• 文献检索
  • 文档翻译
  • 深度研究
  • 学术资讯
  • Suppr Zotero 插件Zotero 插件
  • 邀请有礼
  • 套餐&价格
  • 历史记录
应用&插件
Suppr Zotero 插件Zotero 插件浏览器插件Mac 客户端Windows 客户端微信小程序
定价
高级版会员购买积分包购买API积分包
服务
文献检索文档翻译深度研究API 文档MCP 服务
关于我们
关于 Suppr公司介绍联系我们用户协议隐私条款
关注我们

Suppr 超能文献

核心技术专利:CN118964589B侵权必究
粤ICP备2023148730 号-1Suppr @ 2026

文献检索

告别复杂PubMed语法,用中文像聊天一样搜索,搜遍4000万医学文献。AI智能推荐,让科研检索更轻松。

立即免费搜索

文件翻译

保留排版,准确专业,支持PDF/Word/PPT等文件格式,支持 12+语言互译。

免费翻译文档

深度研究

AI帮你快速写综述,25分钟生成高质量综述,智能提取关键信息,辅助科研写作。

立即免费体验

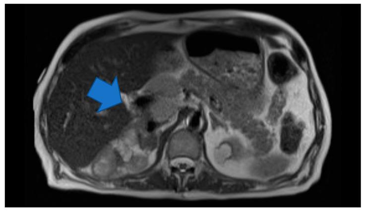
老年患者复发性嗜铬细胞瘤。

Recurrent Pheochromocytoma in an Elderly Patient.

机构信息

Loyola Medical Center/Edward Hines, Jr. VA Hospital, Maywood, IL 60141, USA.

出版信息

Medicina (Kaunas). 2020 Jun 26;56(6):316. doi: 10.3390/medicina56060316.

DOI:10.3390/medicina56060316
PMID:32604789
原文链接:https://pmc.ncbi.nlm.nih.gov/articles/PMC7353891/
Abstract

Pheochromocytomas are rare neuroendocrine tumors that can affect people of all ages and are commonly diagnosed in the 4th and 5th decades of life. Familial pheochromocytomas are diagnosed mostly between the 2nd and 3rd decades of life. They can be benign or metastatic and often present as isolated tumors or along with other neuroendocrine syndromes. We present a case of an elderly man who underwent laparoscopic adrenalectomy for pheochromocytoma at the age of 60 years but developed recurrence of metastatic pheochromocytoma after ten years. We also conducted a literature review to understand the epidemiology and presentation of the tumor and to emphasize that there should be a low threshold of suspicion for timely diagnosis and management of recurrent pheochromocytoma.

摘要

嗜铬细胞瘤是一种罕见的神经内分泌肿瘤,可发生于所有年龄段人群,常见于 40 至 50 岁。家族性嗜铬细胞瘤的诊断年龄大多在 20 至 30 岁。嗜铬细胞瘤可为良性或转移性,常表现为孤立性肿瘤或伴有其他神经内分泌综合征。我们报告了 1 例 60 岁老年男性,因嗜铬细胞瘤行腹腔镜肾上腺切除术,但 10 年后发生转移性嗜铬细胞瘤复发。我们还进行了文献复习,以了解该肿瘤的流行病学和表现,并强调应保持警惕,及时诊断和治疗复发性嗜铬细胞瘤。

https://cdn.ncbi.nlm.nih.gov/pmc/blobs/0500/7353891/4202822ae800/medicina-56-00316-g002.jpg
https://cdn.ncbi.nlm.nih.gov/pmc/blobs/0500/7353891/374db6132d47/medicina-56-00316-g001.jpg
https://cdn.ncbi.nlm.nih.gov/pmc/blobs/0500/7353891/4202822ae800/medicina-56-00316-g002.jpg
https://cdn.ncbi.nlm.nih.gov/pmc/blobs/0500/7353891/374db6132d47/medicina-56-00316-g001.jpg
https://cdn.ncbi.nlm.nih.gov/pmc/blobs/0500/7353891/4202822ae800/medicina-56-00316-g002.jpg

相似文献

1
Recurrent Pheochromocytoma in an Elderly Patient.老年患者复发性嗜铬细胞瘤。
Medicina (Kaunas). 2020 Jun 26;56(6):316. doi: 10.3390/medicina56060316.
2
Challenges in the diagnosis of pheochromocytoma and paraganglioma syndrome.嗜铬细胞瘤和副神经节瘤综合征的诊断挑战。
Neuro Endocrinol Lett. 2014;35(5):355-8.
3
Diagnosis and management of pheochromocytoma.嗜铬细胞瘤的诊断与管理
Curr Opin Oncol. 1997 Jan;9(1):61-7. doi: 10.1097/00001622-199701000-00010.
4
Adrenalectomy for familial pheochromocytoma in the laparoscopic era.腹腔镜时代家族性嗜铬细胞瘤的肾上腺切除术
Ann Surg. 2002 May;235(5):713-20; discussion 720-1. doi: 10.1097/00000658-200205000-00014.
5
[Pheochromocytoma--pathohistologic and immunohistochemical aspects].[嗜铬细胞瘤——病理组织学和免疫组织化学方面]
Srp Arh Celok Lek. 2002 Jul;130 Suppl 2:7-13.
6
Metastatic pheochromocytoma to the pancreas diagnosed by endoscopic ultrasound-guided fine needle aspiration: A case report and review of literature.经内镜超声引导下细针穿刺活检诊断为胰腺转移嗜铬细胞瘤:一例报告并文献复习
Diagn Cytopathol. 2020 Mar;48(3):217-221. doi: 10.1002/dc.24326. Epub 2019 Oct 22.
7
Pheochromocytoma: a review.嗜铬细胞瘤:综述。
Maturitas. 2014 Mar;77(3):229-38. doi: 10.1016/j.maturitas.2013.12.009. Epub 2014 Jan 5.
8
Functional 'composite' pheochromocytoma-ganglioneuroma presenting as a pancreatic mass.功能性“复合”嗜铬细胞瘤-节细胞神经瘤表现为胰腺肿块。
Pancreatology. 2012 May-Jun;12(3):211-4. doi: 10.1016/j.pan.2012.02.001. Epub 2012 Feb 8.
9
Pheochromocytoma: clinical review based on a rare case in adolescence.嗜铬细胞瘤:基于一例青少年罕见病例的临床综述
BMJ Case Rep. 2015 Aug 4;2015:bcr2015211184. doi: 10.1136/bcr-2015-211184.
10
An overview of pheochromocytoma: history, current concepts, vagaries, and diagnostic challenges.嗜铬细胞瘤概述:历史、当前概念、变幻莫测之处及诊断挑战
Ann N Y Acad Sci. 2006 Aug;1073:1-20. doi: 10.1196/annals.1353.001.

引用本文的文献

1
Anesthetic management of a giant paraganglioma resection: a case report.巨大副神经节瘤切除术的麻醉管理:病例报告。
BMC Anesthesiol. 2022 Jul 11;22(1):212. doi: 10.1186/s12871-022-01766-7.

本文引用的文献

1
The Highs and Lows of an Unknown Pheochromocytoma in an Elderly Patient.一位老年患者未知嗜铬细胞瘤的跌宕病情
Case Rep Endocrinol. 2019 Jul 7;2019:5707968. doi: 10.1155/2019/5707968. eCollection 2019.
2
Chromogranin A in the Laboratory Diagnosis of Pheochromocytoma and Paraganglioma.嗜铬粒蛋白A在嗜铬细胞瘤和副神经节瘤实验室诊断中的应用
Cancers (Basel). 2019 Apr 25;11(4):586. doi: 10.3390/cancers11040586.
3
Giant malignant pheochromocytoma in an elderly patient: A case report.老年患者的巨大恶性嗜铬细胞瘤:一例报告
Medicine (Baltimore). 2018 May;97(19):e0614. doi: 10.1097/MD.0000000000010614.
4
Current diagnostic imaging of pheochromocytomas and implications for therapeutic strategy.嗜铬细胞瘤的当前诊断成像及其对治疗策略的影响。
Exp Ther Med. 2018 Apr;15(4):3151-3160. doi: 10.3892/etm.2018.5871. Epub 2018 Feb 14.
5
Metabologenomics of Phaeochromocytoma and Paraganglioma: An Integrated Approach for Personalised Biochemical and Genetic Testing.嗜铬细胞瘤和副神经节瘤的代谢基因组学:个性化生化和基因检测的综合方法。
Clin Biochem Rev. 2017 Apr;38(2):69-100.
6
Malignant Pheochromocytoma and Paraganglioma: 272 Patients Over 55 Years.恶性嗜铬细胞瘤和副神经节瘤:272例55岁以上患者
J Clin Endocrinol Metab. 2017 Sep 1;102(9):3296-3305. doi: 10.1210/jc.2017-00992.
7
PheoSeq: A Targeted Next-Generation Sequencing Assay for Pheochromocytoma and Paraganglioma Diagnostics.PheoSeq:一种用于嗜铬细胞瘤和副神经节瘤诊断的靶向新一代测序检测方法。
J Mol Diagn. 2017 Jul;19(4):575-588. doi: 10.1016/j.jmoldx.2017.04.009. Epub 2017 May 25.
8
Update on Adrenal Tumours in 2017 World Health Organization (WHO) of Endocrine Tumours.2017 年世界卫生组织(WHO)内分泌肿瘤学肾上腺肿瘤更新。
Endocr Pathol. 2017 Sep;28(3):213-227. doi: 10.1007/s12022-017-9484-5.
9
Malignant pheochromocytoma in the elderly: which is the best management in clinical practice?老年恶性嗜铬细胞瘤:临床实践中最佳的治疗方法是什么?
Nucl Med Commun. 2015 Dec;36(12):1159-64. doi: 10.1097/MNM.0000000000000386.
10
The size of the primary tumor and age at initial diagnosis are independent predictors of the metastatic behavior and survival of patients with SDHB-related pheochromocytoma and paraganglioma: a retrospective cohort study.原发肿瘤大小及初次诊断时的年龄是与SDHB相关的嗜铬细胞瘤和副神经节瘤患者转移行为及生存的独立预测因素:一项回顾性队列研究
BMC Cancer. 2014 Jul 21;14:523. doi: 10.1186/1471-2407-14-523.