Suppr超能文献

儿童与蹦床相关的胫骨近端撞击骨折:2006年至2017年基于人群的流行病学及影像学研究

Trampoline-related proximal tibia impaction fractures in children: a population-based approach to epidemiology and radiographic findings between 2006 and 2017.

作者信息

Jääskelä Maija, Kuivalainen Laura, Victorzon Sarita, Serlo Willy, Lempainen Lasse, Sinikumpu Juha-Jaakko

机构信息

Department of Children and Adolescents, Pediatric Surgery and Orthopaedics, Oulu University Hospital and PEDEGO research group, MRC Oulu, Oulu University, Oulu, Finland.

Department of Radiology, Vaasa Central Hospital, Vaasa, Finland.

出版信息

J Child Orthop. 2020 Apr 1;14(2):125-131. doi: 10.1302/1863-2548.14.190177.

Abstract

PURPOSE

Proximal tibia impaction fractures are specific injuries, usually caused by trampolining. They may associate with later growth disturbances. There is sparse understanding about their recent epidemiology, in particular the changing incidence. Their typical radiographic findings are not completely known.

METHODS

All children, aged < 16 years, who had suffered from proximal tibia fracture in Oulu Arc and Oulu between 2006 and 2017 were enrolled (n = 101). Their annual incidence was determined using the official population-at-risk, obtained from the Statistics Finland. The specific characteristics and risk factors of the patients and their fractures were evaluated. Radiographic findings were analyzed, in particular the anterior tilting of the proximal growth plate, due to impaction.

RESULTS

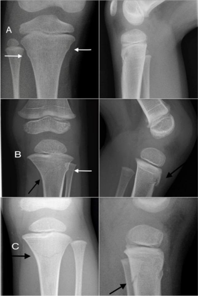
The annual incidence increased two-fold from 9.5 per 100 000 children (2006 to 2009) to 22.0 per 100 000 (2014 to 2017) (difference: 12.5; 95% confidence interval 5.1 to 20.3 per 100 000; p = 0.0008). The mean annual incidence of trampoline impaction leg fractures was 15.4 per 100 000 children. In 80% of the cases multiple children had been jumping together on the trampoline. Anterior tilting (mean 7.3°, SD 2.5°, 6.1° to 19.1°) ) of the proximal tibial plate was seen in 68.3% of the patients. Satisfactory bone union was found in 92.7% during follow-up. Isolated patients presented delayed bone healing.

CONCLUSION

The incidence of trampoline leg fractures has increased 130% during the 12 years of the study period. Many of these injuries could have been prevented by avoiding having several jumpers on the trampoline at the same time. Anterior tilting of the growth plate was a common finding and should be recognized in the primary radiographs.

LEVEL OF EVIDENCE

IV.

摘要

目的

胫骨近端嵌插骨折是一种特殊损伤,通常由蹦床运动导致。它们可能与后期生长发育障碍相关。目前对其近期流行病学,尤其是发病率的变化了解甚少。其典型的影像学表现也不完全清楚。

方法

纳入2006年至2017年在奥卢地区和奥卢市发生胫骨近端骨折的所有16岁以下儿童(n = 101)。使用从芬兰统计局获取的官方危险人群数据确定其年发病率。评估患者及其骨折的具体特征和危险因素。分析影像学表现,特别是由于嵌插导致的近端生长板前倾情况。

结果

年发病率从每10万名儿童9.5例(2006年至2009年)增加了两倍,达到每10万名儿童22.0例(2014年至2017年)(差异:12.5;95%置信区间为每10万名儿童5.1至20.3例;p = 0.0008)。蹦床导致的腿部嵌插骨折的年平均发病率为每10万名儿童15.4例。在80%的病例中,多个儿童同时在蹦床上跳跃。68.3%的患者出现胫骨近端生长板前倾(平均7.3°,标准差2.5°,6.1°至19.1°)。随访期间92.7%的患者实现了满意的骨愈合。个别患者出现骨愈合延迟。

结论

在研究的12年期间,蹦床导致的腿部骨折发病率增加了130%。通过避免多个跳跃者同时在蹦床上,可以预防许多此类损伤。生长板前倾是常见表现,应在初次X线片上予以识别。

证据级别

IV级

https://cdn.ncbi.nlm.nih.gov/pmc/blobs/1c7e/7184643/8e327dc03897/jco-14-125-g0001.jpg

相似文献

3
Trampoline-related fractures of the proximal tibia in children.
J Orthop Surg Res. 2021 Sep 8;16(1):551. doi: 10.1186/s13018-021-02707-9.
5
Treatment of typical trampoline fracture of the proximal tibia in children: results of minimum 1 year follow-up.
Eur J Trauma Emerg Surg. 2021 Jun;47(3):811-816. doi: 10.1007/s00068-019-01266-3. Epub 2019 Nov 16.
6
Buckle fracture of the proximal tibia in children and frequency of association with trampoline and inflatable bouncer use.
Pediatr Radiol. 2019 Sep;49(10):1327-1334. doi: 10.1007/s00247-019-04450-0. Epub 2019 Jun 19.
7
Girl predominance in trampoline-related forearm shaft fractures and their increasing incidence since 2000.
BMC Musculoskelet Disord. 2023 Feb 28;24(1):153. doi: 10.1186/s12891-023-06241-z.
8
Bilateral trampoline fracture of the proximal tibia in a child.
Radiol Case Rep. 2017 Sep 1;12(4):798-800. doi: 10.1016/j.radcr.2017.07.020. eCollection 2017 Dec.
9
Trampoline related injuries in children: risk factors and radiographic findings.
World J Pediatr. 2013 May;9(2):169-74. doi: 10.1007/s12519-013-0416-2. Epub 2013 May 16.
10
Trampoline fracture of the proximal tibial metaphysis in children may not progress into valgus: a report of seven cases and a brief review.
Orthop Traumatol Surg Res. 2012 Jun;98(4):446-9. doi: 10.1016/j.otsr.2012.02.007. Epub 2012 May 12.

引用本文的文献

3
Femoral neck stress fractures after trampoline exercise: A case report.
World J Clin Cases. 2021 Jun 26;9(18):4783-4788. doi: 10.12998/wjcc.v9.i18.4783.

本文引用的文献

1
Trampoline injuries compared with other child activities.
Arch Pediatr. 2019 Jul;26(5):282-284. doi: 10.1016/j.arcped.2019.05.008. Epub 2019 Jul 4.
2
Varus shearing force is a main injury mechanism of pediatric trampoline-related injury in addition to compressive axial loading.
PLoS One. 2019 Jun 5;14(6):e0217863. doi: 10.1371/journal.pone.0217863. eCollection 2019.
3
Children bouncing to the emergency department: Changes in trampoline injury patterns.
J Paediatr Child Health. 2019 Feb;55(2):175-180. doi: 10.1111/jpc.14144. Epub 2018 Aug 9.
5
Severe Trampoline Injuries: Incidence and Risk Factors in Children and Adolescents.
Eur J Pediatr Surg. 2018 Dec;28(6):529-533. doi: 10.1055/s-0037-1608676. Epub 2017 Nov 22.
6
Trampoline Park and Home Trampoline Injuries.
Pediatrics. 2016 Sep;138(3). doi: 10.1542/peds.2016-1236. Epub 2016 Aug 1.
7
Australian trampoline injury patterns and trends.
Aust N Z J Public Health. 2015 Oct;39(5):491-4. doi: 10.1111/1753-6405.12404. Epub 2015 Jun 29.
8
[Trampoline-related injuries in children: an increasing problem].
Sportverletz Sportschaden. 2014 Jun;28(2):69-74. doi: 10.1055/s-0034-1366544. Epub 2014 Jun 25.

文献AI研究员

20分钟写一篇综述,助力文献阅读效率提升50倍。

立即体验

用中文搜PubMed

大模型驱动的PubMed中文搜索引擎

马上搜索

文档翻译

学术文献翻译模型,支持多种主流文档格式。

立即体验