Suppr超能文献

2019 年冠状病毒病(COVID-19)的影像学特征:薄层 CT 评估。

Imaging Features of Coronavirus disease 2019 (COVID-19): Evaluation on Thin-Section CT.

机构信息

Department of Radiology, Beijing Ditan Hospital, Capital Medical University, No. 8 Jingshun East Street, Chaoyang District, Beijing, China.

Department of Radiology, Beijing Ditan Hospital, Capital Medical University, No. 8 Jingshun East Street, Chaoyang District, Beijing, China.

出版信息

Acad Radiol. 2020 May;27(5):609-613. doi: 10.1016/j.acra.2020.03.002. Epub 2020 Mar 20.

Abstract

RATIONALE AND OBJECTIVES

To retrospectively analyze the chest imaging findings in patients with coronavirus disease 2019 (COVID-19) on thin-section CT.

MATERIALS AND METHODS

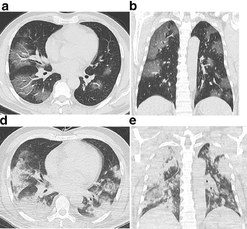
Fifty-three patients with confirmed COVID-19 infection underwent thin-section CT examination. Two chest radiologists independently evaluated the imaging in terms of distribution, ground-glass opacity (GGO), consolidation, air bronchogram, stripe, enlarged mediastinal lymph node, and pleural effusion.

RESULTS

Fourty-seven cases (88.7%) had findings of COVID-19 infection, and the other six (11.3%) were normal. Among the 47 cases, 78.7% involved both lungs, and 93.6% had peripheral infiltrates distributed along the subpleural area. All cases showed GGO, 59.6% of which were round and 40.4% patchy. Other imaging features included "crazy-paving pattern" (89.4%), consolidation (63.8%), and air bronchogram (76.6%). Air bronchograms were observed within GGO (61.7%) and consolidation (70.3%). Neither enlarged mediastinal lymph nodes nor pleural effusion were present. Thirty-three patients (62.3%) were followed an average interval of 6.2 ± 2.9 days. The lesions increased in 75.8% and resorbed in 24.2% of patients.

CONCLUSION

COVID-19 showed the pulmonary lesions in patients infected with COVID-19 were predominantly distributed peripherally in the subpleural area.

摘要

目的

回顾性分析 2019 年冠状病毒病(COVID-19)患者的薄层 CT 胸部影像学表现。

材料与方法

对 53 例确诊为 COVID-19 感染的患者进行了薄层 CT 检查。两名胸部放射科医生独立评估了分布、磨玻璃密度影(GGO)、实变、空气支气管征、条纹、纵隔淋巴结肿大和胸腔积液等影像学表现。

结果

47 例(88.7%)有 COVID-19 感染的影像学表现,6 例(11.3%)正常。在 47 例患者中,78.7%的患者累及双肺,93.6%的患者有沿胸膜下区域分布的外周浸润。所有病例均显示 GGO,59.6%为圆形,40.4%为斑片状。其他影像学特征包括“铺路石征”(89.4%)、实变(63.8%)和空气支气管征(76.6%)。空气支气管征见于 GGO(61.7%)和实变(70.3%)内。未见纵隔淋巴结肿大或胸腔积液。33 例患者(62.3%)平均随访 6.2±2.9 天。75.8%的病变增大,24.2%的病变吸收。

结论

COVID-19 患者的肺部病变主要分布在胸膜下区的外周。

https://cdn.ncbi.nlm.nih.gov/pmc/blobs/2ce5/7156158/acc908c9fb2f/gr1_lrg.jpg

文献AI研究员

20分钟写一篇综述,助力文献阅读效率提升50倍。

立即体验

用中文搜PubMed

大模型驱动的PubMed中文搜索引擎

马上搜索

文档翻译

学术文献翻译模型,支持多种主流文档格式。

立即体验