Suppr超能文献

贝赫切特葡萄膜炎:当前的诊断与治疗方法。

Behçet's Uveitis: Current Diagnostic and Therapeutic Approach.

机构信息

University of Health Sciences Turkey, Ulucanlar Eye Training and Research Hospital, Clinic of Ophthalmology, Ankara, Turkey.

出版信息

Turk J Ophthalmol. 2020 Jun 27;50(3):169-182. doi: 10.4274/tjo.galenos.2019.60308.

Abstract

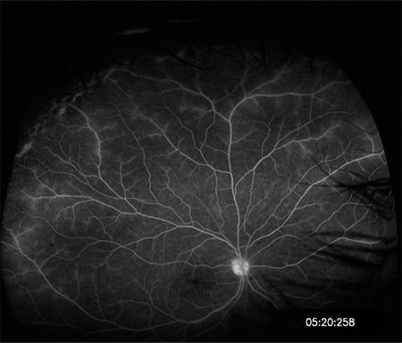
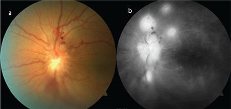
Behçet's disease is a chronic, multisystem inflammatory disorder characterized by relapsing inflammation. Although its etiopathogenesis has not yet been clarified, both the adaptive and innate immune systems, genetic predisposition, and environmental factors have all been implicated. It is more frequent and more severe in males in the third and fourth decades of life. The eye is the most frequently involved organ in the course of the disease. Ocular involvement (Behçet's uveitis) is characterized by bilateral recurrent non-granulomatous panuveitis and occlusive retinal vasculitis. Recurrent inflammatory episodes in the posterior segment may lead to permanent vision loss due to irreversible retinal damage and complications such as macular scarring, macular atrophy, and optic atrophy. Early and aggressive immunomodulatory treatment and the use of biologic agents when needed are crucial for preventing recurrences and improving visual prognosis.

摘要

贝赫切特病是一种慢性、多系统炎症性疾病,其特征为反复发作的炎症。尽管其发病机制尚未阐明,但适应性和固有免疫系统、遗传易感性和环境因素都与之相关。该病在 30 至 40 岁的男性中更为常见且更为严重。在疾病过程中,眼睛是最常受累的器官。眼部受累(贝赫切特葡萄膜炎)的特征为双侧复发性非肉芽肿性全葡萄膜炎和闭塞性视网膜血管炎。后节反复出现炎症性发作可能导致永久性视力丧失,原因是视网膜损伤不可逆转以及出现黄斑瘢痕、黄斑萎缩和视神经萎缩等并发症。早期积极的免疫调节治疗以及在需要时使用生物制剂对于预防复发和改善视力预后至关重要。

https://cdn.ncbi.nlm.nih.gov/pmc/blobs/9e69/7338748/92234602448a/TJO-50-169-g1.jpg

文献检索

告别复杂PubMed语法,用中文像聊天一样搜索,搜遍4000万医学文献。AI智能推荐,让科研检索更轻松。

立即免费搜索

文件翻译

保留排版,准确专业,支持PDF/Word/PPT等文件格式,支持 12+语言互译。

免费翻译文档

深度研究

AI帮你快速写综述,25分钟生成高质量综述,智能提取关键信息,辅助科研写作。

立即免费体验