Suppr超能文献

一名患有严重冠状病毒病肺炎且接受静脉-静脉体外膜肺氧合治疗的患者发生胰腺炎。

Pancreatitis in a Patient with Severe Coronavirus Disease Pneumonia Treated with Veno-venous Extracorporeal Membrane Oxygenation.

作者信息

Kurihara Yutaro, Maruhashi Takaaki, Wada Tatsuhiko, Osada Mayuko, Oi Marina, Yamaoka Kunihiro, Asari Yasushi

机构信息

Department of Emergency and Critical Care Medicine, Kitasato University School of Medicine, Japan.

Department of Rheumatology and Infectious Diseases, Kitasato University School of Medicine, Japan.

出版信息

Intern Med. 2020 Nov 15;59(22):2903-2906. doi: 10.2169/internalmedicine.5912-20. Epub 2020 Sep 19.

Abstract

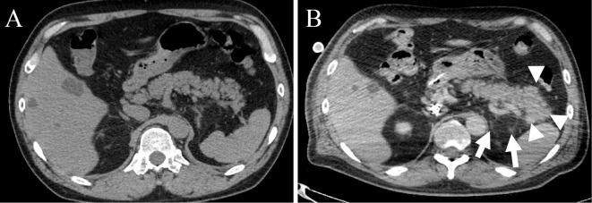
Severe coronavirus disease (COVID-19) can induce serious complications, including acute respiratory distress syndrome, septic shock, and acute kidney injury. However, few reports have associated COVID-19 with pancreatitis. We herein report the case of a 55-year-old patient who developed acute pancreatitis associated with severe COVID-19 pneumonia and was successfully treated with veno-venous extracorporeal membrane oxygenation (ECMO). Elevated pancreatic enzymes levels and computed tomography findings led to the diagnosis of acute pancreatitis due to COVID-19. Although we found that severe COVID-19 pneumonia can lead to pancreatitis, the underlying pathophysiology remains unknown.

摘要

重症冠状病毒病(COVID-19)可引发严重并发症,包括急性呼吸窘迫综合征、感染性休克和急性肾损伤。然而,很少有报告将COVID-19与胰腺炎相关联。我们在此报告一例55岁患者,该患者患与重症COVID-19肺炎相关的急性胰腺炎,并通过静脉-静脉体外膜肺氧合(ECMO)成功治疗。胰腺酶水平升高和计算机断层扫描结果导致诊断为COVID-19所致的急性胰腺炎。尽管我们发现重症COVID-19肺炎可导致胰腺炎,但其潜在病理生理学仍不清楚。

https://cdn.ncbi.nlm.nih.gov/pmc/blobs/298f/7725617/34e93e3b1d4b/1349-7235-59-2903-g001.jpg

文献检索

告别复杂PubMed语法,用中文像聊天一样搜索,搜遍4000万医学文献。AI智能推荐,让科研检索更轻松。

立即免费搜索

文件翻译

保留排版,准确专业,支持PDF/Word/PPT等文件格式,支持 12+语言互译。

免费翻译文档

深度研究

AI帮你快速写综述,25分钟生成高质量综述,智能提取关键信息,辅助科研写作。

立即免费体验