PubMed语法,用中文像聊天一样搜索,搜遍4000万医学文献。AI智能推荐,让科研检索更轻松。

立即免费搜索

文件翻译

保留排版,准确专业,支持PDF/Word/PPT等文件格式,支持 12+语言互译。

免费翻译文档

深度研究

AI帮你快速写综述,25分钟生成高质量综述,智能提取关键信息,辅助科研写作。

立即免费体验