Suppr超能文献

三维磁共振成像在指导前交叉韧带重建中胫骨和股骨隧道位置的应用:一项尸体研究

Three-Dimensional Magnetic Resonance Imaging for Guiding Tibial and Femoral Tunnel Position in Anterior Cruciate Ligament Reconstruction: A Cadaveric Study.

作者信息

Marwan Yousef, Böttcher Jens, Laverdière Carl, Jaffer Rehana, Burman Mark, Boily Mathieu, Martineau Paul A

机构信息

Division of Orthopaedic Surgery, McGill University Health Centre, McGill University, Montreal, Quebec, Canada.

Department of Radiology, McGill University Health Centre, McGill University, Montreal, Quebec, Canada.

出版信息

Orthop J Sports Med. 2020 Mar 27;8(3):2325967120909913. doi: 10.1177/2325967120909913. eCollection 2020 Mar.

Abstract

BACKGROUND

Femoral and tibial tunnel malposition for anterior cruciate ligament (ACL) reconstruction (ACLR) is correlated with higher failure rate. Regardless of the surgical technique used to create ACL tunnels, significant mismatches between the native and reconstructed footprints exist.

PURPOSE

To compare the position of tunnels created by a standard technique with the ones created based on preoperative 3-dimensional magnetic resonance imaging (3D MRI) measurements of the ACL anatomic footprint.

STUDY DESIGN

Controlled laboratory study.

METHODS

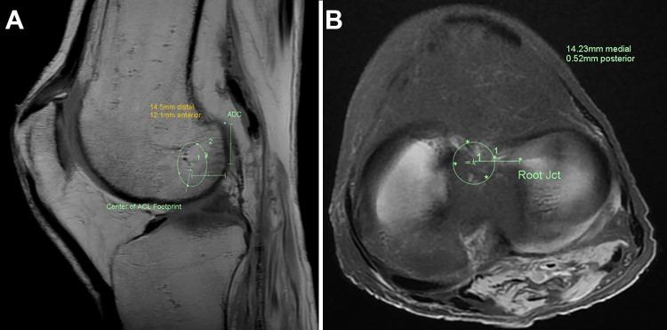
Using 3D MRI, the native ACL footprints were identified. Tunnels were created on 16 knees (8 cadavers) arthroscopically. On one knee of a matched pair, the tunnels were created based on 3D MRI measurements that were provided to the surgeon (roadmapped technique), while on the contralateral knee, the tunnels were created based on a standard anatomic ACLR technique. The technique was randomly assigned per set of knees. Postoperatively, the positions of the tunnels were measured using 3D MRI.

RESULTS

On the tibial side, the median distance between the center of the native and reconstructed ACL footprints in relation to the root of the anterior horn of the lateral meniscus medially was 1.7 ± 2.2 mm and 1.9 ± 2.8 mm for the standard and roadmapped techniques, respectively ( = .442), while the median anteroposterior distance was 3.4 ± 2.4 mm and 2.5 ± 2.5 mm for the standard and roadmapped techniques, respectively ( = .161). On the femoral side, the median distance in relation to the apex of the deep cartilage (ADC) distally was 0.9 ± 2.8 mm and 1.3 ± 2.1 mm for the standard and roadmapped techniques, respectively ( = .195), while the median distance anteriorly from the ADC was 1.2 ± 1.3 mm and 4.6 ± 4.5 mm for the standard and roadmapped techniques, respectively ( = .007).

CONCLUSION

Providing precise radiological measurements of the ACL footprints does not improve the surgeon's ability to position the tunnels. Future studies should continue to attempt to provide tools to improve the tunnel position in ACLR.

CLINICAL RELEVANCE

This cadaveric study indicates that despite the use of 3D MRI in understanding the ACL anatomy, re-creating the native ACL footprints remains a challenge.

摘要

背景

前交叉韧带重建术(ACLR)中股骨和胫骨隧道位置不当与较高的失败率相关。无论采用何种手术技术创建前交叉韧带隧道,天然与重建足迹之间都存在明显不匹配。

目的

比较标准技术创建的隧道位置与基于术前前交叉韧带解剖足迹的三维磁共振成像(3D MRI)测量创建的隧道位置。

研究设计

对照实验室研究。

方法

使用3D MRI识别天然前交叉韧带足迹。通过关节镜在16个膝关节(8具尸体)上创建隧道。在配对的一个膝关节上,根据提供给外科医生的3D MRI测量结果创建隧道(路线图技术),而在对侧膝关节上,根据标准解剖前交叉韧带重建技术创建隧道。每组膝关节随机分配技术。术后,使用3D MRI测量隧道位置。

结果

在胫骨侧,标准技术和路线图技术中,天然与重建前交叉韧带足迹中心相对于内侧半月板前角根部的中位数距离分别为1.7±2.2 mm和1.9±2.8 mm(P = 0.442),而标准技术和路线图技术的前后中位数距离分别为3.4±2.4 mm和2.5±2.5 mm(P = 0.161)。在股骨侧,标准技术和路线图技术中,相对于远端深层软骨顶点(ADC)的中位数距离分别为0.9±2.8 mm和1.3±2.1 mm(P = 0.195),而标准技术和路线图技术中,从ADC向前的中位数距离分别为1.2±1.3 mm和4.​​6±4.5 mm(P = 0.007)。

结论

提供前交叉韧带足迹的精确放射学测量并不能提高外科医生定位隧道的能力。未来的研究应继续尝试提供工具以改善前交叉韧带重建术中的隧道位置。

临床意义

这项尸体研究表明,尽管使用3D MRI来了解前交叉韧带解剖结构,但重新创建天然前交叉韧带足迹仍然是一项挑战。

https://cdn.ncbi.nlm.nih.gov/pmc/blobs/a011/7137122/5188126c81f7/10.1177_2325967120909913-fig1.jpg

文献AI研究员

20分钟写一篇综述,助力文献阅读效率提升50倍。

立即体验

用中文搜PubMed

大模型驱动的PubMed中文搜索引擎

马上搜索

文档翻译

学术文献翻译模型,支持多种主流文档格式。

立即体验