• 文献检索
  • 文档翻译
  • 深度研究
  • 学术资讯
  • Suppr Zotero 插件Zotero 插件
  • 邀请有礼
  • 套餐&价格
  • 历史记录
应用&插件
Suppr Zotero 插件Zotero 插件浏览器插件Mac 客户端Windows 客户端微信小程序
定价
高级版会员购买积分包购买API积分包
服务
文献检索文档翻译深度研究API 文档MCP 服务
关于我们
关于 Suppr公司介绍联系我们用户协议隐私条款
关注我们

Suppr 超能文献

核心技术专利:CN118964589B侵权必究
粤ICP备2023148730 号-1Suppr @ 2026

文献检索

告别复杂PubMed语法,用中文像聊天一样搜索,搜遍4000万医学文献。AI智能推荐,让科研检索更轻松。

立即免费搜索

文件翻译

保留排版,准确专业,支持PDF/Word/PPT等文件格式,支持 12+语言互译。

免费翻译文档

深度研究

AI帮你快速写综述,25分钟生成高质量综述,智能提取关键信息,辅助科研写作。

立即免费体验

血管生成素-2 通过外泌体诱导人肝癌血管生成。

Angiopoietin-2 induces angiogenesis via exosomes in human hepatocellular carcinoma.

机构信息

Guangdong Provincial Key Laboratory of Malignant Tumor Epigenetics and Gene Regulation, Sun Yat-Sen Memorial Hospital, Sun Yat-sen University, Guangzhou, 510120, China.

Department of Hepatobiliary Surgery, Sun Yat-sen Memorial Hospital, Sun Yat-sen University, Guangzhou, 510120, China.

出版信息

Cell Commun Signal. 2020 Mar 17;18(1):46. doi: 10.1186/s12964-020-00535-8.

DOI:10.1186/s12964-020-00535-8
PMID:32183816
原文链接:https://pmc.ncbi.nlm.nih.gov/articles/PMC7077328/
Abstract

BACKGROUND

Hepatocellular carcinoma (HCC) is the most common primary liver cancer and is a highly vascularized solid tumor. Angiopoietin-2 (ANGPT2) has been described as an attractive target for antiangiogenic therapy. Exosomes are small extracellular vesicles secreted by most cell types and contribute to cell-to-cell communication by delivering functional cargo to recipient cells. The expression of ANGPT2 in tumor-derived exosomes remains unknown.

METHODS

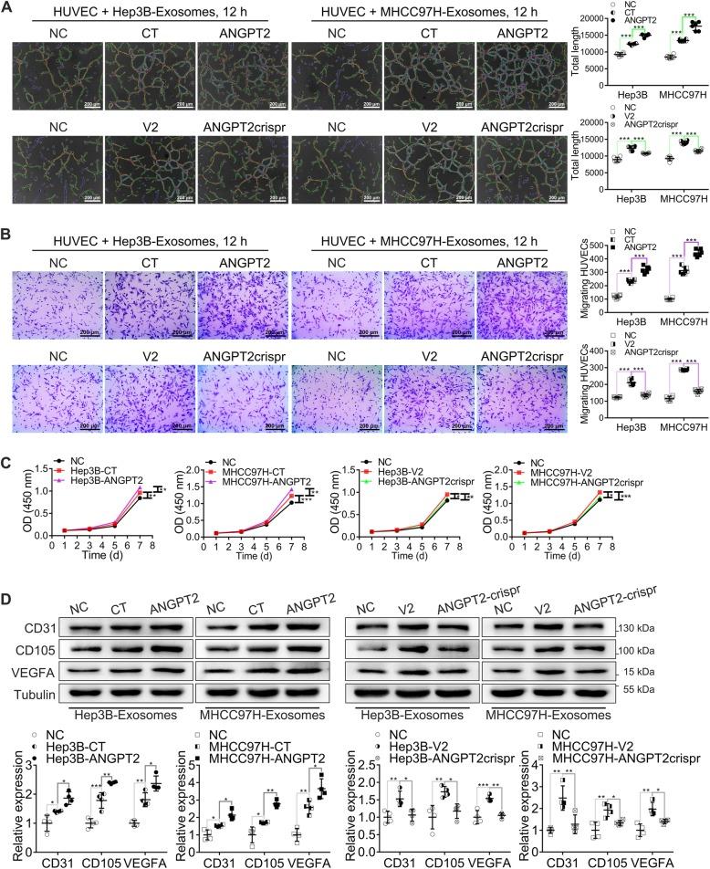
We detected the ANGPT2 expression in HCC-derived exosomes by immunoblotting, enzyme-linked immunosorbent assay and immunogold labeling, then observed exosomal ANGPT2 internalization and recycling by confocal laser scanning microscopy, co-immunoprecipitation and immunoblotting. We used two HCC cell lines (Hep3B and MHCC97H) to overexpress ANGPT2 by lentivirus infection or knockdown ANGPT2 by the CRISPR/Cas system, then isolated exosomes to coculture with human umbilical vein endothelial cells (HUVECs) and observed the angiogenesis by Matrigel microtubule formation assay, transwell migration assay, wound healing assay, cell counting kit-8 assay, immunoblotting and in vivo tumorigenesis assay.

RESULTS

We found that HCC-derived exosomes carried ANGPT2 and delivered it into HUVECs by exosome endocytosis, this delivery led to a notable increase in angiogenesis by a Tie2-independent pathway. Concomitantly, we observed that HCC cell-secreted exosomal ANGPT2 was recycled by recipient HUVECs and might be reused. In addition, the CRISPR-Cas systems to knock down ANGPT2 significantly inhibited the angiogenesis induced by HCC cell-secreted exosomal ANGPT2, and obviously suppressed the epithelial-mesenchymal transition activation in HCC.

CONCLUSIONS

Taken together, these results reveal a novel pathway of tumor angiogenesis induced by HCC cell-secreted exosomal ANGPT2 that is different from the classic ANGPT2/Tie2 pathway. This way may be a potential therapeutic target for antiangiogenic therapy. Video Abstract.

摘要

背景

肝细胞癌(HCC)是最常见的原发性肝癌,是一种高度血管化的实体肿瘤。血管生成素-2(ANGPT2)已被描述为抗血管生成治疗的一个有吸引力的靶点。外泌体是大多数细胞类型分泌的小细胞外囊泡,通过将功能性货物递送到受体细胞来促进细胞间通讯。肿瘤来源的外泌体中 ANGPT2 的表达尚不清楚。

方法

我们通过免疫印迹、酶联免疫吸附试验和免疫金标记检测 HCC 衍生的外泌体中的 ANGPT2 表达,然后通过共焦激光扫描显微镜、共免疫沉淀和免疫印迹观察外泌体 ANGPT2 的内化和再循环。我们使用两种 HCC 细胞系(Hep3B 和 MHCC97H)通过慢病毒感染过表达 ANGPT2 或通过 CRISPR/Cas 系统敲低 ANGPT2,然后分离外泌体与人脐静脉内皮细胞(HUVEC)共培养,并通过 Matrigel 微管形成试验、Transwell 迁移试验、划痕愈合试验、细胞计数试剂盒-8 试验、免疫印迹和体内肿瘤发生试验观察血管生成。

结果

我们发现 HCC 衍生的外泌体携带 ANGPT2,并通过外泌体内吞作用将其递送到 HUVEC 中,这种递呈通过非 Tie2 依赖性途径显著增加了血管生成。同时,我们观察到 HCC 细胞分泌的外泌体 ANGPT2 被受体 HUVEC 再循环,并可能被再利用。此外,CRISPR-Cas 系统敲低 ANGPT2 显著抑制了 HCC 细胞分泌的外泌体 ANGPT2 诱导的血管生成,并明显抑制了 HCC 中的上皮间质转化激活。

结论

总之,这些结果揭示了 HCC 细胞分泌的外泌体 ANGPT2 诱导肿瘤血管生成的一种新途径,不同于经典的 ANGPT2/Tie2 途径。这种方式可能是抗血管生成治疗的一个潜在治疗靶点。

https://cdn.ncbi.nlm.nih.gov/pmc/blobs/6039/7077328/ddc0ba35782d/12964_2020_535_Fig6_HTML.jpg
https://cdn.ncbi.nlm.nih.gov/pmc/blobs/6039/7077328/ec2262614a6f/12964_2020_535_Fig1_HTML.jpg
https://cdn.ncbi.nlm.nih.gov/pmc/blobs/6039/7077328/41402c81d622/12964_2020_535_Fig2_HTML.jpg
https://cdn.ncbi.nlm.nih.gov/pmc/blobs/6039/7077328/a1a23d630bd0/12964_2020_535_Fig3_HTML.jpg
https://cdn.ncbi.nlm.nih.gov/pmc/blobs/6039/7077328/b86be080494c/12964_2020_535_Fig4_HTML.jpg
https://cdn.ncbi.nlm.nih.gov/pmc/blobs/6039/7077328/e8b288466b57/12964_2020_535_Fig5_HTML.jpg
https://cdn.ncbi.nlm.nih.gov/pmc/blobs/6039/7077328/ddc0ba35782d/12964_2020_535_Fig6_HTML.jpg
https://cdn.ncbi.nlm.nih.gov/pmc/blobs/6039/7077328/ec2262614a6f/12964_2020_535_Fig1_HTML.jpg
https://cdn.ncbi.nlm.nih.gov/pmc/blobs/6039/7077328/41402c81d622/12964_2020_535_Fig2_HTML.jpg
https://cdn.ncbi.nlm.nih.gov/pmc/blobs/6039/7077328/a1a23d630bd0/12964_2020_535_Fig3_HTML.jpg
https://cdn.ncbi.nlm.nih.gov/pmc/blobs/6039/7077328/b86be080494c/12964_2020_535_Fig4_HTML.jpg
https://cdn.ncbi.nlm.nih.gov/pmc/blobs/6039/7077328/e8b288466b57/12964_2020_535_Fig5_HTML.jpg
https://cdn.ncbi.nlm.nih.gov/pmc/blobs/6039/7077328/ddc0ba35782d/12964_2020_535_Fig6_HTML.jpg

相似文献

1
Angiopoietin-2 induces angiogenesis via exosomes in human hepatocellular carcinoma.血管生成素-2 通过外泌体诱导人肝癌血管生成。
Cell Commun Signal. 2020 Mar 17;18(1):46. doi: 10.1186/s12964-020-00535-8.
2
Exosomal miR-155 Derived from Hepatocellular Carcinoma Cells Under Hypoxia Promotes Angiogenesis in Endothelial Cells.低氧状态下肝癌细胞来源的外泌体 miR-155 促进血管内皮细胞血管生成。
Dig Dis Sci. 2019 Mar;64(3):792-802. doi: 10.1007/s10620-018-5380-1. Epub 2018 Nov 22.
3
HCC-derived exosomes elicit HCC progression and recurrence by epithelial-mesenchymal transition through MAPK/ERK signalling pathway.肝癌来源的外泌体通过 MAPK/ERK 信号通路诱导上皮-间充质转化促进肝癌进展和复发。
Cell Death Dis. 2018 May 1;9(5):513. doi: 10.1038/s41419-018-0534-9.
4
Exosome-mediated secretion of LOXL4 promotes hepatocellular carcinoma cell invasion and metastasis.外泌体介导的 LOXL4 分泌促进肝癌细胞侵袭和转移。
Mol Cancer. 2019 Jan 31;18(1):18. doi: 10.1186/s12943-019-0948-8.
5
MYBL1 induces transcriptional activation of ANGPT2 to promote tumor angiogenesis and confer sorafenib resistance in human hepatocellular carcinoma.MYBL1 诱导 ANGPT2 的转录激活,促进人肝癌血管生成,并赋予索拉非尼耐药性。
Cell Death Dis. 2022 Aug 20;13(8):727. doi: 10.1038/s41419-022-05180-2.
6
Down-regulation of exosomal miR-106b-5p derived from cholesteatoma perimatrix fibroblasts promotes angiogenesis in endothelial cells by overexpression of Angiopoietin 2.胆脂瘤基质成纤维细胞来源的外泌体 miR-106b-5p 下调通过过表达血管生成素 2 促进内皮细胞血管生成。
Cell Biol Int. 2018 Sep;42(10):1300-1310. doi: 10.1002/cbin.11002. Epub 2018 Jun 29.
7
Exosomal circRNA-100338 promotes hepatocellular carcinoma metastasis via enhancing invasiveness and angiogenesis.外泌体 circRNA-100338 通过增强侵袭性和血管生成促进肝细胞癌转移。
J Exp Clin Cancer Res. 2020 Jan 23;39(1):20. doi: 10.1186/s13046-020-1529-9.
8
Fatty acid binding protein 5 promotes tumor angiogenesis and activates the IL6/STAT3/VEGFA pathway in hepatocellular carcinoma.脂肪酸结合蛋白 5 促进肝癌血管生成,并激活 IL6/STAT3/VEGFA 通路。
Biomed Pharmacother. 2018 Oct;106:68-76. doi: 10.1016/j.biopha.2018.06.040. Epub 2018 Jun 26.
9
Downregulation of exosomal CLEC3B in hepatocellular carcinoma promotes metastasis and angiogenesis via AMPK and VEGF signals.下调肝癌细胞外体 CLEC3B 通过 AMPK 和 VEGF 信号促进转移和血管生成。
Cell Commun Signal. 2019 Sep 2;17(1):113. doi: 10.1186/s12964-019-0423-6.
10
Acidic Microenvironment Up-Regulates Exosomal miR-21 and miR-10b in Early-Stage Hepatocellular Carcinoma to Promote Cancer Cell Proliferation and Metastasis.酸性微环境上调早期肝细胞癌中细胞外体 miR-21 和 miR-10b,促进癌细胞增殖和转移。
Theranostics. 2019 Mar 16;9(7):1965-1979. doi: 10.7150/thno.30958. eCollection 2019.

引用本文的文献

1
PKM2 regulates angiogenic activation via ANGPT2 in endothelial cells.丙酮酸激酶M2通过血管生成素2调节内皮细胞中的血管生成激活。
Sci Rep. 2025 Aug 26;15(1):31448. doi: 10.1038/s41598-025-17147-2.
2
Understanding the role of vascular stretch on modulation of VWF and ANGPT-2 in continuous flow left ventricular assist device (CF-VAD) patients.了解血管牵张对持续血流左心室辅助装置(CF-VAD)患者中血管性血友病因子(VWF)和血管生成素-2(ANGPT-2)调节的作用。
Lab Chip. 2025 May 2. doi: 10.1039/d4lc01065e.
3
DOCK9 as a predictive biomarker linked to angiogenesis and immune response in esophageal squamous cell carcinoma.

本文引用的文献

1
New Insight into Therapies Targeting Angiogenesis in Hepatocellular Carcinoma.肝细胞癌中血管生成靶向治疗的新见解
Cancers (Basel). 2019 Jul 31;11(8):1086. doi: 10.3390/cancers11081086.
2
Exosome-mediated communication in the tumor microenvironment contributes to hepatocellular carcinoma development and progression.外泌体介导的肿瘤微环境通讯促进肝癌的发生和发展。
J Hematol Oncol. 2019 May 29;12(1):53. doi: 10.1186/s13045-019-0739-0.
3
Role of Angiopoietin-2 in Vascular Physiology and Pathophysiology.血管生成素-2 在血管生理学和病理生理学中的作用。
DOCK9作为一种与食管鳞状细胞癌血管生成和免疫反应相关的预测性生物标志物。
Clin Exp Med. 2025 Apr 24;25(1):126. doi: 10.1007/s10238-025-01653-8.
4
Plasma proteomic biomarkers predict therapeutic responses in advanced biliary tract cancer patients receiving Camrelizumab plus the GEMOX treatment.血浆蛋白质组学生物标志物可预测晚期胆管癌患者接受卡瑞利珠单抗联合GEMOX治疗时的治疗反应。
NPJ Precis Oncol. 2025 Apr 7;9(1):102. doi: 10.1038/s41698-025-00879-9.
5
Extracellular Vesicle-Associated Angiopoietin-2 and Cell Migration-Inducing Protein in Lung Cancer Progression and Brain Metastases.细胞外囊泡相关血管生成素-2和细胞迁移诱导蛋白在肺癌进展和脑转移中的作用
Cureus. 2025 Mar 7;17(3):e80200. doi: 10.7759/cureus.80200. eCollection 2025 Mar.
6
Plasma angiopoietin 2 as a novel prognostic biomarker in alcohol-related cirrhosis and hepatitis.血浆血管生成素2作为酒精性肝硬化和肝炎的一种新型预后生物标志物。
Liver Res. 2022 Feb 3;6(1):21-29. doi: 10.1016/j.livres.2022.01.003. eCollection 2022 Mar.
7
HSPG2 could promote normal haematopoiesis in acute myeloid leukaemia patients after complete remission by repairing bone marrow endothelial progenitor cells.硫酸乙酰肝素蛋白聚糖2(HSPG2)可通过修复骨髓内皮祖细胞促进急性髓系白血病患者完全缓解后的正常造血。
Clin Transl Med. 2025 Feb;15(2):e70220. doi: 10.1002/ctm2.70220.
8
Cervicovaginal lavages uncover growth factors as key biomarkers for early diagnosis and prognosis of endometrial cancer.宫颈阴道灌洗术揭示了生长因子作为子宫内膜癌早期诊断和预后的关键生物标志物。
Mol Biomed. 2024 Nov 8;5(1):55. doi: 10.1186/s43556-024-00219-6.
9
Exosomal circPTPRK promotes angiogenesis after radiofrequency ablation in hepatocellular carcinoma.外泌体 circPTPRK 促进肝癌射频消融后血管生成。
Exp Biol Med (Maywood). 2024 Oct 14;249:10084. doi: 10.3389/ebm.2024.10084. eCollection 2024.
10
Exosomes Derived from Bone Marrow Dendritic Cells Exhibit Protective and Therapeutic Potential Against Chemically Induced Chronic Pancreatitis in Rats.源自骨髓树突状细胞的外泌体对大鼠化学诱导的慢性胰腺炎具有保护和治疗潜力。
Inflammation. 2024 Oct 19. doi: 10.1007/s10753-024-02150-y.
Cells. 2019 May 17;8(5):471. doi: 10.3390/cells8050471.
4
Pro-Angiogenic Actions of CMC-Derived Extracellular Vesicles Rely on Selective Packaging of Angiopoietin 1 and 2, but Not FGF-2 and VEGF.CMC 衍生细胞外囊泡的促血管生成作用依赖于血管生成素 1 和 2 的选择性包装,但不依赖于 FGF-2 和 VEGF。
Stem Cell Rev Rep. 2019 Aug;15(4):530-542. doi: 10.1007/s12015-019-09891-6.
5
Exosomes: composition, biogenesis, and mechanisms in cancer metastasis and drug resistance.外泌体:在癌症转移和耐药中的组成、发生机制和作用。
Mol Cancer. 2019 Apr 2;18(1):75. doi: 10.1186/s12943-019-0991-5.
6
Vessel co-option in cancer.血管生成拟态在癌症中的作用
Nat Rev Clin Oncol. 2019 Aug;16(8):469-493. doi: 10.1038/s41571-019-0181-9.
7
Exosome-mediated secretion of LOXL4 promotes hepatocellular carcinoma cell invasion and metastasis.外泌体介导的 LOXL4 分泌促进肝癌细胞侵袭和转移。
Mol Cancer. 2019 Jan 31;18(1):18. doi: 10.1186/s12943-019-0948-8.
8
Extracellular Vesicles in Hepatobiliary Malignancies.细胞外囊泡在肝胆恶性肿瘤中的作用。
Front Immunol. 2018 Oct 12;9:2270. doi: 10.3389/fimmu.2018.02270. eCollection 2018.
9
Epidemiology and Management of Hepatocellular Carcinoma.原发性肝癌的流行病学和管理。
Gastroenterology. 2019 Jan;156(2):477-491.e1. doi: 10.1053/j.gastro.2018.08.065. Epub 2018 Oct 24.
10
The Role of Angiogenesis in Hepatocellular Carcinoma.血管生成在肝细胞癌中的作用。
Clin Cancer Res. 2019 Feb 1;25(3):912-920. doi: 10.1158/1078-0432.CCR-18-1254. Epub 2018 Oct 1.