Suppr超能文献

基于4D-MRI驱动的MR引导在线自适应放疗在高场MR直线加速器上用于腹部立体定向体部放疗:实施与初步临床经验

4D-MRI driven MR-guided online adaptive radiotherapy for abdominal stereotactic body radiation therapy on a high field MR-Linac: Implementation and initial clinical experience.

作者信息

Paulson Eric S, Ahunbay Ergun, Chen Xinfeng, Mickevicius Nikolai J, Chen Guang-Pei, Schultz Christopher, Erickson Beth, Straza Michael, Hall William A, Li X Allen

机构信息

Department of Radiation Oncology, Medical College of Wisconsin, Milwaukee, WI, United States.

Department of Radiology, Medical College of Wisconsin, Milwaukee, WI, United States.

出版信息

Clin Transl Radiat Oncol. 2020 May 15;23:72-79. doi: 10.1016/j.ctro.2020.05.002. eCollection 2020 Jul.

Abstract

BACKGROUND AND PURPOSE

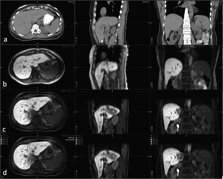
In this report, we describe our implementation and initial clinical experience using 4D-MRI driven MR-guided online adaptive radiotherapy (MRgOART) for abdominal stereotactic body radiotherapy (SBRT) on the Elekta Unity MR-Linac.

MATERIALS AND METHODS

Eleven patients with abdominal malignancies were treated with free-breathing SBRT in three to five fractions on a 1.5 T MR-Linac. Online adaptive plans were generated using Adapt-To-Position (ATP) or Adapt-To-Shape (ATS) workflows based on motion averaged or mid-position images derived from a pre-beam 4D-MRI. A high performance server positioned on the local MR-Linac machine network was utilized for 4D-MR image reconstruction. A parallel contour editing approach was employed in the ATS workflow. Intravoxel incoherent motion (IVIM) and T2 mapping sequences were acquired during adaptive planning in both ATP and ATS workflows for treatment response monitoring. Adaptive plans were delivered under real-time cine image motion monitoring.

RESULTS

The shortest 4D-MRI time-to-image was the motion averaged image, followed by mid position and respiratory binned images. In this cohert of patients, 50% of treatments utilized the ATS workflow; the remaining treatments utilized the ATP workflow. Mid-position images were utilized as daily planning images for two of the eleven patients. The mean daily adaptive plan secondary dose calculation and ArcCheck 3D Gamma passing rates were 97.5% (92.1-100.0%) and 99.3% (96.2-100.0%), respectively. The median overall treatment times for abdominal SBRT was 46 and 62 min for ATP and ATS workflows, respectively.

CONCLUSION

We have successfully implemented and utilized a 4D-MRI driven MRgOART process with ATP and ATS workflows for free-breathing abdominal SBRT on a 1.5 T Elekta Unity MR-Linac.

摘要

背景与目的

在本报告中,我们描述了在Elekta Unity MR直线加速器上使用4D-MRI驱动的MR引导在线自适应放疗(MRgOART)进行腹部立体定向体部放疗(SBRT)的实施情况及初步临床经验。

材料与方法

11例腹部恶性肿瘤患者在1.5T MR直线加速器上接受了自由呼吸状态下的SBRT,分三至五分次进行。基于预束流4D-MRI获得的运动平均图像或中间位置图像,使用适应位置(ATP)或适应形状(ATS)工作流程生成在线自适应计划。位于本地MR直线加速器机器网络上的高性能服务器用于4D-MR图像重建。在ATS工作流程中采用了并行轮廓编辑方法。在ATP和ATS工作流程的自适应计划过程中均采集了体素内不相干运动(IVIM)和T2映射序列,用于治疗反应监测。自适应计划在实时电影图像运动监测下进行投递。

结果

最短的4D-MRI成像时间是运动平均图像,其次是中间位置图像和呼吸分箱图像。在这组患者中,50%的治疗使用了ATS工作流程;其余治疗使用了ATP工作流程。11例患者中有2例将中间位置图像用作每日计划图像。每日自适应计划的平均二次剂量计算通过率和ArcCheck 3D伽马通过率分别为97.5%(92.1-100.0%)和99.3%(96.2-100.0%)。ATP和ATS工作流程的腹部SBRT的中位总治疗时间分别为46分钟和62分钟。

结论

我们已成功在1.5T Elekta Unity MR直线加速器上实施并利用了具有ATP和ATS工作流程的4D-MRI驱动的MRgOART过程,用于自由呼吸状态下的腹部SBRT。

https://cdn.ncbi.nlm.nih.gov/pmc/blobs/3a15/7256110/273a6696c866/gr1.jpg

文献检索

告别复杂PubMed语法,用中文像聊天一样搜索,搜遍4000万医学文献。AI智能推荐,让科研检索更轻松。

立即免费搜索

文件翻译

保留排版,准确专业,支持PDF/Word/PPT等文件格式,支持 12+语言互译。

免费翻译文档

深度研究

AI帮你快速写综述,25分钟生成高质量综述,智能提取关键信息,辅助科研写作。

立即免费体验