Suppr超能文献

脑囊型包虫病

Cerebral Cystic Echinococcosis.

作者信息

Siyadatpanah Abolghasem, Brunetti Enrico, Emami Zeydi Amir, Moghadam Yousef Dadi, Agudelo Higuita Nelson Iván

机构信息

Ferdows School of Paramedical and Health, Birjand University of Medical Sciences, Birjand, Iran.

University of Pavia, Unit of Infectious and Tropical Diseases, IRCCS San Matteo Hospital Foundation, Pavia, Italy.

出版信息

Case Rep Infect Dis. 2020 Feb 29;2020:1754231. doi: 10.1155/2020/1754231. eCollection 2020.

Abstract

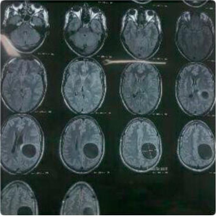
Cystic echinococcosis (CE) is a neglected helminthic disease and major public health problem in several regions of the world. The zoonosis is caused by the larval stage of different cestode species belonging to the genus CE can affect any organ with the liver and lungs being most commonly involved. The brain is involved in less than 2% of the cases. We report a case of a CE1 echinococcal cyst of the brain in an Iranian patient.

摘要

囊型包虫病(CE)是一种被忽视的蠕虫病,也是世界上多个地区的主要公共卫生问题。这种人畜共患病由棘球绦虫属不同绦虫物种的幼虫阶段引起。CE可影响任何器官,其中肝脏和肺最常受累。脑部受累的病例不到2%。我们报告了一例伊朗患者脑部CE1型棘球蚴囊肿的病例。

https://cdn.ncbi.nlm.nih.gov/pmc/blobs/a32b/7066420/68f39f404ef7/CRIID2020-1754231.001.jpg

文献检索

告别复杂PubMed语法,用中文像聊天一样搜索,搜遍4000万医学文献。AI智能推荐,让科研检索更轻松。

立即免费搜索

文件翻译

保留排版,准确专业,支持PDF/Word/PPT等文件格式,支持 12+语言互译。

免费翻译文档

深度研究

AI帮你快速写综述,25分钟生成高质量综述,智能提取关键信息,辅助科研写作。

立即免费体验