• 文献检索
  • 文档翻译
  • 深度研究
  • 学术资讯
  • Suppr Zotero 插件Zotero 插件
  • 邀请有礼
  • 套餐&价格
  • 历史记录
应用&插件
Suppr Zotero 插件Zotero 插件浏览器插件Mac 客户端Windows 客户端微信小程序
定价
高级版会员购买积分包购买API积分包
服务
文献检索文档翻译深度研究API 文档MCP 服务
关于我们
关于 Suppr公司介绍联系我们用户协议隐私条款
关注我们

Suppr 超能文献

核心技术专利:CN118964589B侵权必究
粤ICP备2023148730 号-1Suppr @ 2026

文献检索

告别复杂PubMed语法,用中文像聊天一样搜索,搜遍4000万医学文献。AI智能推荐,让科研检索更轻松。

立即免费搜索

文件翻译

保留排版,准确专业,支持PDF/Word/PPT等文件格式,支持 12+语言互译。

免费翻译文档

深度研究

AI帮你快速写综述,25分钟生成高质量综述,智能提取关键信息,辅助科研写作。

立即免费体验

家族性视网膜小动脉迂曲患者 Valsalva 样机制致双侧多发内界膜下出血:观察性病例报告。

Bilateral and multiple sub-internal limiting membrane hemorrhages in a familial retinal arteriolar tortuosity patient by Valsalva-like mechanism: an observational case report.

机构信息

Department of Ophthalmology, Renmin Hospital of Wuhan University, No. 9 ZhangZhiDong Street, Wuchang District, Wuhan, 430060, Hubei, China.

出版信息

BMC Ophthalmol. 2020 Apr 15;20(1):151. doi: 10.1186/s12886-020-01413-0.

DOI:10.1186/s12886-020-01413-0
PMID:32293357
原文链接:https://pmc.ncbi.nlm.nih.gov/articles/PMC7161018/
Abstract

BACKGROUND

Bilateral and multiple Valsalva-related sub-internal limiting membrane (ILM) hemorrhages in a familial retinal arteriolar tortuosity (FRAT) patient is rare, and we treated this patient by both observation and Neodymium yttrium aluminum garnet (Nd: YAG) laser membranotomy methods.

CASE PRESENTATION

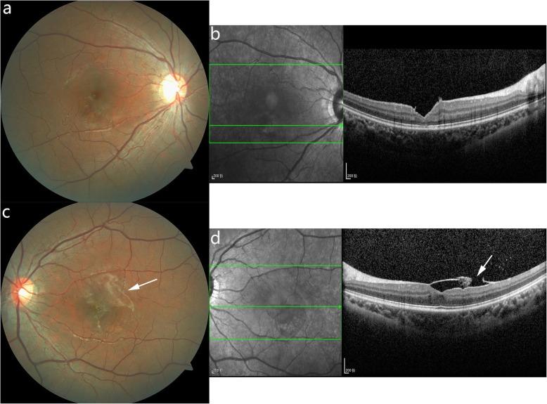
A 13-year-old female student presented with sudden visual loss and central scotoma in both eyes after running 800 m at the school gym. The examination revealed six sub-ILM hemorrhages with the biggest hemorrhage measuring approximately 1.5-disc diameters (DD) in the right eye and two sub-ILM hemorrhages with the biggest one measuring 5.5 DD in the left eye. The patient was diagnosed as having Valsalva retinopathy associated with FRAT. Nd: YAG laser membranotomy was performed at the biggest hemorrhages and the rest hemorrhages were treated with observation in both eyes. The visual acuity recovered to 20/16 in the right eye and 20/20 in the left eye. Epiretinal membrane (ERM) formation was observed in the left eye.

CONCLUSIONS

Nd: YAG laser could be considered for treating premacular hemorrhage in FRAT patient especially when a quick vision recovery was needed. This is the first reported case of a FRAT patient suffering from bilateral and multiple Valsalva-related sub-ILM hemorrhages which were treated by both observation and Nd: YAG laser treatment.

摘要

背景

家族性视网膜小动脉迂曲(FRAT)患者双侧和多发性与瓦尔萨尔瓦相关的内界膜下(ILM)出血较为罕见,我们采用观察和钕钇铝石榴石(Nd:YAG)激光膜切开术对该患者进行了治疗。

病例介绍

一名 13 岁女学生在学校体育馆跑完 800 米后突然出现双眼视力丧失和中心暗点。检查发现右眼有 6 处 ILM 下出血,最大的出血约为 1.5 个视盘直径(DD),左眼有 2 处 ILM 下出血,最大的出血约为 5.5DD。该患者被诊断为瓦尔萨尔瓦相关性视网膜病变合并 FRAT。右眼最大的出血处进行了 Nd:YAG 激光膜切开术,左眼其余出血处采用观察治疗。右眼视力恢复至 20/16,左眼视力恢复至 20/20。左眼观察到视网膜前膜(ERM)形成。

结论

对于 FRAT 患者黄斑前膜出血,Nd:YAG 激光可考虑用于治疗,特别是需要快速恢复视力时。这是首例 FRAT 患者双侧和多发性与瓦尔萨尔瓦相关的内界膜下出血病例,该患者采用观察和 Nd:YAG 激光治疗。

https://cdn.ncbi.nlm.nih.gov/pmc/blobs/bd6b/7161018/b5236c0264cd/12886_2020_1413_Fig3_HTML.jpg
https://cdn.ncbi.nlm.nih.gov/pmc/blobs/bd6b/7161018/d0cb76d50a0c/12886_2020_1413_Fig1_HTML.jpg
https://cdn.ncbi.nlm.nih.gov/pmc/blobs/bd6b/7161018/621fc47de20a/12886_2020_1413_Fig2_HTML.jpg
https://cdn.ncbi.nlm.nih.gov/pmc/blobs/bd6b/7161018/b5236c0264cd/12886_2020_1413_Fig3_HTML.jpg
https://cdn.ncbi.nlm.nih.gov/pmc/blobs/bd6b/7161018/d0cb76d50a0c/12886_2020_1413_Fig1_HTML.jpg
https://cdn.ncbi.nlm.nih.gov/pmc/blobs/bd6b/7161018/621fc47de20a/12886_2020_1413_Fig2_HTML.jpg
https://cdn.ncbi.nlm.nih.gov/pmc/blobs/bd6b/7161018/b5236c0264cd/12886_2020_1413_Fig3_HTML.jpg

相似文献

1
Bilateral and multiple sub-internal limiting membrane hemorrhages in a familial retinal arteriolar tortuosity patient by Valsalva-like mechanism: an observational case report.家族性视网膜小动脉迂曲患者 Valsalva 样机制致双侧多发内界膜下出血:观察性病例报告。
BMC Ophthalmol. 2020 Apr 15;20(1):151. doi: 10.1186/s12886-020-01413-0.
2
Epiretinal membrane formation with internal limiting membrane wrinkling after Nd:YAG laser membranotomy in valsalva retinopathy.瓦尔萨尔瓦视网膜病变患者经Nd:YAG激光膜切开术后的视网膜前膜形成伴内界膜皱缩
Am J Ophthalmol. 2003 Oct;136(4):763-6. doi: 10.1016/s0002-9394(03)00442-2.
3
Nd:YAG membranotomy for sub-inner limiting membrane hemorrhage: a case report.Nd:YAG 膜切开术治疗内界膜下出血:病例报告。
Rom J Ophthalmol. 2021 Jan-Mar;65(1):76-79. doi: 10.22336/rjo.2021.15.
4
Neodymium:YAG laser treatment for hemorrhages under the internal limiting membrane and posterior hyaloid face in the macula.钕钇铝石榴石激光治疗黄斑区视网膜内界膜和后玻璃体膜下出血。
Ophthalmology. 1995 Mar;102(3):406-11. doi: 10.1016/s0161-6420(95)31008-1.
5
YAG Laser Membranotomy for Subinternal Limiting Membrane Hemorrhage.YAG激光膜切开术治疗内界膜下出血
Optom Vis Sci. 2015 Jul;92(7):e154-7. doi: 10.1097/OPX.0000000000000621.
6
Treatment of Valsalva retinopathy.瓦尔萨尔瓦视网膜病变的治疗。
Optom Vis Sci. 2014 Nov;91(11):e278-81. doi: 10.1097/OPX.0000000000000400.
7
Spectral-domain optical coherence tomography following Nd:YAG laser membranotomy in valsalva retinopathy.瓦氏视网膜病变中Nd:YAG激光膜切开术后的频域光学相干断层扫描
Ophthalmic Surg Lasers Imaging. 2011 May-Jun;42(3):222-8. doi: 10.3928/15428877-20110224-01. Epub 2011 Mar 3.
8
Nd:YAG laser treatment for Valsalva premacular hemorrhages: 6 month follow up : alternative management options for preretinal premacular hemorrhages in Valsalva retinopathy.钕钇铝石榴石激光治疗瓦尔萨尔瓦视网膜前黄斑出血:6个月随访:瓦尔萨尔瓦视网膜病变视网膜前黄斑出血的替代治疗方案
Int Ophthalmol. 2008 Oct;28(5):325-7. doi: 10.1007/s10792-007-9138-6. Epub 2007 Sep 22.
9
Spectral-domain OCT evaluation of Nd:YAG laser treatment for Valsalva retinopathy.谱域 OCT 评估 Nd:YAG 激光治疗 Valsalva 视网膜病变。
Graefes Arch Clin Exp Ophthalmol. 2010 Apr;248(4):599-601. doi: 10.1007/s00417-009-1252-x. Epub 2009 Dec 8.
10
Krypton laser membranotomy in the treatment of dense premacular hemorrhage.氪激光膜切开术治疗黄斑前致密出血
Can J Ophthalmol. 2004 Dec;39(7):761-6. doi: 10.1016/s0008-4182(04)80070-x.

引用本文的文献

1
Retinal arterial macroaneurysm rupture by Valsalva maneuver: a case report and literature review.Valsalva 动作致视网膜动脉大动脉瘤破裂 1 例报告及文献复习。
BMC Ophthalmol. 2022 Nov 30;22(1):461. doi: 10.1186/s12886-022-02662-x.
2
Bilateral sub-internal limiting membrane hemorrhage in a COVID-19 patient.一名新冠肺炎患者出现双侧内界膜下出血。
Indian J Ophthalmol. 2022 Aug;70(8):3141-3142. doi: 10.4103/ijo.IJO_337_22.
3
A case series from a single family of familial retinal arteriolar tortuosity with common history of sudden visual loss.

本文引用的文献

1
Spontaneous Macular Hole Closure after Valsalva Retinopathy and Nd:YAG Laser Treatment.瓦氏视网膜病变及钕钇铝石榴石激光治疗后黄斑裂孔的自发闭合
Case Rep Ophthalmol Med. 2018 Aug 23;2018:1782847. doi: 10.1155/2018/1782847. eCollection 2018.
2
Valsalva Retinopathy in Twin-Pregnancy: A Case Report and Literature Review.双胎妊娠中的瓦尔萨尔瓦视网膜病变:一例报告及文献综述
Am J Case Rep. 2018 Jan 2;19:5-9. doi: 10.12659/ajcr.905738.
3
Optical coherence tomography changes following vitrectomy for long standing premacular hemorrhage in Valsalva retinopathy.
来自一个家族的一系列视网膜小动脉迂曲病例,这些病例有突发视力丧失的共同病史。
Am J Ophthalmol Case Rep. 2021 Nov 9;24:101230. doi: 10.1016/j.ajoc.2021.101230. eCollection 2021 Dec.
瓦氏视网膜病变长期黄斑前出血玻璃体切除术后的光学相干断层扫描变化
Int J Ophthalmol. 2017 Nov 18;10(11):1779-1782. doi: 10.18240/ijo.2017.11.23. eCollection 2017.
4
Sub-internal limiting membrane hemorrhage treated with intravitreal tissue plasminogen activator followed by octafluoropropane gas injection.玻璃体腔内注射组织型纤溶酶原激活剂后行八氟丙烷气体注射治疗视网膜内界膜下出血。
Taiwan J Ophthalmol. 2015 Oct-Dec;5(4):198-201. doi: 10.1016/j.tjo.2014.10.006. Epub 2014 Dec 4.
5
Spectral-domain optical coherence tomography findings of subinternal limiting membrane hemorrhage in the macula before and after Nd:YAG laser treatment.黄斑区视网膜内界膜下出血在Nd:YAG激光治疗前后的频域光学相干断层扫描结果
Taiwan J Ophthalmol. 2015 Jan-Mar;5(1):33-35. doi: 10.1016/j.tjo.2013.12.007. Epub 2014 Feb 22.
6
Iatrogenic parafoveal macular hole following Nd-YAG posterior hyaloidotomy for premacular haemorrhage.黄斑前出血行Nd-YAG后玻璃体膜切开术后医源性黄斑中心凹旁裂孔
BMJ Case Rep. 2016 Nov 23;2016:bcr2016217234. doi: 10.1136/bcr-2016-217234.
7
Successful Resolution of Preretinal Haemorrhage with Intravitreal Ranibizumab.玻璃体内注射雷珠单抗成功解决视网膜前出血
Case Rep Ophthalmol Med. 2016;2016:4164198. doi: 10.1155/2016/4164198. Epub 2016 Oct 9.
8
Valsalva retinopathy.瓦尔萨尔瓦视网膜病变。
Postgrad Med J. 2017 Mar;93(1097):174. doi: 10.1136/postgradmedj-2016-134176. Epub 2016 Sep 15.
9
Argon Green Laser for Valsalva Retinopathy Treatment and Long-term Follow-up of the Internal Limiting Membrane Changes in Optical Coherence Tomography.氩绿激光治疗瓦尔萨尔瓦视网膜病变及光学相干断层扫描对视网膜内界膜变化的长期随访
Korean J Ophthalmol. 2015 Dec;29(6):437-8. doi: 10.3341/kjo.2015.29.6.437. Epub 2015 Nov 25.
10
Next generation sequencing uncovers a missense mutation in COL4A1 as the cause of familial retinal arteriolar tortuosity.下一代测序揭示了COL4A1基因中的一个错义突变是家族性视网膜小动脉迂曲的病因。
Graefes Arch Clin Exp Ophthalmol. 2014 Nov;252(11):1789-94. doi: 10.1007/s00417-014-2800-6. Epub 2014 Sep 17.