Department of Radiology, Hopital Cochin, AP-HP centre, 75014 Paris, France.
Department of Radiology, Hopital Cochin, AP-HP centre, 75014 Paris, France; Université de Paris, Descartes-Paris 5, 75006 Paris, France.
Diagn Interv Imaging. 2020 Jul-Aug;101(7-8):457-461. doi: 10.1016/j.diii.2020.05.011. Epub 2020 Jun 10.
The purpose of this study was to determine the prevalence and imaging characteristics of incidentally diagnosed COVID-19 pneumonia on computed tomography (CT).
This retrospective study was conducted between March 20th and March 31st, 2020 at Cochin hospital, Paris France. Thoracic CT examinations of all patients referred for another reason than a suspicion of SARS-CoV-2 infection were reviewed. CT images were analyzed by a chest radiologist to confirm the presence of findings consistent with COVID-19 pneumonia and quantify disease extent. Clinical and biological data (C-reactive protein serum level [CRP] and white blood cell count) of patients with CT findings suggestive for COVID-19 pneumonia were retrieved from the electronic medical chart.
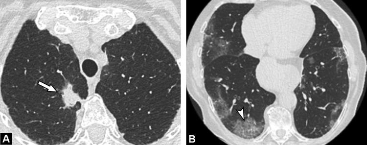
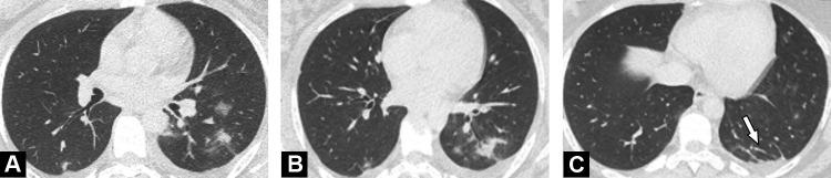
During the study period, among 205 diagnostic CT examinations, six examinations (6/205, 3%) in 6 different patients (4 men, 2 women; median age, 57 years) revealed images highly suggestive of COVID-19 pneumonia. The final diagnosis was confirmed by RT-PCR. Three inpatients were suspected of extra thoracic infection whereas three outpatients were either fully asymptomatic or presented with fatigue only. All had increased CRP serum level and lymphopenia. Disease extent on CT was mild to moderate in 5/6 patients (83%) and severe in 1/6 patient (17%).
Cumulative incidence of fortuitous diagnosis if COVID-19 pneumonia did not exceed 3% during the highest pandemic phase and was predominantly associated with limited lung involvement.
本研究旨在确定在计算机断层扫描(CT)上偶然诊断出的 COVID-19 肺炎的患病率和影像学特征。
本回顾性研究于 2020 年 3 月 20 日至 3 月 31 日在法国巴黎的 Cochin 医院进行。回顾了所有因疑似 SARS-CoV-2 感染以外的原因而进行的胸部 CT 检查。胸部放射科医生分析 CT 图像以确认存在与 COVID-19 肺炎一致的发现,并量化疾病范围。从电子病历中检索到 CT 结果提示 COVID-19 肺炎的患者的临床和生物学数据(C 反应蛋白血清水平[CRP]和白细胞计数)。
在研究期间,在 205 项诊断性 CT 检查中,6 项检查(6/205,3%)在 6 名不同患者(4 名男性,2 名女性;中位年龄 57 岁)中显示出高度提示 COVID-19 肺炎的图像。最终诊断通过 RT-PCR 确认。3 名住院患者疑似患有胸外感染,3 名门诊患者要么完全无症状,要么仅表现为疲劳。所有患者的 CRP 血清水平和淋巴细胞计数均升高。6 名患者中有 5 名(83%)的 CT 上的疾病程度为轻度至中度,1 名(17%)为重度。
在大流行高峰期,偶然诊断出 COVID-19 肺炎的累积发病率并未超过 3%,且主要与有限的肺部受累有关。