• 文献检索
  • 文档翻译
  • 深度研究
  • 学术资讯
  • Suppr Zotero 插件Zotero 插件
  • 邀请有礼
  • 套餐&价格
  • 历史记录
应用&插件
Suppr Zotero 插件Zotero 插件浏览器插件Mac 客户端Windows 客户端微信小程序
定价
高级版会员购买积分包购买API积分包
服务
文献检索文档翻译深度研究API 文档MCP 服务
关于我们
关于 Suppr公司介绍联系我们用户协议隐私条款
关注我们

Suppr 超能文献

核心技术专利:CN118964589B侵权必究
粤ICP备2023148730 号-1Suppr @ 2026

文献检索

告别复杂PubMed语法,用中文像聊天一样搜索,搜遍4000万医学文献。AI智能推荐,让科研检索更轻松。

立即免费搜索

文件翻译

保留排版,准确专业,支持PDF/Word/PPT等文件格式,支持 12+语言互译。

免费翻译文档

深度研究

AI帮你快速写综述,25分钟生成高质量综述,智能提取关键信息,辅助科研写作。

立即免费体验

二尖瓣手术修复后严重主动脉瓣反流的经皮治疗

Percutaneous Treatment of Severe Aortic Regurgitation After Surgical Mitral Valve Repair.

作者信息

Toscano Evelina, Ahmed Mahmoud Saad, Patel Kush P, Treibel Thomas, Kennon Simon, Baumbach Andreas

机构信息

Interventional Cardiology Unit, Policlinico di Monza, Monza, Italy.

Barts Heart Centre, London, United Kingdom.

出版信息

JACC Case Rep. 2023 Nov 22;28:102131. doi: 10.1016/j.jaccas.2023.102131. eCollection 2023 Dec 20.

DOI:10.1016/j.jaccas.2023.102131
PMID:38204547
原文链接:https://pmc.ncbi.nlm.nih.gov/articles/PMC10774882/
Abstract

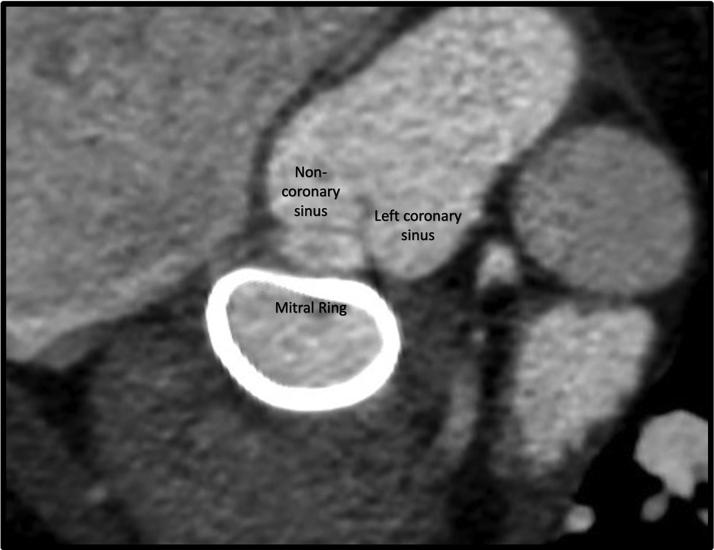
A 54-year-old woman who had recently undergone surgical mitral and tricuspid valve repair was diagnosed with severe aortic regurgitation. She was scheduled for percutaneous treatment and underwent successful transcatheter aortic valve implantation with a 27-mm Trilogy valve (JenaValve Technology). The case documents feasibility of percutaneous treatment in the presence of a mitral ring.

摘要

一名54岁女性近期接受了二尖瓣和三尖瓣修复手术,被诊断为重度主动脉瓣反流。她被安排接受经皮治疗,并成功植入了一枚27毫米的Trilogy瓣膜(耶拿瓣膜技术公司)进行经导管主动脉瓣植入术。该病例证明了在存在二尖瓣环的情况下进行经皮治疗的可行性。

https://cdn.ncbi.nlm.nih.gov/pmc/blobs/6fd9/10774882/82b276010161/gr3.jpg
https://cdn.ncbi.nlm.nih.gov/pmc/blobs/6fd9/10774882/3bbe9fc67541/ga1.jpg
https://cdn.ncbi.nlm.nih.gov/pmc/blobs/6fd9/10774882/80f5c81d7386/gr1.jpg
https://cdn.ncbi.nlm.nih.gov/pmc/blobs/6fd9/10774882/e1388225c41f/gr2.jpg
https://cdn.ncbi.nlm.nih.gov/pmc/blobs/6fd9/10774882/82b276010161/gr3.jpg
https://cdn.ncbi.nlm.nih.gov/pmc/blobs/6fd9/10774882/3bbe9fc67541/ga1.jpg
https://cdn.ncbi.nlm.nih.gov/pmc/blobs/6fd9/10774882/80f5c81d7386/gr1.jpg
https://cdn.ncbi.nlm.nih.gov/pmc/blobs/6fd9/10774882/e1388225c41f/gr2.jpg
https://cdn.ncbi.nlm.nih.gov/pmc/blobs/6fd9/10774882/82b276010161/gr3.jpg

相似文献

1
Percutaneous Treatment of Severe Aortic Regurgitation After Surgical Mitral Valve Repair.二尖瓣手术修复后严重主动脉瓣反流的经皮治疗
JACC Case Rep. 2023 Nov 22;28:102131. doi: 10.1016/j.jaccas.2023.102131. eCollection 2023 Dec 20.
2
Transcatheter mitral valve implantation using the Tendyne valve in a patient with prior transcatheter aortic valve implantation: a case report.在一位曾接受经导管主动脉瓣植入术的患者中使用Tendyne瓣膜进行经导管二尖瓣植入:病例报告
Eur Heart J Case Rep. 2023 Sep 29;7(10):ytad476. doi: 10.1093/ehjcr/ytad476. eCollection 2023 Oct.
3
Transcatheter Treatment of Valvular Heart Disease: A Review.经导管瓣膜病治疗:综述。
JAMA. 2021 Jun 22;325(24):2480-2494. doi: 10.1001/jama.2021.2133.
4
Concomitant Transapical Transcatheter Valve Implantations: Edwards Sapien Valve for Severe Mitral Regurgitation in a Patient with Failing Mitral Bioprostheses and JenaValve for the Treatment of Pure Aortic Regurgitation.经心尖同期经导管瓣膜植入术:应用爱德华 Sapien 瓣膜治疗二尖瓣生物瓣功能衰竭致重度二尖瓣反流,应用耶拿瓣膜治疗单纯主动脉瓣反流。
Heart Surg Forum. 2015 Apr 28;18(2):E053-5. doi: 10.1532/hsf.1238.
5
Transcatheter valve-in-ring and para-ring vascular plug implantation for severe tricuspid regurgitation following annuloplasty ring failure: a case report.经导管瓣中瓣及瓣周血管封堵器植入治疗瓣环成形环失败后的严重三尖瓣反流:一例报告
Eur Heart J Case Rep. 2022 Feb 1;6(2):ytac041. doi: 10.1093/ehjcr/ytac041. eCollection 2022 Feb.
6
Complex transcatheter aortic valve replacement in aortic regurgitation and transcatheter mitral annuloplasty in severe dextrocardia.在严重右位心患者中,行复杂经导管主动脉瓣置换术治疗主动脉瓣反流,并行经导管二尖瓣瓣环成形术。
Eur J Cardiothorac Surg. 2021 Oct 22;60(4):997-999. doi: 10.1093/ejcts/ezab124.
7
Transcatheter aortic valve replacement in patients with severe mitral or tricuspid regurgitation at extreme risk for surgery.经导管主动脉瓣置换术治疗高危外科手术患者的严重二尖瓣或三尖瓣反流。
J Thorac Cardiovasc Surg. 2018 May;155(5):1991-1999. doi: 10.1016/j.jtcvs.2017.11.108. Epub 2018 Jan 31.
8
Iatrogenic Aortic Regurgitation After Tricuspid Annuloplasty Treated by Transcatheter Valve Repair.经导管瓣膜修复治疗三尖瓣环成形术后医源性主动脉瓣反流
Ann Thorac Surg Short Rep. 2024 Jun 21;2(4):791-794. doi: 10.1016/j.atssr.2024.05.025. eCollection 2024 Dec.
9
Initial German experience with transapical implantation of a second-generation transcatheter heart valve for the treatment of aortic regurgitation.德国初步经验:经心尖植入第二代经导管心脏瓣膜治疗主动脉瓣反流。
JACC Cardiovasc Interv. 2014 Oct;7(10):1168-74. doi: 10.1016/j.jcin.2014.05.014. Epub 2014 Aug 13.
10
Transcatheter Tricuspid Valve Replacement With EVOQUE and Mitral Valve Repair With PASCAL in One Procedure.经导管使用EVOQUE进行三尖瓣置换及使用PASCAL在同一手术中进行二尖瓣修复。
JACC Case Rep. 2025 Jan 15;30(2):102760. doi: 10.1016/j.jaccas.2024.102760.

本文引用的文献

1
The JenaValve pericardial transcatheter aortic valve replacement system to treat aortic valve disease.用于治疗主动脉瓣疾病的耶拿瓣膜心包经导管主动脉瓣置换系统。
Future Cardiol. 2022 Feb;18(2):101-113. doi: 10.2217/fca-2021-0065. Epub 2021 Oct 14.
2
Counterpoint: challenges and limitations of transcatheter aortic valve implantation for aortic regurgitation.**反驳观点**:经导管主动脉瓣植入术治疗主动脉瓣反流的挑战和局限性。
Heart. 2021 Dec;107(24):1942-1945. doi: 10.1136/heartjnl-2020-318682. Epub 2021 Apr 16.
3
Transcatheter aortic valve replacement in patients with previous mitral valve replacement. A systematic study.
曾接受二尖瓣置换术患者的经导管主动脉瓣置换术。一项系统性研究。
Postepy Kardiol Interwencyjnej. 2020 Jun;16(2):177-183. doi: 10.5114/aic.2020.96061. Epub 2020 Jun 23.
4
Expanding the indications for transcatheter aortic valve implantation.经导管主动脉瓣植入术适应证的拓展。
Nat Rev Cardiol. 2020 Feb;17(2):75-84. doi: 10.1038/s41569-019-0254-6. Epub 2019 Sep 16.
5
Prosthetic Mitral Surgical Valve in Transcatheter Aortic Valve Replacement Recipients: A Multicenter Analysis.经导管主动脉瓣置换术后患者的人工二尖瓣外科瓣膜:多中心分析。
JACC Cardiovasc Interv. 2017 Oct 9;10(19):1973-1981. doi: 10.1016/j.jcin.2017.07.045.
6
2015 ESC Guidelines for the management of infective endocarditis: The Task Force for the Management of Infective Endocarditis of the European Society of Cardiology (ESC). Endorsed by: European Association for Cardio-Thoracic Surgery (EACTS), the European Association of Nuclear Medicine (EANM).2015年欧洲心脏病学会(ESC)感染性心内膜炎管理指南:欧洲心脏病学会(ESC)感染性心内膜炎管理工作组。认可机构:欧洲心胸外科学会(EACTS)、欧洲核医学协会(EANM)。
Eur Heart J. 2015 Nov 21;36(44):3075-3128. doi: 10.1093/eurheartj/ehv319. Epub 2015 Aug 29.
7
Self-expandable transcatheter aortic valve implantation for aortic stenosis after mitral valve surgery.二尖瓣置换术后主动脉瓣狭窄的经导管自膨式主动脉瓣植入术
Interact Cardiovasc Thorac Surg. 2013 Jul;17(1):90-5. doi: 10.1093/icvts/ivt086. Epub 2013 Mar 28.
8
Predicting in-hospital mortality after redo cardiac operations: development of a preoperative scorecard.预测再次心脏手术后的院内死亡率:术前评分卡的制定。
Ann Thorac Surg. 2012 Sep;94(3):778-84. doi: 10.1016/j.athoracsur.2012.04.062. Epub 2012 Jul 20.