Suppr超能文献

神经元表面抗体相关自身免疫性脑炎发作的临床及脑电图特征

Clinical and Electroencephalographic Features of the Seizures in Neuronal Surface Antibody-Associated Autoimmune Encephalitis.

作者信息

Wang Yan, Yu Yi, Hu Yaping, Li Ying, Song Fan, Wang Ying

机构信息

Department of Neurology, The First Affiliated Hospital of Dalian Medical University, Dalian, China.

Department of Neurology, The First People's Hospital in Jinzhou, Dalian, China.

出版信息

Front Neurol. 2020 May 5;11:280. doi: 10.3389/fneur.2020.00280. eCollection 2020.

Abstract

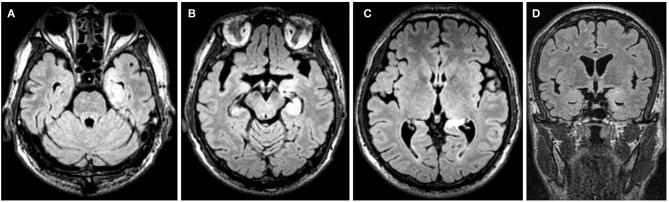
To investigate clinical and electroencephalographic features of the seizures in different types of neuronal surface antibody (NSAb)-associated autoimmune encephalitis (AE). The clinical data of the seizures were analyzed in 18 patients with NSAb-associated AEs diagnosed in the First Affiliated Hospital of Dalian Medical University. From May 2013 to April 2019, a total of 18 cases of NSAb-associated AE were diagnosed, including 9 cases of leucine-rich glioma-inactivated 1 protein (LGI1) antibody-associated encephalitis, 7 cases of anti--methyl-d-aspartate receptor (NMDAR) encephalitis, and 2 cases of anti-γ-aminobutyric acid B receptor (GABAR) encephalitis. All nine cases (100%) with LGI1 AE had seizures manifesting in three types: faciobranchial dystonia seizure (FBDS) (44.4%), mesial temporal lobe epilepsy (MTLE)-like seizure (66.7%), and focal to bilateral tonic-clonic seizure (FBTCS) (77.8%). Six of nine (66.7%) showed abnormal signal on hippocampus or basal ganglia in brain MRI. Five of seven cases (71%) with anti-NMDAR encephalitis had seizures manifesting in three types: focal aware seizure (40%), focal-impaired awareness seizure (20%), generalized tonic-clonic seizure (GTCS) (100%), and status epilepticus (SE) (40%). Three of seven (42.8%) showed abnormalities in brain MRI. Both patients with anti-GABAR encephalitis had seizures manifesting in two types: GTCS and MTLE-like seizure, one with SE. One showed abnormal signal on left hippocampus in brain MRI. All patients (100%) with three types of AE had abnormalities in electroencephalogram (EEG), showing diffuse (4/18) or focal slow waves (14/18) in background, interictal (10/18), or ictal (6/18) epileptic discharges in the temporal or other regions; two patients with anti-NMDAR encephalitis showed delta activity or rhythm in frontotemporal region. All patients with seizures showed good response to immunotherapy except one with LGI1 AE. Most patients with NSAb-associated AE had seizures; seizure types varied between different types of AE. In LGI1 AE, the hippocampus and basal ganglia were two main targets; the corresponding seizure type was MTLE-like seizure and FBDS, respectively. Anti-NMDAR encephalitis had more generalized than focal seizures. Delta activity or rhythm in the frontotemporal region in EEG was helpful for diagnosis. Anti-GABAR encephalitis was characterized by refractory seizures as initial symptom, mainly GTCS or MTLE-like seizure. Most seizures in NSAb-associated AE showed good response to immunotherapy, and antiepileptic drugs should be considered as an add-on symptomatic treatment.

摘要

探讨不同类型神经元表面抗体(NSAb)相关自身免疫性脑炎(AE)发作的临床及脑电图特征。分析大连医科大学附属第一医院确诊的18例NSAb相关AE患者发作的临床资料。2013年5月至2019年4月,共确诊18例NSAb相关AE,其中9例为富含亮氨酸胶质瘤失活1蛋白(LGI1)抗体相关脑炎,7例为抗N-甲基-D-天冬氨酸受体(NMDAR)脑炎,2例为抗γ-氨基丁酸B受体(GABAR)脑炎。所有9例LGI1 AE患者(100%)均有发作,表现为三种类型:面臂肌张力障碍发作(FBDS)(44.4%)、内侧颞叶癫痫(MTLE)样发作(66.7%)和局灶性至双侧强直阵挛发作(FBTCS)(77.8%)。9例中有6例(66.7%)脑MRI显示海马或基底节信号异常。7例抗NMDAR脑炎患者中有5例(71%)发作表现为三种类型:局灶性意识发作(40%)、局灶性意识障碍发作(20%)、全面强直阵挛发作(GTCS)(100%)和癫痫持续状态(SE)(40%)。7例中有3例(42.8%)脑MRI显示异常。2例抗GABAR脑炎患者发作均表现为两种类型:GTCS和MTLE样发作,1例伴有SE。1例脑MRI显示左侧海马信号异常。三种类型AE的所有患者(100%)脑电图(EEG)均有异常,表现为背景弥漫性(4/18)或局灶性慢波(14/18),发作间期(10/18)或发作期(6/18)颞叶或其他区域癫痫样放电;2例抗NMDAR脑炎患者额颞区出现δ活动或节律。所有发作患者除1例LGI1 AE患者外,对免疫治疗反应良好。大多数NSAb相关AE患者有发作;不同类型AE的发作类型不同。在LGI1 AE中,海马和基底节是两个主要靶点;相应的发作类型分别为MTLE样发作和FBDS。抗NMDAR脑炎全身性发作多于局灶性发作。EEG额颞区的δ活动或节律有助于诊断。抗GABAR脑炎以难治性发作作为初始症状为特征,主要为GTCS或MTLE样发作。NSAb相关AE的大多数发作对免疫治疗反应良好,抗癫痫药物应作为附加的对症治疗。

https://cdn.ncbi.nlm.nih.gov/pmc/blobs/0a15/7214674/f5e8e9907d8f/fneur-11-00280-g0001.jpg

文献检索

告别复杂PubMed语法,用中文像聊天一样搜索,搜遍4000万医学文献。AI智能推荐,让科研检索更轻松。

立即免费搜索

文件翻译

保留排版,准确专业,支持PDF/Word/PPT等文件格式,支持 12+语言互译。

免费翻译文档

深度研究

AI帮你快速写综述,25分钟生成高质量综述,智能提取关键信息,辅助科研写作。

立即免费体验