Suppr超能文献

股骨头坏死病例中的股骨颈头下型骨折——罕见表现

SubcapitalNeck of Femur Fracture in a Case of Osteonecrosis of Femoral Head - Rare Presentation.

作者信息

Shah Kunal A, Desai Mohan M

机构信息

Department of Orthopedics, Seth Gordhandas Sunderdas Medical College and King Edward Memorial Hospital, Mumbai, Maharashtra, India.

出版信息

J Orthop Case Rep. 2019;9(5):87-90. doi: 10.13107/jocr.2250-0685.1548.

Abstract

INTRODUCTION

Osteonecrosis of femoral head is a common debilitating condition affecting young males most commonly. It is endpoint of a series of events leading to disturbance in the blood supply of femoral head. Rarely, these cases present with acute pain following trivial trauma due to pathological fracture in the neck of femur. We present a rare case of pathological subcapital neck of femur fracture in a case of osteonecrosis of femoral head. These cases should not be confused with post-traumatic neck of femur fracture.

CASE REPORT

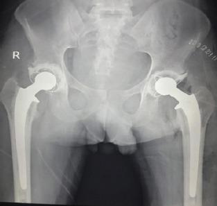
A 28-year-old male student presented with history of acute pain in right hip and inability to walk after a squatting event. He was diagnosed to have osteonecrosis of bilateral femoral head 1 year back, for which he denied further treatment. On clinical examination, right hip examination was painful with flexion, adduction, and external rotation deformity. Radiological examination revealed fracture at subcapital region in neck of right femur with osteonecrosis of femoral head. After discussing treatment options with the patient, we performed total hip arthroplasty (THA). Harris hip scores improved from 17.1 to 83.5.

CONCLUSION

The presentation of osteonecrosis of femoral head with pathological fractures is rare. Furthermore, it is not included in the commonly used classifications. Osteosynthesis of pathological fracture of neck of femur with osteonecrosis of femoral head rarely has good results.THAcan be a good option in these cases with good functional results.

摘要

引言

股骨头坏死是一种常见的致残性疾病,最常影响年轻男性。它是一系列导致股骨头血液供应紊乱的事件的终点。很少有这些病例因股骨颈病理性骨折在轻微创伤后出现急性疼痛。我们报告一例罕见的股骨头坏死病例,其出现股骨颈病理性头下型骨折。这些病例不应与创伤后股骨颈骨折相混淆。

病例报告

一名28岁男性学生,在一次蹲起活动后出现右髋急性疼痛和无法行走的病史。他于1年前被诊断为双侧股骨头坏死,他拒绝进一步治疗。临床检查时,右髋检查在屈曲、内收和外旋时疼痛且有畸形。影像学检查显示右股骨颈头下区域骨折伴股骨头坏死。在与患者讨论治疗方案后,我们进行了全髋关节置换术(THA)。Harris髋关节评分从17.1提高到了83.5。

结论

股骨头坏死合并病理性骨折的情况罕见。此外,它未被纳入常用的分类中。股骨头坏死合并股骨颈病理性骨折的骨固定术很少有良好效果。在这些病例中,全髋关节置换术可能是一个不错的选择,功能结果良好。

https://cdn.ncbi.nlm.nih.gov/pmc/blobs/ac06/7276629/a50acc794194/JOCR-9-87-g001.jpg

文献AI研究员

20分钟写一篇综述,助力文献阅读效率提升50倍。

立即体验

用中文搜PubMed

大模型驱动的PubMed中文搜索引擎

马上搜索

文档翻译

学术文献翻译模型,支持多种主流文档格式。

立即体验