• 文献检索
  • 文档翻译
  • 深度研究
  • 学术资讯
  • Suppr Zotero 插件Zotero 插件
  • 邀请有礼
  • 套餐&价格
  • 历史记录
应用&插件
Suppr Zotero 插件Zotero 插件浏览器插件Mac 客户端Windows 客户端微信小程序
定价
高级版会员购买积分包购买API积分包
服务
文献检索文档翻译深度研究API 文档MCP 服务
关于我们
关于 Suppr公司介绍联系我们用户协议隐私条款
关注我们

Suppr 超能文献

核心技术专利:CN118964589B侵权必究
粤ICP备2023148730 号-1Suppr @ 2026

文献检索

告别复杂PubMed语法,用中文像聊天一样搜索,搜遍4000万医学文献。AI智能推荐,让科研检索更轻松。

立即免费搜索

文件翻译

保留排版,准确专业,支持PDF/Word/PPT等文件格式,支持 12+语言互译。

免费翻译文档

深度研究

AI帮你快速写综述,25分钟生成高质量综述,智能提取关键信息,辅助科研写作。

立即免费体验

曾接受二尖瓣置换术患者的经导管主动脉瓣置换术。一项系统性研究。

Transcatheter aortic valve replacement in patients with previous mitral valve replacement. A systematic study.

作者信息

Chmielak Zbigniew, Dąbrowski Maciej, Tyczyński Paweł, Kukuła Krzysztof, Michałowska Ilona, Szudejko Emilia, Skowroński Jarosław, Kuśmierczyk Mariusz, Witkowski Adam

机构信息

Department of Interventional Cardiology and Angiology, Institute of Cardiology, Warsaw, Poland.

出版信息

Postepy Kardiol Interwencyjnej. 2020 Jun;16(2):177-183. doi: 10.5114/aic.2020.96061. Epub 2020 Jun 23.

DOI:10.5114/aic.2020.96061
PMID:32636902
原文链接:https://pmc.ncbi.nlm.nih.gov/articles/PMC7333196/
Abstract

INTRODUCTION

Severe aortic stenosis (AS) is an ever-growing healthcare problem in ageing populations. Transcatheter aortic valve implantation (TAVI) has revolutionized the treatment of AS. However, TAVI in patients who have undergone mitral valve replacement (MVR) is associated with increased risk of mitral valve damage. Limited data exist on TAVI in patients with AS who underwent MVR in the past.

AIM

To retrospectively assess the clinical characteristics, detailed echocardiographic and computed tomography measurements, procedural and in-hospital outcome as well as any valve intervention or major adverse cardiovascular events according to VARC-2 criteria at follow-up of patients with a history of MVR, who underwent TAVI.

MATERIAL AND METHODS

Seventeen patients with a history of mitral valve operation, in whom TAVI was performed between 2010 and 2018, were identified. Of these, 15 underwent previous MVR.

RESULTS

Overall, TAVI resulted in a decrease of mean transaortic gradient by 38.3 ±14 mm Hg ( < 0.001) and a decrease of maximal transaortic gradient by 58.6 ±27.6 mm Hg ( < 0.001). A successful immediate result was obtained in 14 (93.3%) patients. One tamponade occurred during TAVI, which was successfully treated with pericardiocentesis. Post-procedurally, no significant changes in transmitral gradients or mitral regurgitations were observed. Two patients died after hospital discharge, one due to possible internal bleeding and the other due to infection.

CONCLUSIONS

TAVI in patients after MVR is feasible. Meticulous preinterventional echocardiographic and computed tomography planning is essential. Although recommended in previous reports, TEE guidance may not necessarily be obligatory during the procedure.

摘要

引言

在老龄化人群中,重度主动脉瓣狭窄(AS)是一个日益严重的医疗问题。经导管主动脉瓣植入术(TAVI)彻底改变了AS的治疗方式。然而,在接受过二尖瓣置换术(MVR)的患者中进行TAVI与二尖瓣损伤风险增加相关。既往接受过MVR的AS患者接受TAVI的数据有限。

目的

回顾性评估有MVR病史且接受TAVI患者的临床特征、详细的超声心动图和计算机断层扫描测量结果、手术及住院结局,以及根据VARC-2标准在随访时的任何瓣膜干预或主要不良心血管事件。

材料与方法

确定了17例有二尖瓣手术史且在2010年至2018年间接受TAVI的患者。其中,15例曾接受MVR。

结果

总体而言,TAVI使平均跨主动脉压差降低了38.3±14 mmHg(<0.001),最大跨主动脉压差降低了58.6±27.6 mmHg(<0.001)。14例(93.3%)患者获得了成功的即刻结果。TAVI期间发生1例心包填塞,经心包穿刺成功治疗。术后,未观察到二尖瓣压差或二尖瓣反流有显著变化。2例患者出院后死亡,1例可能因内出血,另1例因感染。

结论

MVR术后患者进行TAVI是可行的。细致的介入前超声心动图和计算机断层扫描规划至关重要。尽管既往报告中推荐,但术中不一定必须采用经食管超声心动图(TEE)引导。

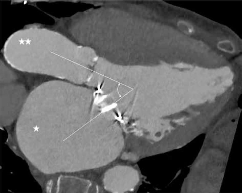
https://cdn.ncbi.nlm.nih.gov/pmc/blobs/ed46/7333196/1da3e4fc6ae3/PWKI-16-40861-g001.jpg
https://cdn.ncbi.nlm.nih.gov/pmc/blobs/ed46/7333196/1da3e4fc6ae3/PWKI-16-40861-g001.jpg
https://cdn.ncbi.nlm.nih.gov/pmc/blobs/ed46/7333196/1da3e4fc6ae3/PWKI-16-40861-g001.jpg

相似文献

1
Transcatheter aortic valve replacement in patients with previous mitral valve replacement. A systematic study.曾接受二尖瓣置换术患者的经导管主动脉瓣置换术。一项系统性研究。
Postepy Kardiol Interwencyjnej. 2020 Jun;16(2):177-183. doi: 10.5114/aic.2020.96061. Epub 2020 Jun 23.
2
[Preliminary clinical experience of the novel transcatheter aortic valve system Prizvalve for the treatment of severe aortic stenosis].新型经导管主动脉瓣系统Prizvalve治疗重度主动脉瓣狭窄的初步临床经验
Zhonghua Xin Xue Guan Bing Za Zhi. 2022 Feb 24;50(2):137-141. doi: 10.3760/cma.j.cn112148-20211030-00937.
3
Transcatheter Aortic Valve Implantation in Patients With Pre-Existing Mechanical Mitral Valve Prostheses.已有机械二尖瓣假体患者的经导管主动脉瓣植入术。
J Invasive Cardiol. 2019 Sep;31(9):260-264.
4
Minimalistic Approach for Transcatheter Aortic Valve Implantation (TAVI): Open Vascular Vs. Fully Percutaneous Approach.经导管主动脉瓣植入术(TAVI)的极简方法:开放血管法与完全经皮法
Pril (Makedon Akad Nauk Umet Odd Med Nauki). 2019 Oct 1;40(2):5-14. doi: 10.2478/prilozi-2019-0009.
5
Transcatheter aortic valve implantation in rheumatic aortic stenosis with a functioning mitral prosthesis.经导管主动脉瓣植入术治疗合并有功能二尖瓣人工瓣膜的风湿性主动脉瓣狭窄
J Cardiol Cases. 2021 Feb 26;24(2):84-88. doi: 10.1016/j.jccase.2021.02.002. eCollection 2021 Aug.
6
Presence of mitral stenosis is a risk factor of new development of acute decompensated heart failure early after transcatheter aortic valve implantation.二尖瓣狭窄的存在是经导管主动脉瓣植入术后早期急性失代偿性心力衰竭新发生的一个危险因素。
Open Heart. 2020 Oct;7(2). doi: 10.1136/openhrt-2020-001348.
7
Clinical impact of mitral calcium volume in patients undergoing transcatheter aortic valve implantation.经导管主动脉瓣植入术患者二尖瓣钙体积的临床影响。
J Cardiovasc Comput Tomogr. 2021 Jul-Aug;15(4):356-365. doi: 10.1016/j.jcct.2020.10.003. Epub 2020 Oct 21.
8
Transcatheter aortic valve implantation after previous mechanical mitral valve replacement: expanding indications?既往机械二尖瓣置换术后经导管主动脉瓣植入术:适应证是否在扩大?
Heart Surg Forum. 2011 Jun;14(3):E166-70. doi: 10.1532/HSF98.20101148.
9
Previously implanted mitral surgical prosthesis in patients undergoing transcatheter aortic valve implantation: Procedural outcome and morphologic assessment using multidetector computed tomography.经导管主动脉瓣植入术治疗患者中先前植入的二尖瓣外科假体:使用多排螺旋 CT 的手术结果和形态评估。
PLoS One. 2019 Dec 26;14(12):e0226512. doi: 10.1371/journal.pone.0226512. eCollection 2019.
10
Transapical transcatheter aortic valve implantation using a new second-generation TAVI system - J-Valve™ for high-risk patients with aortic valve diseases: Initial results with 90-day follow-up.使用新型第二代经导管主动脉瓣植入系统-J-Valve™对高危主动脉瓣疾病患者行经心尖经导管主动脉瓣植入术:90天随访的初步结果
Int J Cardiol. 2015 Nov 15;199:155-62. doi: 10.1016/j.ijcard.2015.07.037. Epub 2015 Jul 12.

引用本文的文献

1
Transcatheter Aortic Valve Implantation in Patients with Previous Mitral Valve Surgery-Review.曾接受二尖瓣手术患者的经导管主动脉瓣植入术——综述
J Clin Med. 2025 Jan 23;14(3):735. doi: 10.3390/jcm14030735.
2
Percutaneous Treatment of Severe Aortic Regurgitation After Surgical Mitral Valve Repair.二尖瓣手术修复后严重主动脉瓣反流的经皮治疗
JACC Case Rep. 2023 Nov 22;28:102131. doi: 10.1016/j.jaccas.2023.102131. eCollection 2023 Dec 20.
3
Transcatheter aortic valve replacement in patients with a pre-existing prosthetic mitral valve: a single center experience with two cases.

本文引用的文献

1
Transcatheter Aortic Valve Implantation in Patients With Pre-Existing Mechanical Mitral Valve Prostheses.已有机械二尖瓣假体患者的经导管主动脉瓣植入术。
J Invasive Cardiol. 2019 Sep;31(9):260-264.
2
Patients at low surgical risk as defined by the Society of Thoracic Surgeons Score undergoing isolated interventional or surgical aortic valve implantation: in-hospital data and 1-year results from the German Aortic Valve Registry (GARY).接受单纯介入或外科主动脉瓣置换术的低手术风险(定义为胸外科医师学会评分)患者:德国主动脉瓣登记研究(GARY)的院内数据和 1 年结果。
Eur Heart J. 2019 May 1;40(17):1323-1330. doi: 10.1093/eurheartj/ehy699.
3
已有人工二尖瓣患者的经导管主动脉瓣置换术:两例单中心经验
Egypt Heart J. 2024 Jan 8;76(1):3. doi: 10.1186/s43044-023-00433-7.
4
A case of delayed bioprosthetic mitral valve malfunction after transcatheter aortic valve implantation.一例经导管主动脉瓣植入术后生物人工二尖瓣延迟功能障碍病例。
Cardiovasc Interv Ther. 2024 Jan;39(1):103-104. doi: 10.1007/s12928-023-00961-8. Epub 2023 Sep 30.
Outcomes and Safety of Transcatheter Aortic Valve Implantation With and Without Routine Use of Transesophageal Echocardiography.
经胸超声心动图与常规使用经食管超声心动图在经导管主动脉瓣植入术中的应用:结局和安全性。
Am J Cardiol. 2018 Oct 1;122(7):1210-1214. doi: 10.1016/j.amjcard.2018.06.037. Epub 2018 Jul 4.
4
Transcatheter aortic valve implantation: General anesthesia using transesophageal echocardiography does not decrease the incidence of paravalvular leaks compared to sedation alone.经导管主动脉瓣植入术:与单纯镇静相比,使用经食管超声心动图的全身麻醉并不能降低瓣周漏的发生率。
Ann Card Anaesth. 2018 Jul-Sep;21(3):277-284. doi: 10.4103/aca.ACA_204_17.
5
Natural history of mild aortic valve disease untreated at the time of rheumatic mitral valve replacement.风湿性二尖瓣置换术时未治疗的轻度主动脉瓣疾病的自然病史。
Interact Cardiovasc Thorac Surg. 2018 Dec 1;27(6):828-835. doi: 10.1093/icvts/ivy176.
6
Trends and Outcomes of Transcatheter Aortic Valve Implantation (TAVI) in Korea: the Results of the First Cohort of Korean TAVI Registry.韩国经导管主动脉瓣植入术(TAVI)的趋势与结果:韩国TAVI注册研究首批队列的结果
Korean Circ J. 2018 May;48(5):382-394. doi: 10.4070/kcj.2018.0117. Epub 2018 Apr 17.
7
The role of echocardiography in transcatheter aortic valve implantation.超声心动图在经导管主动脉瓣植入术中的作用。
Cardiovasc Diagn Ther. 2018 Feb;8(1):3-17. doi: 10.21037/cdt.2018.01.06.
8
The role of echocardiography and CT angiography in transcatheter aortic valve implantation patients.超声心动图和CT血管造影在经导管主动脉瓣植入患者中的作用。
J Geriatr Cardiol. 2018 Jan;15(1):86-94. doi: 10.11909/j.issn.1671-5411.2018.01.006.
9
Prosthetic Mitral Surgical Valve in Transcatheter Aortic Valve Replacement Recipients: A Multicenter Analysis.经导管主动脉瓣置换术后患者的人工二尖瓣外科瓣膜:多中心分析。
JACC Cardiovasc Interv. 2017 Oct 9;10(19):1973-1981. doi: 10.1016/j.jcin.2017.07.045.
10
Temporal Trends in Transcatheter Aortic Valve Replacement in France: FRANCE 2 to FRANCE TAVI.法国经导管主动脉瓣置换术的时间趋势:FRANCE 2 至 FRANCE TAVI。
J Am Coll Cardiol. 2017 Jul 4;70(1):42-55. doi: 10.1016/j.jacc.2017.04.053.