Suppr超能文献

脾网状血管内皮瘤合并肝淀粉样变患者血清碳水化合物抗原19-9水平异常:一例报告

Abnormal serum carbohydrate antigen 19-9 levels in a patient with splenic retiform haemangioendothelioma concomitant with hepatic amyloidosis: A case report.

作者信息

Sun Kai-Di, Zhang Yu-Jie, Zhu Lan-Ping, Yang Bo, Wang Sai-Yu, Yu Zi-Han, Zhang Hai-Cheng, Chen Xin

机构信息

Department of Gastroenterology and Hepatology, Tianjin Medical University General Hospital, Tianjin 300052, China.

Department of Pathology, Tianjin Medical University General Hospital, Tianjin 300052, China.

出版信息

World J Clin Cases. 2020 Mar 26;8(6):1108-1115. doi: 10.12998/wjcc.v8.i6.1108.

Abstract

BACKGROUND

Carbohydrate antigen 19-9 (CA 19-9) is a glycoprotein that is used as a reliable tool for monitoring pancreatic cancer. Serum CA 19-9 levels are increased in patients suffering from liver, lung, and other non-malignant diseases. Haemangioendothelioma is a vascular neoplasm with a borderline biological behaviour. However, no case of haemangioendothelioma has yet been reported to be associated with CA 19-9.

CASE SUMMARY

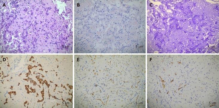
A 54-year-old Chinese man was referred to our hospital for discontinuous fatigue and unintentional weight loss for over one year. Laboratory investigations revealed an elevated serum CA 19-9 concentration of 39 IU/mL (reference interval, 0-37 IU/mL) over one year before admission. Afterwards, coagulopathy appeared, and the patient's serum CA 19-9 concentration increased continuously. At the time of admission, abdominal pain and haemorrhagic shock burst occurred, and emergency medical operation was performed. Laboratory investigations conducted upon admission showed a serum CA19-9 concentration of 392.56 IU/mL. Surgical resection of the spleen was undertaken, and pathological examination showed retiform haemangioendothelioma. The patient developed jaundice ten days after surgical excision of the spleen. Pathological examination of needle biopsy samples of the liver yielded a diagnosis of hepatic amyloidosis.

CONCLUSION

We describe a rare case of splenic retiform haemangioenthelioma concomitant with hepatic amyloidosis. Physicians should note abnormal serum CA 19-9 levels with early symptoms of fatigue and unintentional weight loss.

摘要

背景

糖类抗原19-9(CA 19-9)是一种糖蛋白,用作监测胰腺癌的可靠工具。患有肝脏、肺部和其他非恶性疾病的患者血清CA 19-9水平会升高。血管内皮瘤是一种具有临界生物学行为的血管肿瘤。然而,尚未有血管内皮瘤与CA 19-9相关的病例报道。

病例摘要

一名54岁中国男性因持续一年多的间断性疲劳和不明原因体重减轻被转诊至我院。实验室检查显示,入院前一年多血清CA 19-9浓度升高至39 IU/mL(参考区间为0-37 IU/mL)。此后出现凝血功能障碍,患者血清CA 19-9浓度持续升高。入院时,突发腹痛和失血性休克,遂进行急诊手术。入院时实验室检查显示血清CA19-9浓度为392.56 IU/mL。进行了脾脏手术切除,病理检查显示为网状血管内皮瘤。脾脏手术切除十天后患者出现黄疸。肝脏穿刺活检样本的病理检查诊断为肝淀粉样变性。

结论

我们描述了一例罕见的脾脏网状血管内皮瘤合并肝淀粉样变性病例。医生应注意血清CA 19-9水平异常以及疲劳和不明原因体重减轻的早期症状。

https://cdn.ncbi.nlm.nih.gov/pmc/blobs/a6e8/7103981/f561e0143f11/WJCC-8-1108-g001.jpg

文献AI研究员

20分钟写一篇综述,助力文献阅读效率提升50倍。

立即体验

用中文搜PubMed

大模型驱动的PubMed中文搜索引擎

马上搜索

文档翻译

学术文献翻译模型,支持多种主流文档格式。

立即体验