Suppr超能文献

氨通过大肠杆菌/志贺氏菌激活 NLRP3 炎性体诱导肉鸡肺组织损伤。

Ammonia induce lung tissue injury in broilers by activating NLRP3 inflammasome via Escherichia/Shigella.

机构信息

Institute of Animal Sciences, Chinese Academy of Agricultural Sciences, State Key Laboratory of Animal Nutrition, Beijing 100193, China.

Institute of Animal Sciences, Chinese Academy of Agricultural Sciences, State Key Laboratory of Animal Nutrition, Beijing 100193, China.

出版信息

Poult Sci. 2020 Jul;99(7):3402-3410. doi: 10.1016/j.psj.2020.03.019. Epub 2020 Apr 15.

Abstract

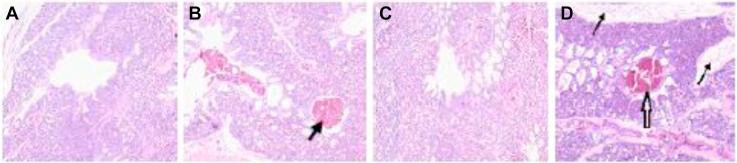
Respiratory tract diseases are closely related to atmosphere pollution. Ammonia is one of the harmful pollutants in the atmosphere environment, which has a great threat to human and animal respiratory tract health, but the mechanism of causing diseases is not clear. In this study, broiler lung tissue was used as a model to study the effect of high ammonia on respiratory tract diseases through the relationship between respiratory microflora, NLRP3 inflammasome, and inflammatory factors. For this, we validated the occurrence of lung tissue inflammation under ammonia exposure and detected the lung tissue microbial constituent by 16S rDNA sequencing. Moreover, the relative expression levels of NLRP3 and caspase-1 mRNA and the content of IL-1β and IL-6 were measured. After 7-D ammonia exposure, the proportion of the phylum Proteobacteria and the genus Escherichia/Shigella in lung tissue was significantly increased, the expression levels of NLRP3 and caspase-1 mRNA were significantly increased, and the content of IL-1β in lung tissue and serum was higher than that in the control group. In conclusion, high ammonia induced lung tissue inflammation via increasing the proportion of Escherichia/Shigella, activating NLRP3 inflammasome, and promoting IL-1β release. These findings provided a reference for the prevention and control of respiratory tract diseases in humans and animals caused by ammonia pollution.

摘要

呼吸道疾病与大气污染密切相关。氨是大气环境中有害污染物之一,对人和动物的呼吸道健康有很大的威胁,但致病机制尚不清楚。本研究以肉鸡肺组织为模型,通过呼吸道微生物群、NLRP3 炎性小体和炎性因子之间的关系,研究高氨对呼吸道疾病的影响。为此,我们验证了氨暴露下肺组织炎症的发生,并通过 16S rDNA 测序检测了肺组织微生物组成。此外,还测量了 NLRP3 和 caspase-1 mRNA 的相对表达水平以及 IL-1β 和 IL-6 的含量。7-D 氨暴露后,肺组织中厚壁菌门和埃希氏菌/志贺氏菌属的比例显著增加,NLRP3 和 caspase-1 mRNA 的表达水平显著增加,肺组织和血清中 IL-1β 的含量高于对照组。综上所述,高氨通过增加埃希氏菌/志贺氏菌的比例、激活 NLRP3 炎性小体和促进 IL-1β 的释放,诱导肺组织炎症。这些发现为预防和控制氨污染引起的人和动物呼吸道疾病提供了参考。

https://cdn.ncbi.nlm.nih.gov/pmc/blobs/3b1a/7597683/cfff13df0320/gr1.jpg

文献AI研究员

20分钟写一篇综述,助力文献阅读效率提升50倍。

立即体验

用中文搜PubMed

大模型驱动的PubMed中文搜索引擎

马上搜索

文档翻译

学术文献翻译模型,支持多种主流文档格式。

立即体验