• 文献检索
  • 文档翻译
  • 深度研究
  • 学术资讯
  • Suppr Zotero 插件Zotero 插件
  • 邀请有礼
  • 套餐&价格
  • 历史记录
应用&插件
Suppr Zotero 插件Zotero 插件浏览器插件Mac 客户端Windows 客户端微信小程序
定价
高级版会员购买积分包购买API积分包
服务
文献检索文档翻译深度研究API 文档MCP 服务
关于我们
关于 Suppr公司介绍联系我们用户协议隐私条款
关注我们

Suppr 超能文献

核心技术专利:CN118964589B侵权必究
粤ICP备2023148730 号-1Suppr @ 2026

文献检索

告别复杂PubMed语法,用中文像聊天一样搜索,搜遍4000万医学文献。AI智能推荐,让科研检索更轻松。

立即免费搜索

文件翻译

保留排版,准确专业,支持PDF/Word/PPT等文件格式,支持 12+语言互译。

免费翻译文档

深度研究

AI帮你快速写综述,25分钟生成高质量综述,智能提取关键信息,辅助科研写作。

立即免费体验

Syncope as the presenting symptom of COVID-19 infection.

作者信息

Ebrille Elisa, Lucciola Maria Teresa, Amellone Claudia, Ballocca Flavia, Orlando Fabrizio, Giammaria Massimo

机构信息

Cardiology Division, Maria Vittoria Hospital, Turin, Italy.

出版信息

HeartRhythm Case Rep. 2020 May 5;6(7):363-366. doi: 10.1016/j.hrcr.2020.04.015. eCollection 2020 Jul.

DOI:10.1016/j.hrcr.2020.04.015
PMID:32373465
原文链接:https://pmc.ncbi.nlm.nih.gov/articles/PMC7198999/
Abstract
摘要
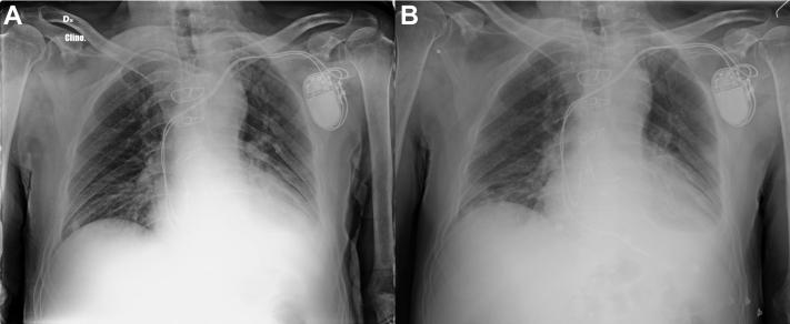
https://cdn.ncbi.nlm.nih.gov/pmc/blobs/89fa/7361181/aba3d5cf1c34/gr3.jpg
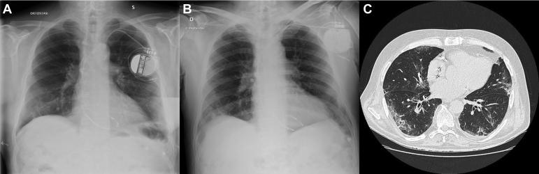
https://cdn.ncbi.nlm.nih.gov/pmc/blobs/89fa/7361181/b5fb889645be/gr1.jpg
https://cdn.ncbi.nlm.nih.gov/pmc/blobs/89fa/7361181/0844e2dc7b0b/gr2.jpg
https://cdn.ncbi.nlm.nih.gov/pmc/blobs/89fa/7361181/aba3d5cf1c34/gr3.jpg
https://cdn.ncbi.nlm.nih.gov/pmc/blobs/89fa/7361181/b5fb889645be/gr1.jpg
https://cdn.ncbi.nlm.nih.gov/pmc/blobs/89fa/7361181/0844e2dc7b0b/gr2.jpg
https://cdn.ncbi.nlm.nih.gov/pmc/blobs/89fa/7361181/aba3d5cf1c34/gr3.jpg

相似文献

1
Syncope as the presenting symptom of COVID-19 infection.晕厥作为新型冠状病毒肺炎感染的首发症状
HeartRhythm Case Rep. 2020 May 5;6(7):363-366. doi: 10.1016/j.hrcr.2020.04.015. eCollection 2020 Jul.
2
Syncope and COVID-19 disease - A systematic review.晕厥与 COVID-19 疾病——系统综述。
Auton Neurosci. 2021 Nov;235:102872. doi: 10.1016/j.autneu.2021.102872. Epub 2021 Aug 27.
3
Frequency of syncope as a presenting symptom in channelopathies diagnosed in childhood. Can the multivariable EGSYS score unmask these children?作为儿童期诊断的通道病的首发症状,晕厥的发生频率。多变量 EGSYS 评分能否揭示这些患儿?
Eur J Pediatr. 2021 May;180(5):1553-1559. doi: 10.1007/s00431-020-03913-z. Epub 2021 Jan 15.
4
[Syncope as the only symptom of SARS-CoV-2 infection].[晕厥作为新型冠状病毒2型感染的唯一症状]
Orv Hetil. 2021 Feb 14;162(7):243-245. doi: 10.1556/650.2021.32088.
5
Syncope in patients with pulmonary embolism: comparison between patients with syncope as the presenting symptom of pulmonary embolism and patients with pulmonary embolism without syncope.肺栓塞患者的晕厥:以晕厥为肺栓塞首发症状的患者与无晕厥的肺栓塞患者的比较。
Vasc Med. 2003 Nov;8(4):257-61. doi: 10.1191/1358863x03vm510oa.
6
Craniocervical Junction Meningiomas without Hydrocephalus Presenting Solely with Syncope: Report of 2 Cases.颅颈交界区脑膜瘤不伴脑积水仅表现为晕厥:2 例报告。
World Neurosurg. 2018 Jun;114:161-164. doi: 10.1016/j.wneu.2018.03.009. Epub 2018 Mar 15.
7
Convulsive syncope as presenting symptom of carotid body tumors: Case series.惊厥性晕厥作为颈动脉体瘤的首发症状:病例系列
J Res Med Sci. 2013 Feb;18(2):164-6.
8
Delayed Vasovagal Reaction with Reflex Syncope Following COVID-19 Vaccination.接种 COVID-19 疫苗后出现血管迷走性反应延迟伴反射性晕厥。
Intern Med. 2022 Jul 15;61(14):2167-2170. doi: 10.2169/internalmedicine.9318-21. Epub 2022 May 14.
9
Syncope, Near Syncope, or Nonmechanical Falls as a Presenting Feature of COVID-19.晕厥、接近晕厥或非机械性跌倒作为新型冠状病毒肺炎的首发症状
Ann Emerg Med. 2020 Jul;76(1):115-117. doi: 10.1016/j.annemergmed.2020.04.037. Epub 2020 May 8.
10
COVID-19 in a Patient Presenting with Syncope and a Normal Chest X-ray.一名表现为晕厥且胸部X光正常的患者感染新型冠状病毒肺炎
R I Med J (2013). 2020 Mar 26;103(3):50-51.

引用本文的文献

1
Application of in-silico drug discovery techniques to discover a novel hit for target-specific inhibition of SARS-CoV-2 Mpro's revealed allosteric binding with MAO-B receptor: A theoretical study to find a cure for post-covid neurological disorder.基于计算机的药物发现技术在发现针对 SARS-CoV-2 Mpro 的新型靶标特异性抑制剂方面的应用:与 MAO-B 受体的变构结合揭示:针对新冠后神经紊乱的治疗方法的理论研究。
PLoS One. 2024 Jan 16;19(1):e0286848. doi: 10.1371/journal.pone.0286848. eCollection 2024.
2
Exploring the Role of ACE2 as a Connecting Link between COVID-19 and Parkinson's Disease.探索血管紧张素转换酶2(ACE2)作为2019冠状病毒病(COVID-19)与帕金森病之间联系纽带的作用。
Life (Basel). 2023 Feb 15;13(2):536. doi: 10.3390/life13020536.
3

本文引用的文献

1
Cardiovascular Pharmacology in the Time of COVID-19: A Focus on Angiotensin-Converting Enzyme 2.新型冠状病毒肺炎疫情时期的心血管药理学:聚焦血管紧张素转换酶 2
J Cardiovasc Pharmacol. 2020 Jun;75(6):526-529. doi: 10.1097/FJC.0000000000000840.
2
Central nervous system manifestations of COVID-19: A systematic review.COVID-19 相关的中枢神经系统表现:一项系统性综述。
J Neurol Sci. 2020 Jun 15;413:116832. doi: 10.1016/j.jns.2020.116832. Epub 2020 Apr 11.
3
The Role of Cytokines including Interleukin-6 in COVID-19 induced Pneumonia and Macrophage Activation Syndrome-Like Disease.
Characteristics of chest pain in COVID-19 patients in the emergency department.
急诊科新冠肺炎患者胸痛的特征
Neth Heart J. 2022 Nov;30(11):526-532. doi: 10.1007/s12471-022-01730-7. Epub 2022 Oct 21.
4
Factors Associated with Falls During Hospitalization for Coronavirus Disease 2019 (COVID-19).与 2019 年冠状病毒病(COVID-19)住院期间跌倒相关的因素。
Med Sci Monit. 2022 May 27;28:e936547. doi: 10.12659/MSM.936547.
5
Asystole in a COVID-19 patient without systemic illness: a case report.一名无全身疾病的新冠肺炎患者出现心搏停止:病例报告
Oxf Med Case Reports. 2022 Mar 16;2022(3):omac014. doi: 10.1093/omcr/omac014. eCollection 2022 Mar.
6
Prevalence of symptoms in 1512 COVID-19 patients: have dizziness and vertigo been underestimated thus far?1512 例 COVID-19 患者症状的流行情况:迄今为止,头晕和眩晕是否被低估了?
Intern Emerg Med. 2022 Aug;17(5):1343-1353. doi: 10.1007/s11739-022-02930-0. Epub 2022 Jan 30.
7
A case report of severe cardioinhibitory reflex syncope associated with coronavirus disease 2019.1例与2019冠状病毒病相关的严重心脏抑制性反射性晕厥病例报告
Eur Heart J Case Rep. 2022 Jan 3;6(1):ytab524. doi: 10.1093/ehjcr/ytab524. eCollection 2022 Jan.
8
Neurally Mediated Syncope Triggered by COVID-19 Nasopharyngeal Swab Specimen Collection: A Case Report.新型冠状病毒肺炎鼻咽拭子标本采集引发的神经介导性晕厥:一例报告
Allergy Rhinol (Providence). 2022 Jan 19;13:21526567211073794. doi: 10.1177/21526567211073794. eCollection 2022 Jan-Dec.
9
Vitamin D and its' role in Parkinson's disease patients with SARS-CoV-2 infection. A review article.维生素D及其在感染新型冠状病毒肺炎的帕金森病患者中的作用。一篇综述文章。
Interdiscip Neurosurg. 2022 Mar;27:101441. doi: 10.1016/j.inat.2021.101441. Epub 2021 Nov 28.
10
Linking COVID-19 and Parkinson's disease: Targeting the role of Vitamin-D.将新冠病毒疾病与帕金森病联系起来:针对维生素D的作用
Biochem Biophys Res Commun. 2021 Oct 19;583:14-21. doi: 10.1016/j.bbrc.2021.10.042.
细胞因子(包括白细胞介素 6)在 COVID-19 诱导性肺炎和巨噬细胞活化综合征样疾病中的作用。
Autoimmun Rev. 2020 Jun;19(6):102537. doi: 10.1016/j.autrev.2020.102537. Epub 2020 Apr 3.
4
Guidance for cardiac electrophysiology during the COVID-19 pandemic from the Heart Rhythm Society COVID-19 Task Force; Electrophysiology Section of the American College of Cardiology; and the Electrocardiography and Arrhythmias Committee of the Council on Clinical Cardiology, American Heart Association.COVID-19 大流行期间心脏电生理学的指南:心律学会 COVID-19 工作组;美国心脏病学会电生理学分会;美国心脏协会临床心脏病学理事会心电图和心律失常委员会。
Heart Rhythm. 2020 Sep;17(9):e233-e241. doi: 10.1016/j.hrthm.2020.03.028. Epub 2020 Apr 1.
5
Coronavirus Disease 2019 (COVID-19) Infection and Renin Angiotensin System Blockers.2019冠状病毒病(COVID-19)感染与肾素-血管紧张素系统阻滞剂
JAMA Cardiol. 2020 Jul 1;5(7):745-747. doi: 10.1001/jamacardio.2020.1282.
6
Clinical Characteristics of Coronavirus Disease 2019 in China.《中国 2019 年冠状病毒病临床特征》
N Engl J Med. 2020 Apr 30;382(18):1708-1720. doi: 10.1056/NEJMoa2002032. Epub 2020 Feb 28.
7
2018 ESC Guidelines for the diagnosis and management of syncope.2018年欧洲心脏病学会晕厥诊断和管理指南。
Eur Heart J. 2018 Jun 1;39(21):1883-1948. doi: 10.1093/eurheartj/ehy037.
8
Inflammatory cytokines in vascular dysfunction and vascular disease.血管功能障碍和血管疾病中的炎性细胞因子。
Biochem Pharmacol. 2009 Sep 15;78(6):539-52. doi: 10.1016/j.bcp.2009.04.029. Epub 2009 May 4.