Suppr超能文献

单纯疱疹病毒性脑炎的恢复:特定语义类别的选择性损伤与神经放射学相关性

Recovery from herpes simplex encephalitis: selective impairment of specific semantic categories with neuroradiological correlation.

作者信息

Pietrini V, Nertempi P, Vaglia A, Revello M G, Pinna V, Ferro-Milone F

机构信息

Department of Neurology, Vicenza Hospital, Italy.

出版信息

J Neurol Neurosurg Psychiatry. 1988 Oct;51(10):1284-93. doi: 10.1136/jnnp.51.10.1284.

Abstract

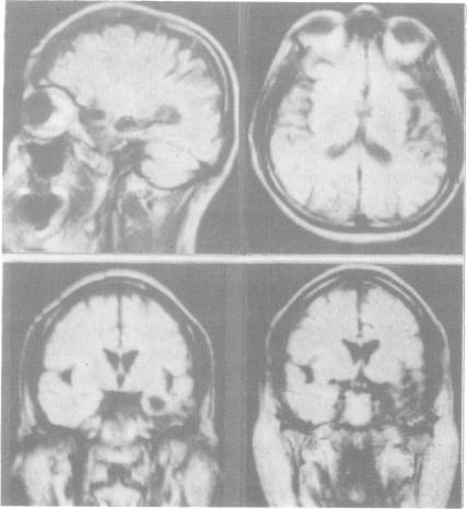
The clinical, neuropsychological and neuroradiological features of two patients affected by herpes simplex virus type 1 (HSV-1) encephalitis are described. An experimental study for the assessment of naming, recognition and description displayed in one patient a persistent significant impairment in naming living things. The other patient showed a failing "semantic memory" for the same categories, although a significant impairment emerged only for plants. In both patients, the late neuroradiological sequelae were localised mainly in the inferior and middle gyri of the left temporal lobe and in the left-side insula. In one patient, the right-side insula was also involved. The selective cerebral damage induced by HSV-1 is stressed and a correlation between the neuroradiological and neuropsychological findings is attempted. The stereotyped anatomical and neuropsychological changes lead to the belief that the virus may recognise, within the limbic system, particular cellular "strains" on the basis of their molecular specificity.

摘要

本文描述了两名感染1型单纯疱疹病毒(HSV-1)脑炎患者的临床、神经心理学和神经放射学特征。一项针对一名患者进行的命名、识别和描述能力评估的实验研究显示,该患者在命名生物方面存在持续的显著损伤。另一名患者在相同类别上表现出“语义记忆”衰退,尽管仅在植物方面出现了显著损伤。在两名患者中,晚期神经放射学后遗症主要定位于左颞叶的颞中回和颞下回以及左侧岛叶。在一名患者中,右侧岛叶也受到累及。强调了HSV-1引起的选择性脑损伤,并尝试探讨神经放射学和神经心理学发现之间的相关性。刻板的解剖学和神经心理学变化使人相信,该病毒可能基于分子特异性在边缘系统内识别特定的细胞“株”。

https://cdn.ncbi.nlm.nih.gov/pmc/blobs/6b93/1032917/8501869e071e/jnnpsyc00545-0039-a.jpg

文献检索

告别复杂PubMed语法,用中文像聊天一样搜索,搜遍4000万医学文献。AI智能推荐,让科研检索更轻松。

立即免费搜索

文件翻译

保留排版,准确专业,支持PDF/Word/PPT等文件格式,支持 12+语言互译。

免费翻译文档

深度研究

AI帮你快速写综述,25分钟生成高质量综述,智能提取关键信息,辅助科研写作。

立即免费体验