• 文献检索
  • 文档翻译
  • 深度研究
  • 学术资讯
  • Suppr Zotero 插件Zotero 插件
  • 邀请有礼
  • 套餐&价格
  • 历史记录
应用&插件
Suppr Zotero 插件Zotero 插件浏览器插件Mac 客户端Windows 客户端微信小程序
定价
高级版会员购买积分包购买API积分包
服务
文献检索文档翻译深度研究API 文档MCP 服务
关于我们
关于 Suppr公司介绍联系我们用户协议隐私条款
关注我们

Suppr 超能文献

核心技术专利:CN118964589B侵权必究
粤ICP备2023148730 号-1Suppr @ 2026

文献检索

告别复杂PubMed语法,用中文像聊天一样搜索,搜遍4000万医学文献。AI智能推荐,让科研检索更轻松。

立即免费搜索

文件翻译

保留排版,准确专业,支持PDF/Word/PPT等文件格式,支持 12+语言互译。

免费翻译文档

深度研究

AI帮你快速写综述,25分钟生成高质量综述,智能提取关键信息,辅助科研写作。

立即免费体验

罕见的亚大块型肺栓塞合并右位异常锁骨下动脉和血栓Kommerell 憩室。

A Rare Case of Submassive Pulmonary Embolism with a Right Aberrant Subclavian Artery and Thrombosed Kommerell Diverticulum.

机构信息

Department of Cardiology, Fukuoka University School of Medicine, Japan.

出版信息

Intern Med. 2020 Aug 1;59(15):1861-1865. doi: 10.2169/internalmedicine.4495-20. Epub 2020 Apr 23.

DOI:10.2169/internalmedicine.4495-20
PMID:32321896
原文链接:https://pmc.ncbi.nlm.nih.gov/articles/PMC7474989/
Abstract

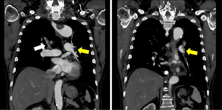
An 81-year-old man presented with shortness of breath and was referred to our hospital with suspected acute pulmonary embolism. Enhanced computed tomography revealed a right aberrant subclavian artery with a thrombosed Kommerell diverticulum (KD), as well as deep vein thrombosis in the left leg and bilateral pulmonary artery thrombosis. Thrombosis in the KD disappeared after one month of anticoagulation treatment with rivaroxaban. Thrombosis of a KD is a rare condition that may cause distal emboli and subclavian steal syndrome, although this syndrome was not present in this case. Rivaroxaban is an effective anticoagulant for treating thrombosis of a KD.

摘要

一位 81 岁男性因呼吸急促就诊,疑似急性肺栓塞,被转至我院。增强计算机断层扫描显示右侧迷走锁骨下动脉伴血栓形成的 Kommerell 憩室(KD),以及左腿深静脉血栓形成和双侧肺动脉血栓形成。利伐沙班抗凝治疗一个月后,KD 内血栓消失。KD 血栓形成是一种罕见的情况,可能导致远端栓塞和锁骨下窃血综合征,但本例中并未出现该综合征。利伐沙班是治疗 KD 血栓形成的有效抗凝药物。

https://cdn.ncbi.nlm.nih.gov/pmc/blobs/e922/7474989/caf5f51e64f5/1349-7235-59-1861-g005.jpg
https://cdn.ncbi.nlm.nih.gov/pmc/blobs/e922/7474989/ac6c4c6cb26e/1349-7235-59-1861-g001.jpg
https://cdn.ncbi.nlm.nih.gov/pmc/blobs/e922/7474989/951f72f99761/1349-7235-59-1861-g002.jpg
https://cdn.ncbi.nlm.nih.gov/pmc/blobs/e922/7474989/f63b15d14b7c/1349-7235-59-1861-g003.jpg
https://cdn.ncbi.nlm.nih.gov/pmc/blobs/e922/7474989/c8dc099c9bbc/1349-7235-59-1861-g004.jpg
https://cdn.ncbi.nlm.nih.gov/pmc/blobs/e922/7474989/caf5f51e64f5/1349-7235-59-1861-g005.jpg
https://cdn.ncbi.nlm.nih.gov/pmc/blobs/e922/7474989/ac6c4c6cb26e/1349-7235-59-1861-g001.jpg
https://cdn.ncbi.nlm.nih.gov/pmc/blobs/e922/7474989/951f72f99761/1349-7235-59-1861-g002.jpg
https://cdn.ncbi.nlm.nih.gov/pmc/blobs/e922/7474989/f63b15d14b7c/1349-7235-59-1861-g003.jpg
https://cdn.ncbi.nlm.nih.gov/pmc/blobs/e922/7474989/c8dc099c9bbc/1349-7235-59-1861-g004.jpg
https://cdn.ncbi.nlm.nih.gov/pmc/blobs/e922/7474989/caf5f51e64f5/1349-7235-59-1861-g005.jpg

相似文献

1
A Rare Case of Submassive Pulmonary Embolism with a Right Aberrant Subclavian Artery and Thrombosed Kommerell Diverticulum.罕见的亚大块型肺栓塞合并右位异常锁骨下动脉和血栓Kommerell 憩室。
Intern Med. 2020 Aug 1;59(15):1861-1865. doi: 10.2169/internalmedicine.4495-20. Epub 2020 Apr 23.
2
Right-sided aortic arch and Kommerell diverticulum with aberrant left subclavian artery: Preliminarily diagnosed by echocardiography.右侧主动脉弓并Kommerell憩室伴迷走左锁骨下动脉:经超声心动图初步诊断。
Echocardiography. 2019 Mar;36(3):618-620. doi: 10.1111/echo.14266. Epub 2019 Jan 28.
3
Natural history and management of Kommerell's diverticulum in a single tertiary referral center.单一三级转诊中心 Kommerell 憩室的自然史和治疗。
J Vasc Surg. 2020 Jun;71(6):2004-2011. doi: 10.1016/j.jvs.2019.08.260. Epub 2019 Nov 7.
4
[Right-side aortic arch with aberrant left subclavian artery and Kommerell's diverticulum. A cause of vascular ring].[右侧主动脉弓伴迷走左锁骨下动脉及Kommerell憩室。一种血管环病因]
Arch Cardiol Mex. 2017 Oct-Dec;87(4):345-348. doi: 10.1016/j.acmx.2017.03.006. Epub 2017 Jul 29.
5
Endovascular repair of a Kommerell diverticulum anomaly.科默雷尔憩室异常的血管内修复术。
Ann Thorac Surg. 2015 May;99(5):1801-3. doi: 10.1016/j.athoracsur.2014.06.094.
6
Hybrid repair of a ruptured right-sided aortic arch with an aberrant left subclavian artery arising from a diverticulum of Kommerell: a case report.杂交修复右侧主动脉弓破裂并伴有起源于Kommerell憩室的异常左锁骨下动脉:一例报告
World J Pediatr Congenit Heart Surg. 2014 Oct;5(4):623-6. doi: 10.1177/2150135114544754.
7
A Case of Isolated Unilateral Right Renal Vein Thrombosis Associated with Bilateral Pulmonary Embolism Treated with Rivaroxaban a Direct-Acting Oral Anticoagulant.1例孤立性单侧右肾静脉血栓形成合并双侧肺栓塞患者接受直接口服抗凝剂利伐沙班治疗。
Am J Case Rep. 2019 Aug 6;20:1152-1154. doi: 10.12659/AJCR.916638.
8
Aberrant left subclavian artery occlusion in right-sided aortic artery associated with left cerebral infarction: A case report.右侧主动脉弓伴左锁骨下动脉异常闭塞与左侧脑梗死:一例报告
Interv Neuroradiol. 2018 Jun;24(3):322-326. doi: 10.1177/1591019917753826. Epub 2018 Feb 21.
9
Aberrant right subclavian artery from an aneurysmal diverticulum of Kommerell in an 84-year-old man.一名84岁男性,其异常右锁骨下动脉源自Kommerell动脉瘤样憩室。
Am J Cardiol. 2007 Aug 1;100(3):556-8. doi: 10.1016/j.amjcard.2007.03.060. Epub 2007 Jun 15.
10
[Total arch replacement for right aortic arch with Kommerell diverticulum and aberrant left subclavian artery].[右位主动脉弓合并Kommerell憩室及迷走左锁骨下动脉的全弓置换术]
Kyobu Geka. 2003 May;56(5):403-5.

引用本文的文献

1
Aberrant right subclavian artery: a case of vertebrobasilar insufficiency.异常右锁骨下动脉:一例椎基底动脉供血不足病例
J Surg Case Rep. 2023 Apr 22;2023(4):rjad199. doi: 10.1093/jscr/rjad199. eCollection 2023 Apr.
2
Aberrant right subclavian artery: case report and literature review.迷走右锁骨下动脉:病例报告及文献综述
J Vasc Bras. 2023 Feb 20;22:e20210151. doi: 10.1590/1677-5449.202101512. eCollection 2023.

本文引用的文献

1
Natural history and management of Kommerell's diverticulum in a single tertiary referral center.单一三级转诊中心 Kommerell 憩室的自然史和治疗。
J Vasc Surg. 2020 Jun;71(6):2004-2011. doi: 10.1016/j.jvs.2019.08.260. Epub 2019 Nov 7.
2
Thrombosis of an Arteria Lusoria with Secondary Subclavian Steal Syndrome and Swallowing Difficulties.迷走动脉血栓形成伴继发性锁骨下动脉盗血综合征及吞咽困难
J Belg Soc Radiol. 2015 Dec 30;99(2):80-84. doi: 10.5334/jbr-btr.821.
3
Two-Stage Hybrid Repair in a Patient with Acute Type A Aortic Dissection Associated with Right Aortic Arch with Aberrant Left Subclavian Artery Originating from a Kommerell Diverticulum.
两阶段杂交修复术治疗1例急性A型主动脉夹层合并右位主动脉弓及起源于Kommerell憩室的迷走左锁骨下动脉患者。
Ann Vasc Dis. 2016;9(3):223-227. doi: 10.3400/avd.cr.16-00013. Epub 2016 Jul 26.
4
Thrombosis of Kommerell's diverticulum with subclavian steal phenomenon in a patient with non-small cell lung carcinoma under chemotherapy.一名接受化疗的非小细胞肺癌患者出现Kommerell憩室血栓形成伴锁骨下动脉盗血现象。
Eur J Radiol Open. 2016 Jul 30;3:191-4. doi: 10.1016/j.ejro.2016.07.005. eCollection 2016.
5
Contemporary surgical approaches and outcomes in adults with Kommerell diverticulum.成人 Kommerell 憩室的当代手术方法及治疗结果
Ann Thorac Surg. 2014 Oct;98(4):1347-54. doi: 10.1016/j.athoracsur.2014.05.045. Epub 2014 Aug 16.
6
Hybrid treatment for ruptured diverticulum of kommerell: a minimally invasive option.科梅尔憩室破裂的杂交治疗:一种微创选择。
Ann Thorac Surg. 2013 Apr;95(4):e95-6. doi: 10.1016/j.athoracsur.2012.09.072.
7
Burckhard F. Kommerell and Kommerell's diverticulum.伯克哈德·F·科默雷尔与科默雷尔憩室
Tex Heart Inst J. 2002;29(2):109-12.
8
Operation for aortic arch anomalies.主动脉弓畸形手术
Ann Thorac Surg. 1981 May;31(5):426-32. doi: 10.1016/s0003-4975(10)60994-0.