Suppr超能文献

肉芽肿性多血管炎中的多发性肺结节:病例系列

Multiple pulmonary nodules in granulomatous polyangiitis: A case series.

作者信息

Arunsurat Itthiphat, Reechaipichitkul Wipa, So-Ngern Apichart, Chaisuriya Nipon, Mahankkanukrauh Ajanee, Ratanawatkul Pailin, Chumpangern Worawat, Kampan Pongsakorn

机构信息

Division of Pulmonary, Department of Medicine, Faculty of Medicine, Khon Kaen University, Thailand.

Division of Sleep Medicine, Department of Medicine, Faculty of Medicine, Khon Kaen University, Thailand.

出版信息

Respir Med Case Rep. 2020 Mar 25;30:101043. doi: 10.1016/j.rmcr.2020.101043. eCollection 2020.

Abstract

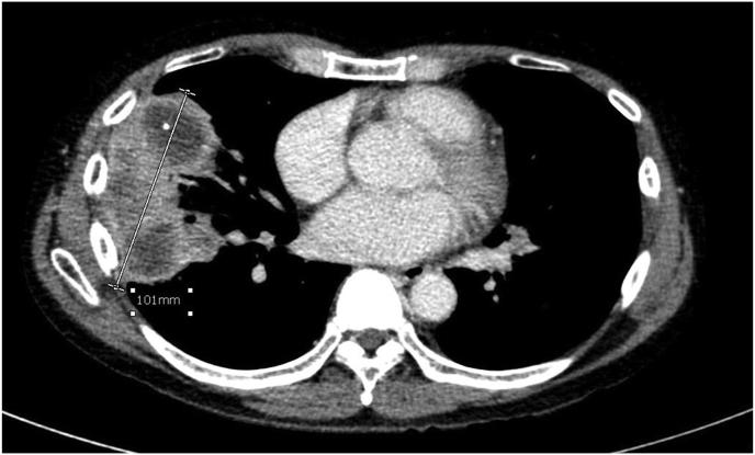
Granulomatous polyangiitis (GPA) is a multiple systemic necrotizing vasculitis. Diagnosis of pulmonary nodules in GPA is still challenging in clinical practice, however, other extrapulmonary manifestations, serology, and histopathology may help the diagnosis of GPA. This case series was of limed GPA with one of the largest pulmonary nodules which had a poor treatment response in contrast with previous literature.

摘要

肉芽肿性多血管炎(GPA)是一种多系统坏死性血管炎。在临床实践中,GPA中肺结节的诊断仍然具有挑战性,然而,其他肺外表现、血清学和组织病理学可能有助于GPA的诊断。本病例系列为局限性GPA,其中一个肺结节最大,与既往文献相比,治疗反应较差。

https://cdn.ncbi.nlm.nih.gov/pmc/blobs/f96c/7115113/a6b0e593e44a/gr1a.jpg

文献AI研究员

20分钟写一篇综述,助力文献阅读效率提升50倍。

立即体验

用中文搜PubMed

大模型驱动的PubMed中文搜索引擎

马上搜索

文档翻译

学术文献翻译模型,支持多种主流文档格式。

立即体验