Suppr超能文献

首例疑似脱髓鞘疾病患者脑脊液中 SARS-COV-2 测序。

First case of SARS-COV-2 sequencing in cerebrospinal fluid of a patient with suspected demyelinating disease.

机构信息

Senne Liquor Diagnóstico, São Paulo, SP, Brazil.

Virology Section (LIM-52), Instituto de Medicina Tropical, Universidade de São Paulo, São Paulo, SP, Brazil.

出版信息

J Neurol. 2020 Nov;267(11):3154-3156. doi: 10.1007/s00415-020-09996-w. Epub 2020 Jun 20.

Abstract

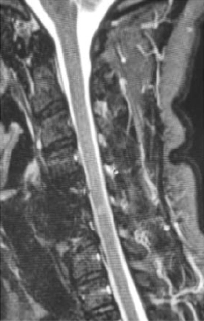
The association between coronaviruses and central nervous system (CNS) demyelinating lesions has been previously shown. However, no case has been described of an association between the novel coronavirus (SARS-COV-2) and CNS demyelinating disease so far. SARS-COV-2 was previously detected in cerebrospinal fluid (CSF) sample of a patient with encephalitis. However, the virus identity was not confirmed by deep sequencing of SARS-COV-2 detected in the CSF. Here, we report a case of a patient with mild respiratory symptoms and neurological manifestations compatible with clinically isolated syndrome. The viral genome of SARS-COV-2 was detected and sequenced in CSF with 99.74-100% similarity between the patient virus and worldwide sequences. This report suggests a possible association of SARS-COV-2 infection with neurological symptoms of demyelinating disease, even in the absence of relevant upper respiratory tract infection signs.

摘要

先前已经表明冠状病毒与中枢神经系统(CNS)脱髓鞘病变之间存在关联。然而,迄今为止,尚未有新型冠状病毒(SARS-COV-2)与 CNS 脱髓鞘疾病相关的病例描述。先前在患有脑炎的患者的脑脊液(CSF)样本中检测到了 SARS-COV-2。但是,通过对 CSF 中检测到的 SARS-COV-2 进行深度测序,并未确认病毒的身份。在这里,我们报告了一例轻度呼吸道症状和与临床孤立综合征相吻合的神经系统表现的患者。在 CSF 中检测到了 SARS-COV-2 的病毒基因组,并进行了测序,患者病毒与全球序列之间的相似度为 99.74-100%。该报告表明,SARS-COV-2 感染可能与脱髓鞘疾病的神经症状有关,即使在上呼吸道感染的相关迹象不存在的情况下也是如此。

https://cdn.ncbi.nlm.nih.gov/pmc/blobs/28c7/7305694/22416946069d/415_2020_9996_Fig1_HTML.jpg

文献检索

告别复杂PubMed语法,用中文像聊天一样搜索,搜遍4000万医学文献。AI智能推荐,让科研检索更轻松。

立即免费搜索

文件翻译

保留排版,准确专业,支持PDF/Word/PPT等文件格式,支持 12+语言互译。

免费翻译文档

深度研究

AI帮你快速写综述,25分钟生成高质量综述,智能提取关键信息,辅助科研写作。

立即免费体验