Suppr超能文献

眼眶假瘤作为一名男童克罗恩病的首发症状。

Orbital pseudotumor as the presenting symptom of Crohn's disease in a male child.

作者信息

Ishihara Rhys, Jain Samiksha Fouzdar, Perry Deborah, Reinhardt Adam, Suh Donny, Legge Richard

机构信息

Creighton University, 2500, California Plaza, Omaha, NE, USA.

Children's Hospital and Medical Center, 8200, Dodge St, Omaha, NE, USA.

出版信息

Am J Ophthalmol Case Rep. 2020 Mar 16;18:100669. doi: 10.1016/j.ajoc.2020.100669. eCollection 2020 Jun.

Abstract

PURPOSE

This report will describe a case of orbital pseudotumor that is associated with underlying Crohn's disease in a pediatric patient.

OBSERVATIONS

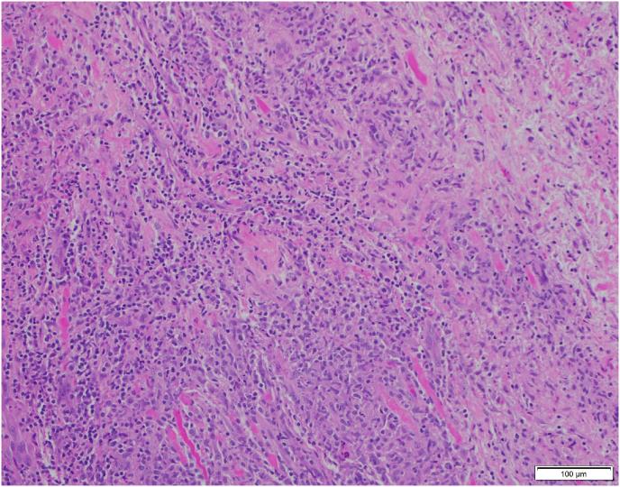
An 8-year-old male with a past medical history of chronic constipation who presented to the ophthalmologist in July 2017 with a 7-month history double vision, left upper lid ptosis, left abducens nerve palsy, and an abnormal thyroid test. The patient's family history was negative for any autoimmune disease including, juvenile idiopathic arthritis, rheumatoid arthritis, thyroid disease, type 1 diabetes mellitus or inflammatory bowel disease. Diagnosis of orbital pseudotumor of the left eye was made based on CT scan findings and he was then treated with a one-week course of oral prednisone. After resolution of his initial symptoms, he presented a month later with swelling in his left eye and was treated with a 6-month steroid taper with resolution of symptoms. In June 2018, the patient presented with swelling in his right eye and was treated with prednisone plus steroid sparing agents. Extraocular muscle biopsy was negative for IgG4 related disease, fungal infection, or malignant lymphoma and workup for sarcoidosis and granulomatosis with polyangiitis was unremarkable. In September 2018, the patient presented with bloody stools, diagnosed and treated for a perirectal abscess. Subsequent colonoscopy performed in January 2019 confirmed Crohn's disease. He is currently undergoing treatment with adalimumab and is in remission in terms of orbital pseudotumor.

CONCLUSION AND IMPORTANCE

In conclusion, although the association between orbital pseudotumor and Crohn's disease is very rare, medical professionals should remember this connection when a patient presents with idiopathic orbital pseudotumor. To rule out this possibility, we recommend a thorough history of GI findings should be taken on the initial patient encounter. Crohn's disease may be an underlying cause of certain cases of orbital pseudotumor, and treatment and control of the underlying Crohn's disease may help to reduce recurrence rates of orbital pseudotumor. Additional studies need to be performed to better understand the association between the two diseases.

摘要

目的

本报告将描述一例小儿患者眼眶假瘤合并潜在克罗恩病的病例。

观察结果

一名8岁男性,有慢性便秘病史,于2017年7月就诊于眼科医生,有7个月的复视、左上睑下垂、左侧外展神经麻痹及甲状腺检查异常病史。患者家族史中无任何自身免疫性疾病,包括幼年特发性关节炎、类风湿关节炎、甲状腺疾病、1型糖尿病或炎症性肠病。根据CT扫描结果诊断为左眼眼眶假瘤,随后接受了为期一周的口服泼尼松治疗。初始症状缓解后,一个月后他左眼肿胀,接受了为期6个月的类固醇逐渐减量治疗,症状得以缓解。2018年6月,患者右眼肿胀,接受了泼尼松加类固醇节约剂治疗。眼外肌活检未发现IgG4相关疾病、真菌感染或恶性淋巴瘤,结节病和显微镜下多血管炎的检查结果无异常。2018年9月,患者出现血便,诊断为直肠周围脓肿并接受治疗。2019年1月随后进行的结肠镜检查确诊为克罗恩病。他目前正在接受阿达木单抗治疗,眼眶假瘤处于缓解期。

结论及重要性

总之,尽管眼眶假瘤与克罗恩病之间的关联非常罕见,但当患者出现特发性眼眶假瘤时,医学专业人员应记住这种关联。为排除这种可能性,我们建议在初次接诊患者时应详细询问胃肠道检查结果。克罗恩病可能是某些眼眶假瘤病例的潜在病因,对潜在克罗恩病的治疗和控制可能有助于降低眼眶假瘤的复发率。需要进行更多研究以更好地理解这两种疾病之间的关联。

https://cdn.ncbi.nlm.nih.gov/pmc/blobs/ff47/7090333/0e32a6a68aea/gr1.jpg

文献检索

告别复杂PubMed语法,用中文像聊天一样搜索,搜遍4000万医学文献。AI智能推荐,让科研检索更轻松。

立即免费搜索

文件翻译

保留排版,准确专业,支持PDF/Word/PPT等文件格式,支持 12+语言互译。

免费翻译文档

深度研究

AI帮你快速写综述,25分钟生成高质量综述,智能提取关键信息,辅助科研写作。

立即免费体验