Suppr超能文献

牙本质发育不全的治疗:两例报告

Management of Dentinogenesis Imperfecta: A Report of Two Cases.

作者信息

Kaur Avninder, Kumar Sanchit, Karda Babita, Chibh Richa

机构信息

Department of Pediatric and Preventive Dentistry, Bhojia Dental College and Hospital, Baddi, Himachal Pradesh, India.

出版信息

Int J Clin Pediatr Dent. 2019 Sep-Oct;12(5):464-466. doi: 10.5005/jp-journals-10005-1681.

Abstract

UNLABELLED

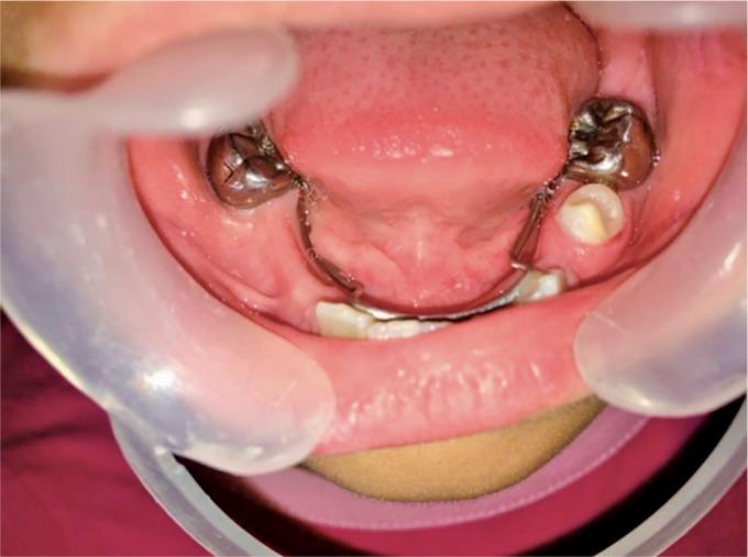
Dentinogenesis imperfect is a hereditary dentin defect leading to discoloration as well as early tooth wear. Timely diagnosis and treatment are required to prevent further tooth loss. Two patients reported to the department of pediatrics dentistry with dentinogenesis imperfecta (DI). In the first case, patient complained of discoloration of both primary and permanent teeth and delayed eruption of permanent teeth. In the second case report, patient reported with mobile anterior tooth and missing teeth due to extraction of mobile teeth. Extraction was followed by space maintainers in the first case, and extraction was followed by partial denture in the second case. Both the patients and their parents were happy with the treatment provided.

HOW TO CITE THIS ARTICLE

Kaur A, Kumar S, Karda B, Management of Dentinogenesis Imperfecta: A Report of Two Cases. Int J Clin Pediatr Dent 2019;12(5):464-466.

摘要

未标注

牙本质发育不全是一种遗传性牙本质缺陷,可导致牙齿变色以及早期磨损。需要及时诊断和治疗以防止进一步的牙齿脱落。两名患有牙本质发育不全(DI)的患者到儿童牙科就诊。在第一个病例中,患者主诉乳牙和恒牙均变色,恒牙萌出延迟。在第二个病例报告中,患者报告前牙松动且因拔除松动牙导致牙齿缺失。第一个病例在拔牙后使用了间隙保持器,第二个病例在拔牙后使用了局部义齿。患者及其父母对所提供的治疗均感到满意。

如何引用本文

考尔A、库马尔S、卡尔达B,牙本质发育不全的治疗:两例报告。《国际临床儿科牙科学杂志》2019年;12(5):464 - 466。

https://cdn.ncbi.nlm.nih.gov/pmc/blobs/203b/7229367/728d056d3322/ijcpd-12-464-g001.jpg

文献AI研究员

20分钟写一篇综述,助力文献阅读效率提升50倍。

立即体验

用中文搜PubMed

大模型驱动的PubMed中文搜索引擎

马上搜索

文档翻译

学术文献翻译模型,支持多种主流文档格式。

立即体验