Suppr超能文献

6-磷酸果糖-2-激酶/果糖-2,6-二磷酸酶-3在食管鳞状细胞癌中的作用

The role of 6-phosphofructo-2-kinase/fructose-2,6-bisphosphatase-3 in esophageal squamous cell carcinoma.

作者信息

Bao Junhui, Wu Ya, Wang Limei, Zhu Yaqun

机构信息

Department of Radiotherapy & Oncology, The Second Affiliated Hospital of Soochow University, Suzhou.

Department of Radiotherapy & Oncology, Tong Liao City Hospital, Tong Liao, Inner Mongolia.

出版信息

Medicine (Baltimore). 2020 Apr;99(15):e19626. doi: 10.1097/MD.0000000000019626.

Abstract

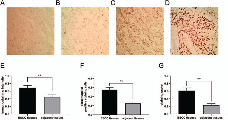
6-phosphofructo-kinase-2/fructose diphosphatase-2 isoenzyme 3 (PFKFB3) is closely related to the growth of many types of cancer cells. Glycolysis not only provides Adenosine triphosphate for the growth of tumor cells, but also protects them from acid products, which is beneficial to the invasion and metastasis of tumors. However, PFKFB3 expression in esophageal squamous cell carcinoma (ESCC) has been scarcely reported. In this study, the role of PFKFB3 was studied in 120 ESCC samples using immunohistochemistry technique (IHC), western blotting, and reverse transcriptase-polymerase chain reaction (RT-PCR). Both PFKFB3 protein and gene expression in ESCC tissues were significantly higher than in adjacent non-tumor tissues (P < .05). Single factor analysis showed that both PFKFB3 protein and gene expression are related to infiltration depth, stage, tumor metastasis, and the degree of tumor differentiation in ESCC. Multifactor Cox survival analysis revealed that PFKFB3 protein expression, tumor location, tumor metastasis, tumor differentiation degree, and tumor stage were independent factors affecting the overall survival of postoperative patients. Multivariate Cox survival analysis showed that PFKFB3 mRNA has a good performance for predicting 3-year survival of patients with ESCC 0.89 (0.79-0.99), with a sensitivity of 0.85 and specificity of 0.77. Encouragingly, the sensitivity and specificity of PFKFB3 in the diagnosis of early ESCC (stage I and stage II) can reach 87.8% and 91.5%. In conclusion, high PFKFB3 protein and gene expression may be associated with the occurrence, development, and prognosis of ESCC. PFKFB3 could be used to help develop new therapeutic and diagnostic strategies for ESCC patients.

摘要

6-磷酸果糖激酶-2/果糖二磷酸酶-2同工酶3(PFKFB3)与多种癌细胞的生长密切相关。糖酵解不仅为肿瘤细胞的生长提供三磷酸腺苷,还保护它们免受酸性产物的影响,这有利于肿瘤的侵袭和转移。然而,食管鳞状细胞癌(ESCC)中PFKFB3的表达鲜有报道。在本研究中,采用免疫组织化学技术(IHC)、蛋白质免疫印迹法和逆转录聚合酶链反应(RT-PCR),对120例ESCC样本中PFKFB3的作用进行了研究。ESCC组织中PFKFB3蛋白和基因表达均显著高于相邻的非肿瘤组织(P<0.05)。单因素分析表明,PFKFB3蛋白和基因表达均与ESCC的浸润深度、分期、肿瘤转移及肿瘤分化程度有关。多因素Cox生存分析显示,PFKFB3蛋白表达、肿瘤位置、肿瘤转移、肿瘤分化程度和肿瘤分期是影响术后患者总生存的独立因素。多变量Cox生存分析表明,PFKFB3 mRNA对预测ESCC患者3年生存率具有良好的性能,为0.89(0.79 - 0.99),敏感性为0.85,特异性为0.77。令人鼓舞的是,PFKFB3在早期ESCC(I期和II期)诊断中的敏感性和特异性可分别达到87.8%和91.5%。总之,PFKFB3蛋白和基因的高表达可能与ESCC的发生、发展及预后相关。PFKFB3可用于帮助制定针对ESCC患者的新治疗和诊断策略。

https://cdn.ncbi.nlm.nih.gov/pmc/blobs/206d/7220331/e7df5cf5c93a/medi-99-e19626-g002.jpg

文献AI研究员

20分钟写一篇综述,助力文献阅读效率提升50倍。

立即体验

用中文搜PubMed

大模型驱动的PubMed中文搜索引擎

马上搜索

文档翻译

学术文献翻译模型,支持多种主流文档格式。

立即体验