Suppr超能文献

以多发性浆膜腔积液为首发表现的嗜酸性粒细胞性胃肠炎 1 例并文献复习

Eosinophilic gastroenteritis with multiple serous membrane effusion as the first sign: a case report and literature review.

机构信息

Department of Digestive Disease, The First People's Hospital of Changzhou, The Third Affiliated Hospital of Soochow University, Changzhou, Jiangsu, China.

Department of Pediatrics, The Second People's Hospital of Changzhou, Affiliate Hospital of NanJing Medical University, Changzhou, Jiangsu, China.

出版信息

J Int Med Res. 2020 Apr;48(4):300060520917274. doi: 10.1177/0300060520917274.

Abstract

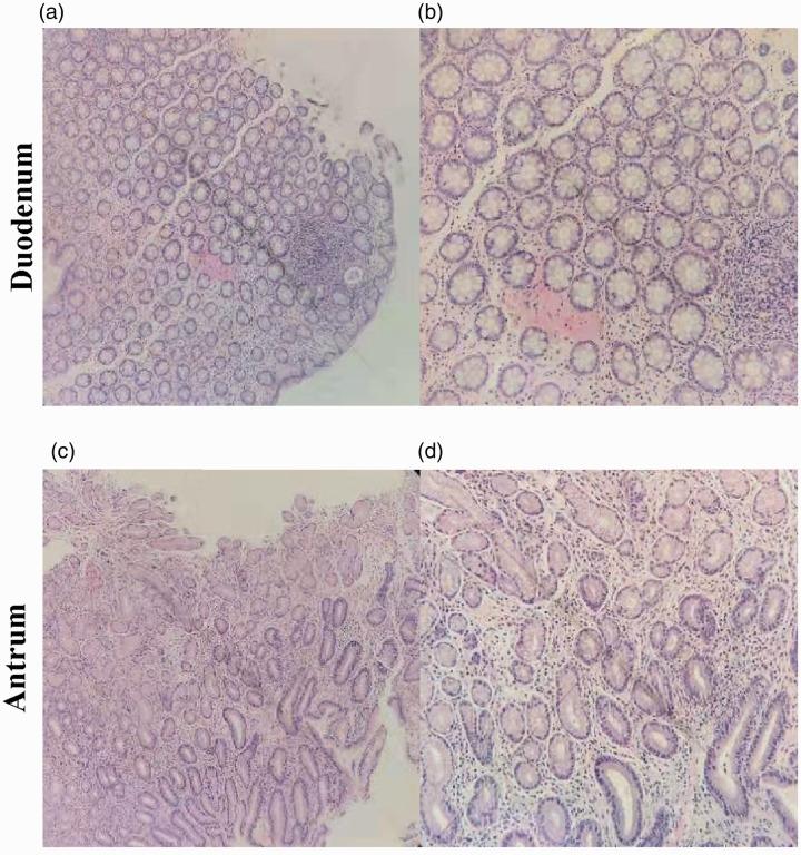
Multiple serous membrane effusion (MSSE) as the first sign of eosinophilic gastroenteritis is extremely rare, and its clinical features and treatment methods have not been well described. The clinical characteristics, diagnosis, and treatment methods of MSSE in a 44-year-old woman were retrospectively reviewed. Laboratory testing revealed an elevated eosinophil count and serum immunoglobulin E level. The levels of all tumor markers were normal, but the CA125 level in serum and ascitic fluid was significantly increased. Ultrasonography showed a large amount of ascites and a moderate amount of pleural effusion. Echocardiography showed a small amount of pericardial effusion. Chest and abdominal computed tomography showed gastrointestinal wall thickening. Moreover, eosinophilic infiltration was detected in duodenal and rectal biopsy samples that had been collected during endoscopic examination of the upper gastrointestinal system. The patient was treated with 30 mg of prednisolone, and seafood was excluded from her diet for 4 weeks. The prednisolone was tapered over 8 weeks and continued at 5 mg prednisolone daily thereafter. The MSSE and peripheral eosinophilia showed a dramatic response to the steroid treatment. This case indicates that we should be highly aware of MSSE as the first clinical manifestation of eosinophilic gastroenteritis.

摘要

多发性浆膜腔积液(MSSE)作为嗜酸性粒细胞性胃肠炎的首发表现极为罕见,其临床特征和治疗方法尚未得到很好的描述。本文回顾性分析了 1 例 44 岁女性患者的 MSSE 的临床特征、诊断和治疗方法。实验室检查提示嗜酸性粒细胞计数和血清免疫球蛋白 E 水平升高。所有肿瘤标志物水平正常,但血清和腹水 CA125 水平显著升高。超声检查显示大量腹水和中等量胸腔积液。超声心动图显示少量心包积液。胸部和腹部 CT 显示胃肠道壁增厚。此外,在上消化道内镜检查中采集的十二指肠和直肠活检样本中检测到嗜酸性粒细胞浸润。患者接受了 30 mg 泼尼松龙治疗,并在 4 周内避免食用海鲜。泼尼松龙在 8 周内逐渐减量,此后继续每日服用 5 mg 泼尼松龙。MSSE 和外周血嗜酸性粒细胞增多对类固醇治疗有明显反应。该病例表明,我们应该高度警惕 MSSE 作为嗜酸性粒细胞性胃肠炎的首发临床表现。

https://cdn.ncbi.nlm.nih.gov/pmc/blobs/4ddc/7180310/f5f0940fdf6c/10.1177_0300060520917274-fig1.jpg

文献检索

告别复杂PubMed语法,用中文像聊天一样搜索,搜遍4000万医学文献。AI智能推荐,让科研检索更轻松。

立即免费搜索

文件翻译

保留排版,准确专业,支持PDF/Word/PPT等文件格式,支持 12+语言互译。

免费翻译文档

深度研究

AI帮你快速写综述,25分钟生成高质量综述,智能提取关键信息,辅助科研写作。

立即免费体验