• 文献检索
  • 文档翻译
  • 深度研究
  • 学术资讯
  • Suppr Zotero 插件Zotero 插件
  • 邀请有礼
  • 套餐&价格
  • 历史记录
应用&插件
Suppr Zotero 插件Zotero 插件浏览器插件Mac 客户端Windows 客户端微信小程序
定价
高级版会员购买积分包购买API积分包
服务
文献检索文档翻译深度研究API 文档MCP 服务
关于我们
关于 Suppr公司介绍联系我们用户协议隐私条款
关注我们

Suppr 超能文献

核心技术专利:CN118964589B侵权必究
粤ICP备2023148730 号-1Suppr @ 2026

文献检索

告别复杂PubMed语法,用中文像聊天一样搜索,搜遍4000万医学文献。AI智能推荐,让科研检索更轻松。

立即免费搜索

文件翻译

保留排版,准确专业,支持PDF/Word/PPT等文件格式,支持 12+语言互译。

免费翻译文档

深度研究

AI帮你快速写综述,25分钟生成高质量综述,智能提取关键信息,辅助科研写作。

立即免费体验

20(S)-人参皂苷 Rg3 通过抑制肾脏炎症减轻糖尿病大鼠肾脏损伤

20(S)-Ginsenoside Rg3 Protects Kidney from Diabetic Kidney Disease via Renal Inflammation Depression in Diabetic Rats.

机构信息

Department of Endocrinology and Metabolism, The First Hospital of Jilin University, 130061 Changchun, Jilin Province, China.

Key Laboratory of Organ Regeneration & Transplantation of the Ministry of Education, The First Hospital of Jilin University, 130061 Changchun, Jilin Province, China.

出版信息

J Diabetes Res. 2020 Mar 18;2020:7152176. doi: 10.1155/2020/7152176. eCollection 2020.

DOI:10.1155/2020/7152176
PMID:32258169
原文链接:https://pmc.ncbi.nlm.nih.gov/articles/PMC7106937/
Abstract

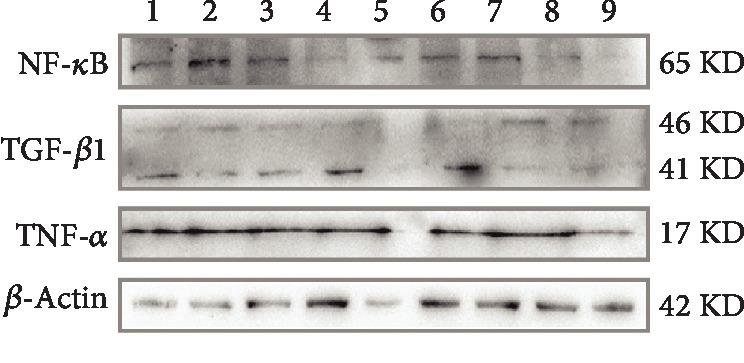
20(S)-Ginsenoside Rg3 (20(S)-Rg3) has been shown to induce apoptosis by interfering with several signaling pathways. Furthermore, it has been reported to have anticancer and antidiabetic effects. In order to detect the protective effect of 20(S)-Rg3 on diabetic kidney disease (DKD), diabetic rat models which were established by administering high-sugar, high-fat diet combined with intraperitoneal injection of streptozotocin (STZ), and age-matched wild-type (WT) rat were given 20(S)-Rg3 for 12 weeks, with three groups: control group (normal adult rats with saline), diabetic group (diabetic rats with saline), and 20(S)-Rg3 treatment group (diabetic rats with 20(S)-Rg3 (10 mg/kg body weight/day)). The biochemical indicators and the changes in glomerular basement membrane and mesangial matrix were detected. TUNEL staining was used to detect glomerular and renal tubular cell apoptosis. Immunohistochemical staining was used to detect the expression of fibrosis factors and inflammation factors in rat kidney tissues. Through periodic acid-Schiff staining, we observed that the change in renal histology was improved and renal tubular epithelial cell apoptosis decreased significantly by treatment with 20(S)-Rg3. Plus, the urine protein decreased in the rats with the 20(S)-Rg3 treatment. Fasting blood glucose, creatinine, total cholesterol, and triglyceride levels in the 20(S)-Rg3 treatment group were all lower than those in the diabetic group. Mechanistically, 20(S)-Rg3 dramatically downregulated the expression of TGF-1, NF-B65, and TNF- in the kidney. These resulted in a significant prevention of renal damage from the inflammation. The results of the current study suggest that 20(S)-Rg3 could potentially be used as a novel treatment against DKD.

摘要

20(S)-人参皂苷 Rg3(20(S)-Rg3)已被证明通过干扰几种信号通路诱导细胞凋亡。此外,它还具有抗癌和抗糖尿病作用。为了检测 20(S)-Rg3 对糖尿病肾病(DKD)的保护作用,我们建立了高糖、高脂肪饮食联合腹腔注射链脲佐菌素(STZ)的糖尿病大鼠模型,并给予三种不同处理:对照组(正常成年大鼠用生理盐水)、糖尿病组(糖尿病大鼠用生理盐水)和 20(S)-Rg3 治疗组(糖尿病大鼠用 20(S)-Rg3(10mg/kg 体重/天)),共 12 周。检测生化指标及肾小球基底膜和系膜基质的变化。TUNEL 染色检测肾小球和肾小管细胞凋亡。免疫组化染色检测大鼠肾脏组织中纤维化因子和炎症因子的表达。通过过碘酸希夫染色,我们观察到 20(S)-Rg3 治疗可改善肾脏组织学变化,显著减少肾小管上皮细胞凋亡。此外,20(S)-Rg3 治疗组大鼠尿蛋白减少。20(S)-Rg3 治疗组大鼠空腹血糖、肌酐、总胆固醇和甘油三酯水平均低于糖尿病组。机制上,20(S)-Rg3 显著下调了肾脏中 TGF-1、NF-B65 和 TNF-的表达。这导致炎症引起的肾损伤得到显著预防。本研究结果表明,20(S)-Rg3 可能成为治疗 DKD 的一种新方法。

https://cdn.ncbi.nlm.nih.gov/pmc/blobs/0c36/7106937/23cfd6f679ec/JDR2020-7152176.006.jpg
https://cdn.ncbi.nlm.nih.gov/pmc/blobs/0c36/7106937/4223514bfcaa/JDR2020-7152176.001.jpg
https://cdn.ncbi.nlm.nih.gov/pmc/blobs/0c36/7106937/3103001b0373/JDR2020-7152176.002.jpg
https://cdn.ncbi.nlm.nih.gov/pmc/blobs/0c36/7106937/5e717fb743b4/JDR2020-7152176.003.jpg
https://cdn.ncbi.nlm.nih.gov/pmc/blobs/0c36/7106937/fc458c43764e/JDR2020-7152176.004.jpg
https://cdn.ncbi.nlm.nih.gov/pmc/blobs/0c36/7106937/dea2ae390709/JDR2020-7152176.005.jpg
https://cdn.ncbi.nlm.nih.gov/pmc/blobs/0c36/7106937/23cfd6f679ec/JDR2020-7152176.006.jpg
https://cdn.ncbi.nlm.nih.gov/pmc/blobs/0c36/7106937/4223514bfcaa/JDR2020-7152176.001.jpg
https://cdn.ncbi.nlm.nih.gov/pmc/blobs/0c36/7106937/3103001b0373/JDR2020-7152176.002.jpg
https://cdn.ncbi.nlm.nih.gov/pmc/blobs/0c36/7106937/5e717fb743b4/JDR2020-7152176.003.jpg
https://cdn.ncbi.nlm.nih.gov/pmc/blobs/0c36/7106937/fc458c43764e/JDR2020-7152176.004.jpg
https://cdn.ncbi.nlm.nih.gov/pmc/blobs/0c36/7106937/dea2ae390709/JDR2020-7152176.005.jpg
https://cdn.ncbi.nlm.nih.gov/pmc/blobs/0c36/7106937/23cfd6f679ec/JDR2020-7152176.006.jpg

相似文献

1
20(S)-Ginsenoside Rg3 Protects Kidney from Diabetic Kidney Disease via Renal Inflammation Depression in Diabetic Rats.20(S)-人参皂苷 Rg3 通过抑制肾脏炎症减轻糖尿病大鼠肾脏损伤
J Diabetes Res. 2020 Mar 18;2020:7152176. doi: 10.1155/2020/7152176. eCollection 2020.
2
Alleviative effects of 20(R)-Rg3 on HFD/STZ-induced diabetic nephropathy via MAPK/NF-κB signaling pathways in C57BL/6 mice.20(R)-Rg3 通过 MAPK/NF-κB 信号通路减轻 HFD/STZ 诱导的 C57BL/6 小鼠糖尿病肾病的作用。
J Ethnopharmacol. 2021 Mar 1;267:113500. doi: 10.1016/j.jep.2020.113500. Epub 2020 Oct 19.
3
Korean red ginseng attenuates hyperglycemia-induced renal inflammation and fibrosis via accelerated autophagy and protects against diabetic kidney disease.朝鲜红参通过加速自噬减轻高血糖诱导的肾脏炎症和纤维化,从而预防糖尿病肾病。
J Ethnopharmacol. 2020 May 23;254:112693. doi: 10.1016/j.jep.2020.112693. Epub 2020 Feb 26.
4
MiR-135a regulates renal fibrosis in rats with diabetic kidney disease through the Notch pathway.miR-135a 通过 Notch 通路调控糖尿病肾病大鼠肾脏纤维化。
Eur Rev Med Pharmacol Sci. 2020 Feb;24(4):1979-1987. doi: 10.26355/eurrev_202002_20375.
5
Ginsenoside Rg3 induces mesangial cells proliferation and attenuates apoptosis by miR-216a-5p/MAPK pathway in diabetic kidney disease.人参皂苷 Rg3 通过 miR-216a-5p/MAPK 通路诱导系膜细胞增殖并减轻糖尿病肾病中的细胞凋亡。
Aging (Albany NY). 2024 Jun 7;16(11):9933-9943. doi: 10.18632/aging.205907.
6
Notoginsenoside R1 ameliorates podocyte injury in rats with diabetic nephropathy by activating the PI3K/Akt signaling pathway.三七皂苷R1通过激活PI3K/Akt信号通路改善糖尿病肾病大鼠的足细胞损伤。
Int J Mol Med. 2016 Oct;38(4):1179-89. doi: 10.3892/ijmm.2016.2713. Epub 2016 Aug 24.
7
Protective effect of ginsenoside Rg5 against kidney injury via inhibition of NLRP3 inflammasome activation and the MAPK signaling pathway in high-fat diet/streptozotocin-induced diabetic mice.人参皂苷 Rg5 通过抑制 NLRP3 炎性小体激活和 MAPK 信号通路对高脂饮食/链脲佐菌素诱导的糖尿病小鼠肾脏损伤的保护作用。
Pharmacol Res. 2020 May;155:104746. doi: 10.1016/j.phrs.2020.104746. Epub 2020 Mar 7.
8
Apigenin ameliorates streptozotocin-induced diabetic nephropathy in rats via MAPK-NF-κB-TNF-α and TGF-β1-MAPK-fibronectin pathways.芹菜素通过MAPK-NF-κB-TNF-α和TGF-β1-MAPK-纤连蛋白途径改善链脲佐菌素诱导的大鼠糖尿病肾病。
Am J Physiol Renal Physiol. 2017 Aug 1;313(2):F414-F422. doi: 10.1152/ajprenal.00393.2016. Epub 2017 May 31.
9
Protective effect of ginsenoside metabolite compound K against diabetic nephropathy by inhibiting NLRP3 inflammasome activation and NF-κB/p38 signaling pathway in high-fat diet/streptozotocin-induced diabetic mice.化合物 K 通过抑制 NLRP3 炎性小体激活和 NF-κB/p38 信号通路对高脂饮食/链脲佐菌素诱导的糖尿病小鼠糖尿病肾病的保护作用。
Int Immunopharmacol. 2018 Oct;63:227-238. doi: 10.1016/j.intimp.2018.07.027. Epub 2018 Aug 11.
10
Minocycline Attenuates Kidney Injury in a Rat Model of Streptozotocin-Induced Diabetic Nephropathy.米诺环素减轻链脲佐菌素诱导的糖尿病肾病大鼠模型中的肾损伤。
Biol Pharm Bull. 2016;39(8):1231-7. doi: 10.1248/bpb.b15-00594.

引用本文的文献

1
Ginsenoside in the treatment of type 2 diabetes and its complications: a promising traditional chinese medicine.人参皂苷在2型糖尿病及其并发症治疗中的应用:一种有前景的传统中药。
Front Pharmacol. 2025 May 13;16:1593780. doi: 10.3389/fphar.2025.1593780. eCollection 2025.
2
Ginsenoside Rg3 Improved Age-Related Macular Degeneration Through Inhibiting ROS-Mediated Mitochondrion-Dependent Apoptosis In Vivo and In Vitro.人参皂苷 Rg3 通过抑制 ROS 介导的线粒体依赖性凋亡来改善年龄相关性黄斑变性:体内和体外研究。
Int J Mol Sci. 2024 Oct 24;25(21):11414. doi: 10.3390/ijms252111414.
3
Efficacy and mechanism of action of ginsenoside Rg3 on radiation proctitis in rats.

本文引用的文献

1
Interleukin-18 and diabetic nephropathy: A review.白细胞介素-18 与糖尿病肾病:综述。
J Cell Physiol. 2019 May;234(5):5674-5682. doi: 10.1002/jcp.27427. Epub 2018 Nov 11.
2
Glucocorticoid activation by 11β-hydroxysteroid dehydrogenase enzymes in relation to inflammation and glycaemic control in chronic kidney disease: A cross-sectional study.11β-羟类固醇脱氢酶在慢性肾脏病炎症和血糖控制中的糖皮质激素激活作用:一项横断面研究。
Clin Endocrinol (Oxf). 2019 Jan;90(1):241-249. doi: 10.1111/cen.13889. Epub 2018 Nov 15.
3
Ginsenoside Rg3 Attenuates Lipopolysaccharide-Induced Acute Lung Injury via MerTK-Dependent Activation of the PI3K/AKT/mTOR Pathway.
人参皂苷 Rg3 对大鼠放射性直肠炎的疗效及作用机制。
Immun Inflamm Dis. 2024 Sep;12(9):e70015. doi: 10.1002/iid3.70015.
4
Ginsenoside Rg3 induces mesangial cells proliferation and attenuates apoptosis by miR-216a-5p/MAPK pathway in diabetic kidney disease.人参皂苷 Rg3 通过 miR-216a-5p/MAPK 通路诱导系膜细胞增殖并减轻糖尿病肾病中的细胞凋亡。
Aging (Albany NY). 2024 Jun 7;16(11):9933-9943. doi: 10.18632/aging.205907.
5
Anti-leukemia effects of ginsenoside monomer: A narrative review of pharmacodynamics study.人参皂苷单体的抗白血病作用:药效学研究的叙述性综述
Curr Ther Res Clin Exp. 2024 Feb 25;100:100739. doi: 10.1016/j.curtheres.2024.100739. eCollection 2024.
6
Single-Cell Sequencing Reveals the Expression of Immune-Related Genes in Macrophages of Diabetic Kidney Disease.单细胞测序揭示糖尿病肾病中巨噬细胞免疫相关基因的表达。
Inflammation. 2024 Feb;47(1):227-243. doi: 10.1007/s10753-023-01906-2. Epub 2023 Sep 30.
7
Protective effects of ginsenosides in cisplatin-induced kidney injury: A systematic review, meta-analysis.人参皂苷对顺铂诱导的肾损伤的保护作用:系统评价、荟萃分析。
Indian J Pharmacol. 2023 Jul-Aug;55(4):243-250. doi: 10.4103/ijp.ijp_251_23.
8
Polymer-Based Wound Dressings Loaded with Ginsenoside Rg3.载有人参皂苷 Rg3 的基于聚合物的伤口敷料。
Molecules. 2023 Jun 28;28(13):5066. doi: 10.3390/molecules28135066.
9
Renal function protection and the mechanism of ginsenosides: Current progress and future perspectives.人参皂苷的肾功能保护作用及其机制:当前进展与未来展望
Front Pharmacol. 2023 Feb 6;14:1070738. doi: 10.3389/fphar.2023.1070738. eCollection 2023.
10
Pharmacological properties, molecular mechanisms and therapeutic potential of ginsenoside Rg3 as an antioxidant and anti-inflammatory agent.人参皂苷Rg3作为抗氧化剂和抗炎剂的药理特性、分子机制及治疗潜力
Front Pharmacol. 2022 Sep 5;13:975784. doi: 10.3389/fphar.2022.975784. eCollection 2022.
人参皂苷Rg3通过MerTK依赖性激活PI3K/AKT/mTOR通路减轻脂多糖诱导的急性肺损伤。
Front Pharmacol. 2018 Aug 2;9:850. doi: 10.3389/fphar.2018.00850. eCollection 2018.
4
Ginsenoside Rg3 Mitigates Atherosclerosis Progression in Diabetic apoE-/- Mice by Skewing Macrophages to the M2 Phenotype.人参皂苷Rg3通过使巨噬细胞向M2表型倾斜减轻糖尿病apoE-/-小鼠的动脉粥样硬化进展。
Front Pharmacol. 2018 May 9;9:464. doi: 10.3389/fphar.2018.00464. eCollection 2018.
5
Molecular signaling of ginsenosides Rb1, Rg1, and Rg3 and their mode of actions.人参皂苷Rb1、Rg1和Rg3的分子信号传导及其作用方式。
J Ginseng Res. 2018 Apr;42(2):123-132. doi: 10.1016/j.jgr.2017.01.008. Epub 2017 Jan 19.
6
20(R)-ginsenoside Rg3, a rare saponin from red ginseng, ameliorates acetaminophen-induced hepatotoxicity by suppressing PI3K/AKT pathway-mediated inflammation and apoptosis.20(R)-人参皂苷 Rg3,一种来自红参的稀有皂苷,通过抑制 PI3K/AKT 通路介导的炎症和凋亡来改善对乙酰氨基酚引起的肝毒性。
Int Immunopharmacol. 2018 Jun;59:21-30. doi: 10.1016/j.intimp.2018.03.030. Epub 2018 Apr 2.
7
Transforming Growth Factor Beta 1 Drives a Switch in Connexin Mediated Cell-to-Cell Communication in Tubular Cells of the Diabetic Kidney.转化生长因子β1驱动糖尿病肾病肾小管细胞中连接蛋白介导的细胞间通讯转换。
Cell Physiol Biochem. 2018;45(6):2369-2388. doi: 10.1159/000488185. Epub 2018 Mar 26.
8
Estrogen receptor-β of microglia underlies sexual differentiation of neuronal protection via ginsenosides in mice brain.小胶质细胞中的雌激素受体-β通过人参皂苷介导了小鼠大脑神经元保护的性别差异。
CNS Neurosci Ther. 2018 Oct;24(10):930-939. doi: 10.1111/cns.12842. Epub 2018 Mar 9.
9
Crosstalk of Hyperglycemia and Dyslipidemia in Diabetic Kidney Disease.糖尿病肾病中高血糖与血脂异常的相互作用
Kidney Dis (Basel). 2017 Dec;3(4):171-180. doi: 10.1159/000479874. Epub 2017 Sep 13.
10
GLP-1 and the kidney: from physiology to pharmacology and outcomes in diabetes.GLP-1 与肾脏:从生理学到药理学以及在糖尿病中的结局。
Nat Rev Nephrol. 2017 Oct;13(10):605-628. doi: 10.1038/nrneph.2017.123. Epub 2017 Sep 4.