Suppr超能文献

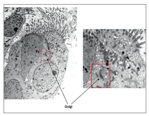
The hyperchromatic supranuclear stria corresponds to the Golgi apparatus in nasal ciliated cells.

作者信息

Gelardi Matteo, Guerra Lorenzo, Giangregorio Nicola, Cassano Michele, Favia Maria, Ciprandi Giorgio

机构信息

Otorhinolaryngological Clinic, Department of Clinical and Experimental Medicine, University of Foggia, Foggia, Italy.

Department of Bioscience, Biotechnology and Biopharmaceutics, University of Bari, Bari, Italy.

出版信息

Acta Biomed. 2020 May 11;91(2):373-375. doi: 10.23750/abm.v91i2.9265.

Abstract
摘要
https://cdn.ncbi.nlm.nih.gov/pmc/blobs/9f28/7569661/581c00e4fba5/ACTA-91-373-g001.jpg

文献AI研究员

20分钟写一篇综述,助力文献阅读效率提升50倍。

立即体验

用中文搜PubMed

大模型驱动的PubMed中文搜索引擎

马上搜索

文档翻译

学术文献翻译模型,支持多种主流文档格式。

立即体验