• 文献检索
  • 文档翻译
  • 深度研究
  • 学术资讯
  • Suppr Zotero 插件Zotero 插件
  • 邀请有礼
  • 套餐&价格
  • 历史记录
应用&插件
Suppr Zotero 插件Zotero 插件浏览器插件Mac 客户端Windows 客户端微信小程序
定价
高级版会员购买积分包购买API积分包
服务
文献检索文档翻译深度研究API 文档MCP 服务
关于我们
关于 Suppr公司介绍联系我们用户协议隐私条款
关注我们

Suppr 超能文献

核心技术专利:CN118964589B侵权必究
粤ICP备2023148730 号-1Suppr @ 2026

文献检索

告别复杂PubMed语法,用中文像聊天一样搜索,搜遍4000万医学文献。AI智能推荐,让科研检索更轻松。

立即免费搜索

文件翻译

保留排版,准确专业,支持PDF/Word/PPT等文件格式,支持 12+语言互译。

免费翻译文档

深度研究

AI帮你快速写综述,25分钟生成高质量综述,智能提取关键信息,辅助科研写作。

立即免费体验

寡转移口咽癌的放射治疗

Radiation therapy for oligometastatic oropharyngeal cancer.

作者信息

Martini Stefania, Arcadipane Francesca, Franco Pierfrancesco, Iorio Giuseppe C, Bartoncini Sara, Gallio Elena, Guarneri Alessia S, Ricardi Umberto

机构信息

Department of Oncology, Radiation Oncology, University of Turin, Turin, Italy.

Department of Oncology, Radiation Oncology, A.O.U Citta' della Salute e della Scienza, Turin, Italy.

出版信息

BJR Case Rep. 2020 Feb 12;6(1):20190021. doi: 10.1259/bjrcr.20190021. eCollection 2020 Mar.

DOI:10.1259/bjrcr.20190021
PMID:32201599
原文链接:https://pmc.ncbi.nlm.nih.gov/articles/PMC7068095/
Abstract

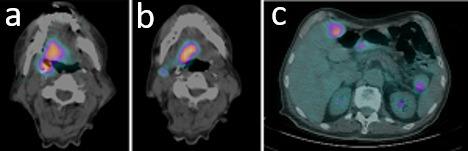
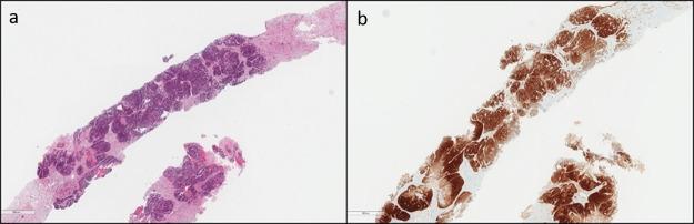
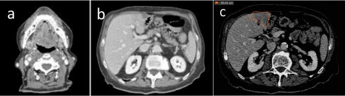
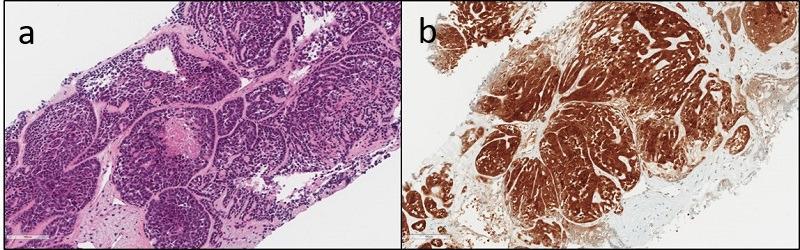
At presentation, isolated metastasis from oropharyngeal squamous cell carcinoma is rare. Liver is a relatively uncommon first site of failure, especially in the absence of other distant metastases, particularly without diagnosis of lung metastases. We report on a case of HPV-related oropharyngeal squamous cell carcinoma with synchronous liver metastasis treated with radiation therapy. This condition, defined as "oligometastatic state," describes a subset of patients with limited volume metastatic disease in whom favorable outcomes were reported with the use of local ablative therapies on both the primary tumor and metastatic sites. As a definitive treatment, we offered the patient, ineligible for other therapeutic approaches, exclusive radiation treatment on the head and neck region and a stereotactic ablative approach targeted to the liver metastasis.

摘要

就诊时,口咽鳞状细胞癌的孤立性转移很少见。肝脏是相对不常见的首个失败部位,尤其是在没有其他远处转移的情况下,特别是未诊断出肺转移时。我们报告了1例接受放射治疗的HPV相关口咽鳞状细胞癌伴同步肝转移的病例。这种情况被定义为“寡转移状态”,描述了一组转移病灶体积有限的患者,据报道,对这些患者的原发肿瘤和转移部位采用局部消融治疗可取得良好疗效。作为确定性治疗,我们为不符合其他治疗方法条件的患者提供了针对头颈部区域的单纯放射治疗以及针对肝转移的立体定向消融治疗。

https://cdn.ncbi.nlm.nih.gov/pmc/blobs/6e63/7068095/ed127c255f06/bjrcr.20190021.g008.jpg
https://cdn.ncbi.nlm.nih.gov/pmc/blobs/6e63/7068095/35efde228add/bjrcr.20190021.g001.jpg
https://cdn.ncbi.nlm.nih.gov/pmc/blobs/6e63/7068095/6d73c86d5c23/bjrcr.20190021.g002.jpg
https://cdn.ncbi.nlm.nih.gov/pmc/blobs/6e63/7068095/c88fe744b267/bjrcr.20190021.g003.jpg
https://cdn.ncbi.nlm.nih.gov/pmc/blobs/6e63/7068095/a1c9e14560ff/bjrcr.20190021.g004.jpg
https://cdn.ncbi.nlm.nih.gov/pmc/blobs/6e63/7068095/7c2331225165/bjrcr.20190021.g005.jpg
https://cdn.ncbi.nlm.nih.gov/pmc/blobs/6e63/7068095/e98c461db37e/bjrcr.20190021.g006.jpg
https://cdn.ncbi.nlm.nih.gov/pmc/blobs/6e63/7068095/516150fe80b5/bjrcr.20190021.g007.jpg
https://cdn.ncbi.nlm.nih.gov/pmc/blobs/6e63/7068095/ed127c255f06/bjrcr.20190021.g008.jpg
https://cdn.ncbi.nlm.nih.gov/pmc/blobs/6e63/7068095/35efde228add/bjrcr.20190021.g001.jpg
https://cdn.ncbi.nlm.nih.gov/pmc/blobs/6e63/7068095/6d73c86d5c23/bjrcr.20190021.g002.jpg
https://cdn.ncbi.nlm.nih.gov/pmc/blobs/6e63/7068095/c88fe744b267/bjrcr.20190021.g003.jpg
https://cdn.ncbi.nlm.nih.gov/pmc/blobs/6e63/7068095/a1c9e14560ff/bjrcr.20190021.g004.jpg
https://cdn.ncbi.nlm.nih.gov/pmc/blobs/6e63/7068095/7c2331225165/bjrcr.20190021.g005.jpg
https://cdn.ncbi.nlm.nih.gov/pmc/blobs/6e63/7068095/e98c461db37e/bjrcr.20190021.g006.jpg
https://cdn.ncbi.nlm.nih.gov/pmc/blobs/6e63/7068095/516150fe80b5/bjrcr.20190021.g007.jpg
https://cdn.ncbi.nlm.nih.gov/pmc/blobs/6e63/7068095/ed127c255f06/bjrcr.20190021.g008.jpg

相似文献

1
Radiation therapy for oligometastatic oropharyngeal cancer.寡转移口咽癌的放射治疗
BJR Case Rep. 2020 Feb 12;6(1):20190021. doi: 10.1259/bjrcr.20190021. eCollection 2020 Mar.
2
Effect of human papillomavirus on patterns of distant metastatic failure in oropharyngeal squamous cell carcinoma treated with chemoradiotherapy.人乳头瘤病毒对接受放化疗的口咽鳞状细胞癌远处转移失败模式的影响。
JAMA Otolaryngol Head Neck Surg. 2015 May 1;141(5):457-62. doi: 10.1001/jamaoto.2015.136.
3
Ablative Therapy for Oligometastatic Non-Small Cell Lung Cancer.寡转移非小细胞肺癌的消融治疗。
Clin Lung Cancer. 2017 Nov;18(6):595-606. doi: 10.1016/j.cllc.2017.03.002. Epub 2017 Mar 14.
4
A Case of Metastatic Head and Neck Squamous Cell Carcinoma with Multiple Treatments Including Stereotactic Ablative Body Radiotherapy Alone for Oligometastases to the Parotid Gland.一例转移性头颈部鳞状细胞癌的病例,接受了多种治疗,包括仅对腮腺寡转移灶进行立体定向消融体部放疗。
Cureus. 2015 Dec 28;7(12):e438. doi: 10.7759/cureus.438.
5
Cavernous sinus involvement in human papillomavirus associated oropharyngeal squamous cell carcinoma: case report of an atypical site of distant metastasis.人乳头瘤病毒相关性口咽鳞状细胞癌累及海绵窦:远处转移非典型部位的病例报告。
J Otolaryngol Head Neck Surg. 2018 May 9;47(1):32. doi: 10.1186/s40463-018-0280-0.
6
Lung Metastases Treated With Stereotactic Ablative Radiation Therapy in Oligometastatic Colorectal Cancer Patients: Outcomes and Prognostic Factors After Long-Term Follow-Up.立体定向消融放疗治疗寡转移结直肠癌患者的肺转移:长期随访后的结果和预后因素
Clin Colorectal Cancer. 2017 Mar;16(1):58-64. doi: 10.1016/j.clcc.2016.07.004. Epub 2016 Jul 18.
7
Oligometastatic Disease Management: Finding the Sweet Spot.寡转移疾病管理:寻找最佳平衡点。
Front Oncol. 2020 Dec 22;10:617793. doi: 10.3389/fonc.2020.617793. eCollection 2020.
8
Stereotactic Ablative Body Radiotherapy (SABR) in Pulmonary Oligometastatic/Oligorecurrent Non-small Cell Lung Cancer Patients: A New Therapeutic Approach.立体定向消融放疗(SABR)用于肺部寡转移/寡复发非小细胞肺癌患者:一种新的治疗方法。
Anticancer Res. 2015 Nov;35(11):6239-45.
9
Oligometastasis in Head and Neck Squamous Cell Carcinoma.头颈部鳞状细胞癌寡转移。
Int J Radiat Oncol Biol Phys. 2022 Nov 15;114(4):803-811. doi: 10.1016/j.ijrobp.2022.06.086. Epub 2022 Jul 4.
10
Changing equipoise in the landscape of radiation for oligometastatic lung cancer.寡转移性肺癌放疗格局中的平衡变化
Transl Lung Cancer Res. 2019 Sep;8(Suppl 2):S184-S191. doi: 10.21037/tlcr.2019.07.09.

引用本文的文献

1
Fibroblast Growth Factor Receptor (FGFR) Alterations in HPV Oropharyngeal Cancers.人乳头瘤病毒口咽癌中的成纤维细胞生长因子受体(FGFR)改变。
J Med Virol. 2024 Nov;96(11):e70086. doi: 10.1002/jmv.70086.
2
Curative intent Stereotactic Ablative Radiation Therapy (SABR) for treatment of lung oligometastases from head and neck squamous cell carcinoma (HNSCC): a multi-institutional retrospective study.立体定向消融放疗(SABR)治疗头颈部鳞状细胞癌(HNSCC)寡转移肺部病灶的疗效:一项多机构回顾性研究。
Br J Radiol. 2022 May 1;95(1133):20210033. doi: 10.1259/bjr.20210033. Epub 2022 Feb 22.

本文引用的文献

1
Stereotactic ablative radiotherapy versus standard of care palliative treatment in patients with oligometastatic cancers (SABR-COMET): a randomised, phase 2, open-label trial.寡转移癌症患者立体定向消融放疗与标准姑息治疗的比较(SABR-COMET):一项随机、2 期、开放标签试验。
Lancet. 2019 May 18;393(10185):2051-2058. doi: 10.1016/S0140-6736(18)32487-5. Epub 2019 Apr 11.
2
Radiotherapy plus cetuximab or cisplatin in human papillomavirus-positive oropharyngeal cancer (NRG Oncology RTOG 1016): a randomised, multicentre, non-inferiority trial.放疗联合西妥昔单抗或顺铂治疗人乳头瘤病毒阳性口咽癌(NRG 肿瘤学 RTOG 1016):一项随机、多中心、非劣效性试验。
Lancet. 2019 Jan 5;393(10166):40-50. doi: 10.1016/S0140-6736(18)32779-X. Epub 2018 Nov 15.
3
Radiotherapy plus cisplatin or cetuximab in low-risk human papillomavirus-positive oropharyngeal cancer (De-ESCALaTE HPV): an open-label randomised controlled phase 3 trial.放疗联合顺铂或西妥昔单抗治疗低危型人乳头瘤病毒阳性口咽癌(De-ESCALaTE HPV):一项开放标签随机对照 3 期临床试验。
Lancet. 2019 Jan 5;393(10166):51-60. doi: 10.1016/S0140-6736(18)32752-1. Epub 2018 Nov 15.
4
De-escalation treatment of human papillomavirus-positive oropharyngeal squamous cell carcinoma: an evidence-based review for the locally advanced disease.人乳头瘤病毒阳性口咽鳞状细胞癌的降阶梯治疗:局部晚期疾病的循证综述。
Curr Opin Oncol. 2018 May;30(3):146-151. doi: 10.1097/CCO.0000000000000441.
5
Incidence of human papillomavirus positive tonsillar and base of tongue carcinoma: a stabilisation of an epidemic of viral induced carcinoma?人乳头瘤病毒阳性扁桃体和舌底癌的发病率:病毒诱导的癌流行是否稳定?
Eur J Cancer. 2015 Jan;51(1):55-61. doi: 10.1016/j.ejca.2014.10.016. Epub 2014 Nov 6.
6
Role of human papillomavirus and p16 staining in a patient with head and neck cancer presenting with a synchronous lung nodule: a case report and review of the literature.人乳头瘤病毒和p16染色在一名伴有同步肺结节的头颈癌患者中的作用:病例报告及文献复习
J Clin Oncol. 2015 Jan 20;33(3):e13-5. doi: 10.1200/JCO.2013.50.0231. Epub 2014 Mar 3.
7
Local ablative treatments of oligometastases from head and neck carcinomas.头颈部癌寡转移灶的局部消融治疗。
Crit Rev Oncol Hematol. 2014 Jul;91(1):47-63. doi: 10.1016/j.critrevonc.2014.01.004. Epub 2014 Jan 23.
8
Natural course of distant metastases following radiotherapy or chemoradiotherapy in HPV-related oropharyngeal cancer.HPV 相关口咽癌放疗或放化疗后远处转移的自然病程。
Oral Oncol. 2013 Jan;49(1):79-85. doi: 10.1016/j.oraloncology.2012.07.015. Epub 2012 Aug 20.
9
Normal liver tissue density dose response in patients treated with stereotactic body radiation therapy for liver metastases.立体定向体部放射治疗肝转移瘤患者正常肝组织密度剂量反应。
Int J Radiat Oncol Biol Phys. 2012 Nov 1;84(3):e441-6. doi: 10.1016/j.ijrobp.2012.04.041. Epub 2012 Jun 9.
10
A diagnostic paradigm for resectable liver lesions: to biopsy or not to biopsy?可切除肝病变的诊断模式:活检还是不活检?
HPB (Oxford). 2009 Nov;11(7):533-40. doi: 10.1111/j.1477-2574.2009.00081.x.