Suppr超能文献

COVID-19 感染并发急性 A 型主动脉夹层。

Acute Type A Aortic Dissection Complicated by COVID-19 Infection.

机构信息

Department of Cardiothoracic Surgery, Ghent University Hospital, Ghent, Belgium.

Department of Pneumology, Ghent University Hospital, Ghent, Belgium.

出版信息

Ann Thorac Surg. 2020 Nov;110(5):e421-e423. doi: 10.1016/j.athoracsur.2020.05.001. Epub 2020 May 11.

Abstract

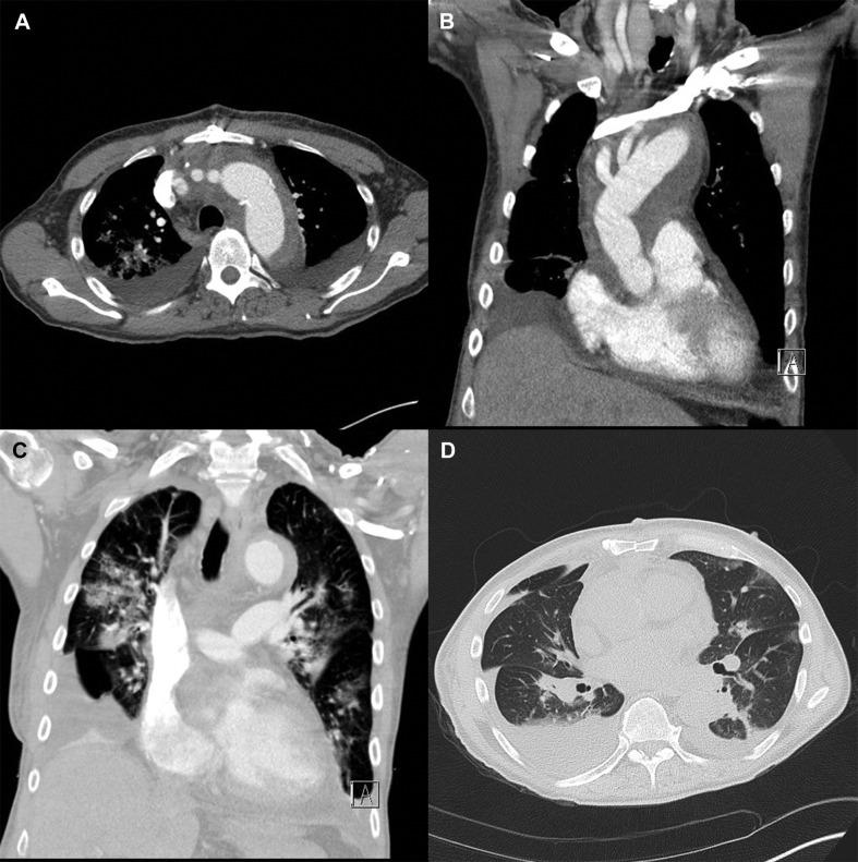
A patient underwent surgery for acute type A aortic dissection. Testing for SARS-CoV-2 was positive. The postoperative course was complicated by a mixed viral and bacterial pneumonia with bilateral infiltration, treated with antibiotics and hydroxychloroquine, without any need for reintubation. The patient recovered and finally could be discharged. This report shows the feasibility for surgical treatment of acute aortic disease in patients with COVID-19.

摘要

一位患者因急性 A 型主动脉夹层接受了手术。SARS-CoV-2 检测呈阳性。术后患者并发混合性病毒和细菌性肺炎,出现双侧浸润,使用抗生素和羟氯喹治疗,无需再次插管。患者康复,最终出院。本报告表明 COVID-19 患者接受急性主动脉疾病手术治疗是可行的。

https://cdn.ncbi.nlm.nih.gov/pmc/blobs/df60/7211729/26542e09319f/gr1_lrg.jpg

文献检索

告别复杂PubMed语法,用中文像聊天一样搜索,搜遍4000万医学文献。AI智能推荐,让科研检索更轻松。

立即免费搜索

文件翻译

保留排版,准确专业,支持PDF/Word/PPT等文件格式,支持 12+语言互译。

免费翻译文档

深度研究

AI帮你快速写综述,25分钟生成高质量综述,智能提取关键信息,辅助科研写作。

立即免费体验