Suppr超能文献

髓母细胞瘤中粒细胞集落刺激因子受体表达的特征分析

Characterization of G-CSF receptor expression in medulloblastoma.

作者信息

Paul Megan Rose, Huo Yuchen, Liu Andrea, Lesperance Jacqueline, Garancher Alexandra, Wechsler-Reya Robert J, Zage Peter E

机构信息

Department of Pediatrics, Division of Hematology-Oncology, University of California San Diego, La Jolla, California, USA.

Peckham Center for Cancer and Blood Disorders, Rady Children's Hospital-San Diego, San Diego, California, USA.

出版信息

Neurooncol Adv. 2020 May 27;2(1):vdaa062. doi: 10.1093/noajnl/vdaa062. eCollection 2020 Jan-Dec.

Abstract

BACKGROUND

Identifying mechanisms of medulloblastoma recurrence is a key to improving patient survival, and targeting treatment-resistant subpopulations within tumors could reduce disease recurrence. Expression of the granulocyte colony-stimulating factor receptor (G-CSF-R, CD114) is a potential marker of cancer stem cells, and therefore we hypothesized that a subpopulation of medulloblastoma cells would also express CD114 and would demonstrate chemoresistance and responsiveness to G-CSF.

METHODS

Prevalence of CD114-positive (CD114+) cells in medulloblastoma cell lines, patient-derived xenograft (PDX) tumors, and primary patient tumor samples were assessed by flow cytometry. Growth rates, chemoresistance, and responses to G-CSF of CD114+ and CD114-negative (CD114-) cells were characterized in vitro using continuous live cell imaging and flow cytometry. Gene expression profiles were compared between CD114+ and CD114- medulloblastoma cells using quantitative RT-PCR.

RESULTS

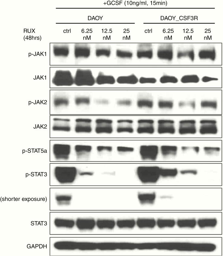
CD114+ cells were identifiable in medulloblastoma cell lines, PDX tumors, and primary patient tumors and have slower growth rates than CD114- or mixed populations. G-CSF accelerates the growth of CD114+ cells, and CD114+ cells are more chemoresistant. The CD114+ population is enriched when G-CSF treatment follows chemotherapy. The CD114+ population also has higher expression of the , , , and genes.

CONCLUSIONS

Our data demonstrate that a subpopulation of CD114+ medulloblastoma cells exists in cell lines and tumors, which may evade traditional chemotherapy and respond to exogenous G-CSF. These properties invite further investigation into the role of G-CSF in medulloblastoma therapy and methods to specifically target these cells.

摘要

背景

确定髓母细胞瘤复发机制是提高患者生存率的关键,针对肿瘤内耐药亚群进行治疗可减少疾病复发。粒细胞集落刺激因子受体(G-CSF-R,CD114)的表达是癌症干细胞的一个潜在标志物,因此我们推测髓母细胞瘤细胞亚群也会表达CD114,并表现出化疗耐药性以及对G-CSF的反应性。

方法

通过流式细胞术评估髓母细胞瘤细胞系、患者来源的异种移植(PDX)肿瘤以及原发性患者肿瘤样本中CD114阳性(CD114+)细胞的比例。使用连续活细胞成像和流式细胞术在体外对CD114+和CD114阴性(CD114-)细胞的生长速率、化疗耐药性以及对G-CSF的反应进行表征。使用定量逆转录聚合酶链反应比较CD114+和CD114-髓母细胞瘤细胞之间的基因表达谱。

结果

在髓母细胞瘤细胞系、PDX肿瘤和原发性患者肿瘤中可识别出CD114+细胞,其生长速率比CD114-或混合群体慢。G-CSF可加速CD114+细胞的生长,且CD114+细胞具有更强的化疗耐药性。化疗后进行G-CSF治疗时,CD114+群体增多。CD114+群体中 、 、 和 基因的表达也更高。

结论

我们的数据表明,在细胞系和肿瘤中存在CD114+髓母细胞瘤细胞亚群,它们可能逃避传统化疗并对外源性G-CSF产生反应。这些特性促使人们进一步研究G-CSF在髓母细胞瘤治疗中的作用以及特异性靶向这些细胞的方法。

https://cdn.ncbi.nlm.nih.gov/pmc/blobs/86a1/7316203/6311326efd04/vdaa062f0001.jpg

相似文献

1
Characterization of G-CSF receptor expression in medulloblastoma.
Neurooncol Adv. 2020 May 27;2(1):vdaa062. doi: 10.1093/noajnl/vdaa062. eCollection 2020 Jan-Dec.
2
G-CSF receptor positive neuroblastoma subpopulations are enriched in chemotherapy-resistant or relapsed tumors and are highly tumorigenic.
Cancer Res. 2013 Jul 1;73(13):4134-46. doi: 10.1158/0008-5472.CAN-12-4056. Epub 2013 May 16.
3
Identification of CD114 Membrane Receptors as a Molecular Target in Medulloblastomas.
Int J Mol Sci. 2023 Mar 10;24(6):5331. doi: 10.3390/ijms24065331.
5
Gene Expression of /CD114 Is Associated with Poorer Patient Survival in Glioma.
Int J Mol Sci. 2024 Mar 5;25(5):3020. doi: 10.3390/ijms25053020.
8
CD114: A New Member of the Neural Crest-Derived Cancer Stem Cell Marker Family.
J Cell Biochem. 2017 Feb;118(2):221-231. doi: 10.1002/jcb.25656. Epub 2016 Aug 16.

引用本文的文献

1
2
Gene Expression of /CD114 Is Associated with Poorer Patient Survival in Glioma.
Int J Mol Sci. 2024 Mar 5;25(5):3020. doi: 10.3390/ijms25053020.
3
Identification of CD114 Membrane Receptors as a Molecular Target in Medulloblastomas.
Int J Mol Sci. 2023 Mar 10;24(6):5331. doi: 10.3390/ijms24065331.
4
Individualized discovery of rare cancer drivers in global network context.
Elife. 2022 May 20;11:e74010. doi: 10.7554/eLife.74010.
5
G-CSF in tumors: Aggressiveness, tumor microenvironment and immune cell regulation.
Cytokine. 2021 Jun;142:155479. doi: 10.1016/j.cyto.2021.155479. Epub 2021 Mar 4.
6
Contrasting Immunopathogenic and Therapeutic Roles of Granulocyte Colony-Stimulating Factor in Cancer.
Pharmaceuticals (Basel). 2020 Nov 20;13(11):406. doi: 10.3390/ph13110406.

本文引用的文献

2
Notch1 regulates the initiation of metastasis and self-renewal of Group 3 medulloblastoma.
Nat Commun. 2018 Oct 8;9(1):4121. doi: 10.1038/s41467-018-06564-9.
3
Medulloblastoma in the Molecular Era.
J Korean Neurosurg Soc. 2018 May;61(3):292-301. doi: 10.3340/jkns.2018.0028. Epub 2018 May 1.
4
Stimulation of medulloblastoma stem cells differentiation by a peptidomimetic targeting neuropilin-1.
Oncotarget. 2018 Feb 16;9(20):15312-15325. doi: 10.18632/oncotarget.24521. eCollection 2018 Mar 16.
5
BKM120 induces apoptosis and inhibits tumor growth in medulloblastoma.
PLoS One. 2017 Jun 29;12(6):e0179948. doi: 10.1371/journal.pone.0179948. eCollection 2017.
6
Brain Tumor Stem Cells Remain in Play.
J Clin Oncol. 2017 Jul 20;35(21):2428-2431. doi: 10.1200/JCO.2017.73.9540. Epub 2017 Jun 22.
7
Intertumoral Heterogeneity within Medulloblastoma Subgroups.
Cancer Cell. 2017 Jun 12;31(6):737-754.e6. doi: 10.1016/j.ccell.2017.05.005.
8
CD133 brain tumor-initiating cells are dependent on STAT3 signaling to drive medulloblastoma recurrence.
Oncogene. 2017 Feb 2;36(5):606-617. doi: 10.1038/onc.2016.235. Epub 2016 Oct 24.
9
FBW7 suppression leads to SOX9 stabilization and increased malignancy in medulloblastoma.
EMBO J. 2016 Oct 17;35(20):2192-2212. doi: 10.15252/embj.201693889. Epub 2016 Sep 13.
10
Medulloblastoma stem cells: Promising targets in medulloblastoma therapy.
Cancer Sci. 2016 May;107(5):583-9. doi: 10.1111/cas.12925. Epub 2016 Apr 27.

文献AI研究员

20分钟写一篇综述,助力文献阅读效率提升50倍。

立即体验

用中文搜PubMed

大模型驱动的PubMed中文搜索引擎

马上搜索

文档翻译

学术文献翻译模型,支持多种主流文档格式。

立即体验