Suppr超能文献

血管炎的影像学表现

Imaging in Vasculitis.

机构信息

Department of Diagnostic and Interventional Radiology, Faculty of Medicine, University Hospital Wuerzburg, University of Wuerzburg, Oberduerrbacher Straße 6, 97080, Wuerzburg, Germany.

出版信息

Curr Rheumatol Rep. 2020 Jun 19;22(8):34. doi: 10.1007/s11926-020-00915-6.

Abstract

PURPOSE OF REVIEW

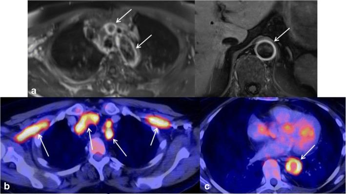
Vasculitides are characterized by mostly autoimmunologically induced inflammatory processes of vascular structures. They have various clinical and radiologic appearances. Early diagnosis and reliable monitoring are indispensable for adequate therapy to prevent potentially serious complications. Imaging, in addition to laboratory tests and physical examination, constitutes a key component in assessing disease extent and activity. This review presents current standards and some typical findings in the context of imaging in vasculitis with particular attention to large vessel vasculitides.

RECENT FINDINGS

Recently, imaging has gained importance in the management of vasculitis, especially regarding large vessel vasculitides (LVV). Recently, EULAR (European League Against Rheumatism) has launched its recommendations concerning the diagnosis of LVVs. Imaging is recommended as the preferred complement to clinical examination. Color-coded duplex sonography is considered the first choice imaging test in suspected giant cell arteritis, and magnetic resonance imaging is considered the first choice in suspected Takayasu's arteritis. Due to diversity of clinical and radiologic presentations, diagnosis and therapy monitoring of vasculitides may constitute a challenge. As a result of ongoing technological progress, a variety of non-invasive imaging modalities now play an elemental role in the interdisciplinary management of vasculitic diseases.

摘要

目的综述

血管炎的特征是血管结构主要由自身免疫诱导的炎症过程引起。它们具有不同的临床和影像学表现。早期诊断和可靠的监测对于适当的治疗以预防潜在的严重并发症是必不可少的。除了实验室检查和体格检查外,影像学检查也是评估疾病程度和活动的关键组成部分。本文综述了血管炎影像学检查的当前标准和一些典型表现,特别关注大血管血管炎。

最新发现

最近,影像学在血管炎的治疗中变得越来越重要,尤其是在大血管血管炎(LVV)方面。最近,欧洲抗风湿病联盟(EULAR)发布了关于 LVV 诊断的建议。影像学被推荐作为临床检查的补充。彩色双功能超声被认为是巨细胞动脉炎的首选影像学检查方法,而磁共振成像则被认为是 Takayasu 动脉炎的首选影像学检查方法。由于临床表现和影像学表现的多样性,血管炎的诊断和治疗监测可能构成挑战。由于技术的不断进步,各种非侵入性影像学方法现在在血管炎疾病的多学科管理中发挥着重要作用。

https://cdn.ncbi.nlm.nih.gov/pmc/blobs/ae14/7305069/677a151ad8cd/11926_2020_915_Fig1_HTML.jpg

文献检索

告别复杂PubMed语法,用中文像聊天一样搜索,搜遍4000万医学文献。AI智能推荐,让科研检索更轻松。

立即免费搜索

文件翻译

保留排版,准确专业,支持PDF/Word/PPT等文件格式,支持 12+语言互译。

免费翻译文档

深度研究

AI帮你快速写综述,25分钟生成高质量综述,智能提取关键信息,辅助科研写作。

立即免费体验