• 文献检索
  • 文档翻译
  • 深度研究
  • 学术资讯
  • Suppr Zotero 插件Zotero 插件
  • 邀请有礼
  • 套餐&价格
  • 历史记录
应用&插件
Suppr Zotero 插件Zotero 插件浏览器插件Mac 客户端Windows 客户端微信小程序
定价
高级版会员购买积分包购买API积分包
服务
文献检索文档翻译深度研究API 文档MCP 服务
关于我们
关于 Suppr公司介绍联系我们用户协议隐私条款
关注我们

Suppr 超能文献

核心技术专利:CN118964589B侵权必究
粤ICP备2023148730 号-1Suppr @ 2026

文献检索

告别复杂PubMed语法,用中文像聊天一样搜索,搜遍4000万医学文献。AI智能推荐,让科研检索更轻松。

立即免费搜索

文件翻译

保留排版,准确专业,支持PDF/Word/PPT等文件格式,支持 12+语言互译。

免费翻译文档

深度研究

AI帮你快速写综述,25分钟生成高质量综述,智能提取关键信息,辅助科研写作。

立即免费体验

苯磷硫胺,一种 NADPH 氧化酶抑制剂,对异丙肾上腺素诱导的大鼠心肌梗死的有益作用。

Beneficial effects of benfotiamine, a NADPH oxidase inhibitor, in isoproterenol-induced myocardial infarction in rats.

机构信息

Department of Pharmacology and Toxicology, Faculty of Pharmacy, Cairo University, Giza, Egypt.

Department of Pharmacology and Toxicology, Faculty of Pharmacy, MSA University, 6th of October City, Egypt.

出版信息

PLoS One. 2020 May 8;15(5):e0232413. doi: 10.1371/journal.pone.0232413. eCollection 2020.

DOI:10.1371/journal.pone.0232413
PMID:32384080
原文链接:https://pmc.ncbi.nlm.nih.gov/articles/PMC7209119/
Abstract

BACKGROUND

Acute myocardial infarction (AMI) remains the most common cause of morbidity and mortality worldwide. The present study was directed to investigate the beneficial effects of benfotiamine pre- and post-treatments in isoproterenol (ISO)-induced MI in rats.

METHODS

Myocardial heart damage was induced by subcutaneous injection of ISO (150 mg/kg) once daily for two consecutive days. Benfotiamine (100 mg/kg/day) was given orally for two weeks before or after ISO treatment.

RESULTS

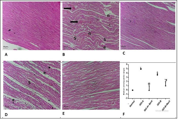
ISO administration revealed significant changes in electrocardiographic recordings, elevation of levels of cardiac enzymes; creatinine kinase (CK-MB) and troponin-I (cTn-I), and perturbation of markers of oxidative stress; nicotinamide adenine dinucleotide phosphate (NADPH) oxidase, malondialdehyde (MDA), reduced glutathione (GSH), superoxide dismutase (SOD) and glutathione peroxidase (GPx) and markers of inflammation; protein kinase C (PKC), nuclear factor-kappa B (NF-κB) and metalloproteinase-9 (MMP-9). The apoptotic markers (caspase-8 and p53) were also significantly elevated in ISO groups in addition to histological alterations. Groups treated with benfotiamine pre- and post-ISO administration showed significantly decreased cardiac enzymes levels and improved oxidative stress, inflammatory and apoptotic markers compared to the ISO groups.

CONCLUSION

The current study highlights the potential role of benfotiamine as a promising agent for prophylactic and therapeutic interventions in myocardial damage in several cardiovascular disorders via NADPH oxidase inhibition.

摘要

背景

急性心肌梗死(AMI)仍然是全球发病率和死亡率最高的疾病。本研究旨在探讨苯磷硫胺素预处理和后处理对异丙肾上腺素(ISO)诱导的大鼠心肌梗死的有益作用。

方法

通过皮下注射 ISO(150mg/kg),每天一次,连续两天,诱导心肌损伤。苯磷硫胺素(100mg/kg/天)在 ISO 处理前或后口服给药两周。

结果

ISO 给药后心电图记录、心脏酶水平升高;肌酸激酶同工酶(CK-MB)和肌钙蛋白 I(cTn-I),氧化应激标志物紊乱;烟酰胺腺嘌呤二核苷酸磷酸(NADPH)氧化酶、丙二醛(MDA)、还原型谷胱甘肽(GSH)、超氧化物歧化酶(SOD)和谷胱甘肽过氧化物酶(GPx)和炎症标志物;蛋白激酶 C(PKC)、核因子-κB(NF-κB)和金属蛋白酶-9(MMP-9)。ISO 组还显著升高了凋亡标志物(caspase-8 和 p53),此外还存在组织学改变。与 ISO 组相比,苯磷硫胺素预处理和后处理组的心脏酶水平显著降低,氧化应激、炎症和凋亡标志物得到改善。

结论

本研究强调了苯磷硫胺素作为一种有前途的预防和治疗多种心血管疾病心肌损伤的药物的潜力,其作用机制可能与 NADPH 氧化酶抑制有关。

https://cdn.ncbi.nlm.nih.gov/pmc/blobs/92f8/7209119/a184a404c35e/pone.0232413.g005.jpg
https://cdn.ncbi.nlm.nih.gov/pmc/blobs/92f8/7209119/98b8c42e0f70/pone.0232413.g001.jpg
https://cdn.ncbi.nlm.nih.gov/pmc/blobs/92f8/7209119/6b15c6f6b3f7/pone.0232413.g002.jpg
https://cdn.ncbi.nlm.nih.gov/pmc/blobs/92f8/7209119/a065f2258f47/pone.0232413.g003.jpg
https://cdn.ncbi.nlm.nih.gov/pmc/blobs/92f8/7209119/5b802638566f/pone.0232413.g004.jpg
https://cdn.ncbi.nlm.nih.gov/pmc/blobs/92f8/7209119/a184a404c35e/pone.0232413.g005.jpg
https://cdn.ncbi.nlm.nih.gov/pmc/blobs/92f8/7209119/98b8c42e0f70/pone.0232413.g001.jpg
https://cdn.ncbi.nlm.nih.gov/pmc/blobs/92f8/7209119/6b15c6f6b3f7/pone.0232413.g002.jpg
https://cdn.ncbi.nlm.nih.gov/pmc/blobs/92f8/7209119/a065f2258f47/pone.0232413.g003.jpg
https://cdn.ncbi.nlm.nih.gov/pmc/blobs/92f8/7209119/5b802638566f/pone.0232413.g004.jpg
https://cdn.ncbi.nlm.nih.gov/pmc/blobs/92f8/7209119/a184a404c35e/pone.0232413.g005.jpg

相似文献

1
Beneficial effects of benfotiamine, a NADPH oxidase inhibitor, in isoproterenol-induced myocardial infarction in rats.苯磷硫胺,一种 NADPH 氧化酶抑制剂,对异丙肾上腺素诱导的大鼠心肌梗死的有益作用。
PLoS One. 2020 May 8;15(5):e0232413. doi: 10.1371/journal.pone.0232413. eCollection 2020.
2
Inhibition of NADPH oxidase by apocynin promotes myocardial antioxidant response and prevents isoproterenol-induced myocardial oxidative stress in rats.阿朴肉桂酸抑制烟酰胺腺嘌呤二核苷酸磷酸氧化酶促进大鼠心肌抗氧化反应并预防异丙肾上腺素诱导的心肌氧化应激。
Free Radic Res. 2017 Oct;51(9-10):772-786. doi: 10.1080/10715762.2017.1375486. Epub 2017 Oct 3.
3
Preventive effects of selenium yeast, chromium picolinate, zinc sulfate and their combination on oxidative stress, inflammation, impaired angiogenesis and atherogenesis in myocardial infarction in rats.富硒酵母、吡啶甲酸铬、硫酸锌及其组合对大鼠心肌梗死后氧化应激、炎症、血管生成受损和动脉粥样硬化的预防作用。
J Pharm Pharm Sci. 2013;16(5):848-67. doi: 10.18433/j34c7n.
4
Effects of carnosine on prooxidant-antioxidant status in heart tissue, plasma and erythrocytes of rats with isoproterenol-induced myocardial infarction.肉碱对异丙肾上腺素诱导心肌梗死大鼠心脏组织、血浆和红细胞中促氧化剂-抗氧化剂状态的影响。
Pharmacol Rep. 2014 Feb;66(1):81-6. doi: 10.1016/j.pharep.2013.08.008. Epub 2014 Feb 1.
5
Punicalagin attenuates isoproterenol-induced myocardial infarction through nuclear factor erythroid 2-related factor 2/silent information regulator transcript-1-mediated inhibition of inflammation and cardiac stress markers in experimental animal models.单宁酸通过核因子红细胞 2 相关因子 2/沉默信息调节转录因子 1 介导的抑制炎症和心脏应激标志物,减轻异丙肾上腺素诱导的心肌梗死在实验动物模型中。
J Physiol Pharmacol. 2024 Apr;75(2):123-136. doi: 10.26402/jpp.2024.2.02. Epub 2024 May 6.
6
Kampeferol protects against oxidative stress and apoptotic damage in experimental model of isoproterenol-induced cardiac toxicity in rats.山奈酚对异丙肾上腺素诱导的大鼠心脏毒性实验模型中的氧化应激和细胞凋亡损伤具有保护作用。
Phytomedicine. 2016 Nov 15;23(12):1401-1408. doi: 10.1016/j.phymed.2016.07.015. Epub 2016 Aug 4.
7
Effect of Fraxetin on Oxidative Damage Caused by Isoproterenol-Induced Myocardial Infarction in Rats.瑞香素对异丙肾上腺素诱导大鼠心肌梗死氧化损伤的影响。
Appl Biochem Biotechnol. 2022 Dec;194(12):5666-5679. doi: 10.1007/s12010-022-04019-y. Epub 2022 Jul 8.
8
A novel synthetised sulphonylhydrazone coumarin (E)-4-methyl-N'-(1-(3-oxo-3H-benzo[f]chromen-2- yl)ethylidene)benzenesulphonohydrazide protect against isoproterenol-induced myocardial infarction in rats by attenuating oxidative damage, biological changes and electrocardiogram.一种新型合成的磺酰基腙香豆素(E)-4-甲基-N'-(1-(3-氧代-3H-苯并[f]色烯-2-基)亚乙基)苯磺酰基腙通过减轻氧化损伤、生物变化和心电图来保护大鼠免受异丙肾上腺素引起的心肌梗死。
Clin Exp Pharmacol Physiol. 2022 Sep;49(9):1010-1026. doi: 10.1111/1440-1681.13690. Epub 2022 Jul 24.
9
Punicalagin attenuates myocardial oxidative damage, inflammation, and apoptosis in isoproterenol-induced myocardial infarction in rats: Biochemical, immunohistochemical, and in silico molecular docking studies.单宁酸减轻异丙肾上腺素诱导的大鼠心肌梗死后心肌氧化损伤、炎症和细胞凋亡:生化、免疫组化和计算机分子对接研究。
Chem Biol Interact. 2023 Nov 1;385:110745. doi: 10.1016/j.cbi.2023.110745. Epub 2023 Oct 6.
10
Cardioprotective effect of rosuvastatin against isoproterenol-induced myocardial infarction injury in rats.罗苏伐他汀对异丙肾上腺素诱导的大鼠心肌梗死损伤的心脏保护作用。
Int J Mol Med. 2018 Jun;41(6):3509-3516. doi: 10.3892/ijmm.2018.3572. Epub 2018 Mar 15.

引用本文的文献

1
Evaluation of the protective effect of Benfotiamine against neurotoxic effects, depression and oxidative stress induced by noise exposure.评估苯磷硫胺对噪声暴露诱导的神经毒性作用、抑郁和氧化应激的保护作用。
Sci Rep. 2025 Aug 26;15(1):31336. doi: 10.1038/s41598-025-17447-7.
2
Comparative efficacy of sweated and non-sweated Bge. extracts on acute myocardial ischemia via regulating the PPARα/RXRα/NF-κB signaling pathway.发汗与未发汗的地锦提取物通过调节PPARα/RXRα/NF-κB信号通路对急性心肌缺血的比较疗效
Heliyon. 2024 May 27;10(11):e31923. doi: 10.1016/j.heliyon.2024.e31923. eCollection 2024 Jun 15.
3
Protective Effect of Uridine on Structural and Functional Rearrangements in Heart Mitochondria after a High-Dose Isoprenaline Exposure Modelling Stress-Induced Cardiomyopathy in Rats.

本文引用的文献

1
Protective role of Gentianella acuta on isoprenaline induced myocardial fibrosis in rats via inhibition of NF-κB pathway.獐芽菜对异丙肾上腺素诱导的大鼠心肌纤维化的保护作用:通过抑制 NF-κB 通路。
Biomed Pharmacother. 2019 Feb;110:733-741. doi: 10.1016/j.biopha.2018.12.029. Epub 2018 Dec 13.
2
Therapeutic potential of benfotiamine and its molecular targets.苯磷硫胺及其分子靶标的治疗潜力。
Eur Rev Med Pharmacol Sci. 2018 May;22(10):3261-3273. doi: 10.26355/eurrev_201805_15089.
3
Paradoxical effects of atorvastatin in isoproterenol-induced cardiotoxicity in rats: Role of oxidative stress and inflammation.
高剂量异丙肾上腺素暴露建模应激诱导的大鼠心肌病后尿苷对心肌线粒体结构和功能重排的保护作用。
Int J Mol Sci. 2023 Dec 9;24(24):17300. doi: 10.3390/ijms242417300.
4
Enhancement of cardiac angiogenesis in a myocardial infarction rat model using selenium alone and in combination with PTXF: the role of Akt/HIF-1α signaling pathway.单独使用和联合使用 PTXF 增强心肌梗死后大鼠模型中心血管生成:Akt/HIF-1α 信号通路的作用。
Naunyn Schmiedebergs Arch Pharmacol. 2024 Jul;397(7):4677-4692. doi: 10.1007/s00210-023-02904-9. Epub 2023 Dec 19.
5
Methylglyoxal in Cardiometabolic Disorders: Routes Leading to Pathology Counterbalanced by Treatment Strategies.甲基乙二醛在心脏代谢紊乱中的作用:导致病理的途径与治疗策略相平衡。
Molecules. 2023 Nov 24;28(23):7742. doi: 10.3390/molecules28237742.
6
Thiamine and benfotiamine: Focus on their therapeutic potential.硫胺素和苯磷硫胺:关注它们的治疗潜力。
Heliyon. 2023 Nov 7;9(11):e21839. doi: 10.1016/j.heliyon.2023.e21839. eCollection 2023 Nov.
7
Oxidative stress and epigenetics in ocular vascular aging: an updated review.氧化应激与眼血管衰老的表观遗传学:最新综述。
Mol Med. 2023 Feb 27;29(1):28. doi: 10.1186/s10020-023-00624-7.
8
Effect of Fraxetin on Oxidative Damage Caused by Isoproterenol-Induced Myocardial Infarction in Rats.瑞香素对异丙肾上腺素诱导大鼠心肌梗死氧化损伤的影响。
Appl Biochem Biotechnol. 2022 Dec;194(12):5666-5679. doi: 10.1007/s12010-022-04019-y. Epub 2022 Jul 8.
9
Metabolic Therapy of Heart Failure: Is There a Future for B Vitamins?心力衰竭的代谢治疗:B 族维生素有未来吗?
Int J Mol Sci. 2021 Dec 21;23(1):30. doi: 10.3390/ijms23010030.
阿托伐他汀在异丙肾上腺素诱导的大鼠心脏毒性中的矛盾作用:氧化应激和炎症的作用。
Biomed Pharmacother. 2018 Aug;104:542-549. doi: 10.1016/j.biopha.2018.05.005. Epub 2018 May 25.
4
Protective effect of scutellarin on myocardial infarction induced by isoprenaline in rats.灯盏花素对异丙肾上腺素诱导的大鼠心肌梗死的保护作用。
Iran J Basic Med Sci. 2018 Mar;21(3):267-276. doi: 10.22038/ijbms.2018.26110.6415.
5
Inflammation following acute myocardial infarction: Multiple players, dynamic roles, and novel therapeutic opportunities.急性心肌梗死后的炎症反应:多种角色,动态作用,以及新的治疗机会。
Pharmacol Ther. 2018 Jun;186:73-87. doi: 10.1016/j.pharmthera.2018.01.001. Epub 2018 Jan 9.
6
The Role of β-Adrenergic Overstimulation in the Early Stages of Renal Injury.β-肾上腺素能过度刺激在肾损伤早期阶段的作用。
Kidney Blood Press Res. 2017;42(6):1277-1289. doi: 10.1159/000485931. Epub 2017 Dec 14.
7
Novel Mesenchymal Stem Cell Strategy in Alleviating Toll-Like Receptor-4, p53 and Nrf2 Signaling in Isoproterenol-Induced Myocardial Infarction in Rat Model.新型间充质干细胞策略缓解异丙肾上腺素诱导的大鼠心肌梗死模型中 Toll 样受体 4、p53 和 Nrf2 信号通路。
Cardiovasc Toxicol. 2018 Jun;18(3):232-241. doi: 10.1007/s12012-017-9432-0.
8
Epigallocatechin-3-gallate prevents cardiac apoptosis by modulating the intrinsic apoptotic pathway in isoproterenol-induced myocardial infarction.表没食子儿茶素没食子酸酯通过调节异丙肾上腺素诱导的心肌梗死中的内在凋亡途径预防心脏细胞凋亡。
Eur J Pharmacol. 2017 Jan 5;794:27-36. doi: 10.1016/j.ejphar.2016.11.014. Epub 2016 Nov 15.
9
Effects of histidine and vitamin C on isoproterenol-induced acute myocardial infarction in rats.组氨酸和维生素C对异丙肾上腺素诱导的大鼠急性心肌梗死的影响。
Vet Res Forum. 2016 Winter;7(1):47-54. Epub 2016 Mar 15.
10
Synthetic catecholamine triggers β1-adrenergic receptor activation and stimulates cardiotoxicity via oxidative stress mediated apoptotic cell death in rats: Abrogating action of thymol.合成儿茶酚胺通过氧化应激介导的大鼠凋亡性细胞死亡触发β1-肾上腺素能受体激活并刺激心脏毒性:百里酚的消除作用。
Chem Biol Interact. 2016 May 5;251:17-25. doi: 10.1016/j.cbi.2016.03.017. Epub 2016 Mar 18.